![]()
![]()
Dr. Gümüştaş, hastalarını Teşvikiye'deki özel muayenehanesinde ve Acıbadem Fulya Hastanesi'nde kabul etmektedir.
Dr. Gümüştaş, uzmanlığını Dr. Lütfi Kırdar Eğitim Ve Araştırma Hastanesi Ortopedi Ve Travmatoloji Kliniği'nden aldı. Yavuz Sultan Selim Kemik Hastalıkları Ve Rehabilitasyon Hastanesi'nde Başhekimlik görevinde bulundu.
Istıtuto Ortopedıco Rızzolı 3. Orthopaedic And Traumatologic Clinic, Bologna / Italy ve National Center for Spinal Disorders Budapest, Hungery'deki çalışmaları yurtdışı deneyimleri arasındadır.

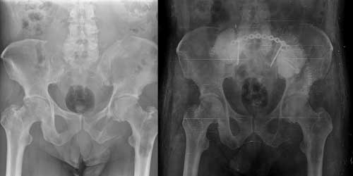
Omurga metastazı, kanserin ilk olarak iç organlarda gelişip daha sonra omurga kemiklerine yayılması sonucu oluşan bir durumdur. Çoğunlukla kan yoluyla sıçrayan bu tür metastaz, hastalarda sırt ve bel ağrısı gibi şikayetlerle kendini gösterir. Erken teşhis ve uygun tedavi yöntemleri, hastaların yaşam kalitesini artırmada kritik bir rol oynar.
Tedavide başarıyı artıran en önemli etkenlerden biri ameliyat öncesi iyi bir hazırlık ve cerrahi planlama yapmaktır. Her şeyden önce tanı doğru konmalı. Bunun için hasta iyi dinlenip, detaylı muayene edildikten sonra tetkikleri dikkatli incelenmelidir.
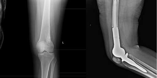
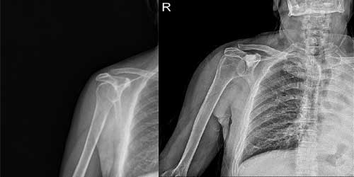
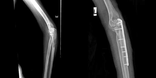
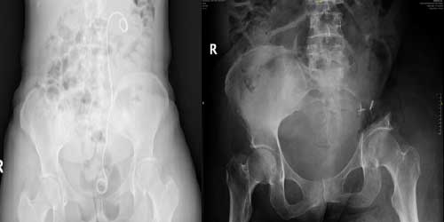
Her ameliyatın olduğu gibi kemik ve yumuşak doku tümör ameliyatlarının da riskleri vardır. Bu riskleri genel ve yapılan ameliyata özgü olmak üzere kabaca iki başlık halinde gruplandırabiliriz. Öncelikle anestezi ile ilgili risklerin anestezi uzmanı tarafından (...)
Ameliyat sonrası takip ve kontrol hastanın ameliyat masasında uyanması ile başlar. Özellikle damar ve veya siniri ilgilendiren ameliyatlarda hasta ameliyat masasından alınmadan ekstremitenin dolaşımı ve ilgili sinirin fonksiyonu kontrol edilir.
Türkçe, English, Русский, O‘zbekcha
Teşvikiye Mah. Hakkı Yeten Cad.
Doğu İş Merkezi , No:15 Kat:7
Şişli, İstanbul
34365
Prof. Dr. Seyit Ali Gümüştaş
Ortopedi & Travmatoloji
Is there anything I can help you with?.
09.00Medikal Koordinatör
Türkçe, English, Русский, O‘zbekcha
Is there anything I can help you with?.
09.00