Vaka 13: Sakrum ve Koksiks Yerleşimli Kordoma
- Gösterim: 522
58 yaşındaki erkek hasta, kuyruk sokumunda şişlik ve uzun süre oturamama şikayetleriyle başvurdu. Kordoma tanısı konulan hastada metastaz saptanmadı. Tümör temiz sınırlarla çıkarıldı ve yara tek taraflı V-Y flep ile kapatıldı. Hasta yakın takip ile taburcu edildi.
- 58 yaş erkek hasta
- 1.5 yıldır mevcut kuyruk sokumunda şişlik, ağrı ve uzun süre oturamama şikayetiyle başvurdu
- Hastanın iğne biyopsisinde Kordoma gelmesi üzerine yapılan taramalarında metastaz saptanmadı
- Tümör temiz sınırlar ile çıkarıldıktan (Sakrektomi) sonra yara tek taraflı kas flebi (V-Y) ile kapatıldı
- Ameliyat esnası ve sonrasında sorun yaşanmayan hasta yakın takip ile taburcu edildi
Görsel Açıklamaları
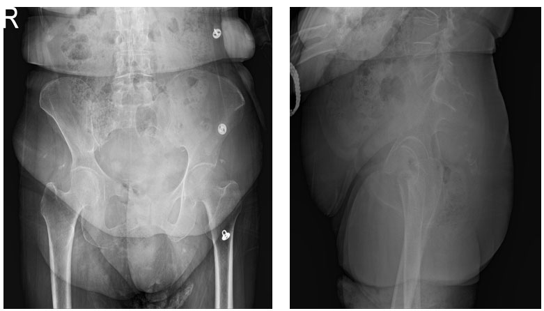
Ameliyat öncesi: Röntgende sakrumda ve koksiksde ciddi harabiyet görülmekte

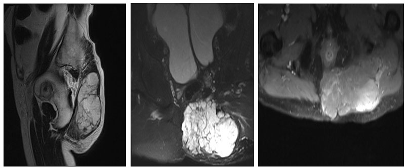
Ameliyat öncesi: MR’da kas içine doğru uzanım gösteren düzensiz sınırlı büyük tümör görüntüsü görülmekte
Ameliyat esnası: Tümör ile birlikte çıkarılacak cilt dokusu ile yapılacak V-Y flep planlanması ve tümör çıkarıldıktan sonra oluşan boşluk görülmekte

Ameliyat esnası: Çıkarılan tümör dokusunun klinik ve skopi görüntüsü

Ameliyat esnası: Yaranın kapatılması için uygulanan V-Y flep görülmekte


