Vaka 37: Topuk Kemiği (Kalkaneus) Yerleşimli Kondrosarkom
- Gösterim: 241
ChatGPT:
Detaylı Hasta Bilgileri ve Tedavi Süreci
Hasta Bilgileri
-
Erişkin erkek hasta
-
Bilinen multıpl osteokondromatozis öyküsü mevcut
-
Topuk bölgesinde uzun süredir devam eden ağrı ve şişlik şikayeti ile başvurdu
-
Yapılan radyolojik tetkiklerde kalkaneus yerleşimli kondrosarkom saptandı
-
Tanı kapalı iğne biyopsisi ile doğrulandı
Uygulanan Tedavi
Tümörün yayılım alanı göz önünde bulundurularak geniş rezeksiyon planlandı ve başarılı şekilde uygulandı. Tümörlü doku güvenli sınırlarla çıkarıldı.
Sonuç
Ameliyat sorunsuz şekilde tamamlandı. Hasta ameliyat sonrası dönemde yakın takip edildi, kontrollü yük verme ile mobilizasyon sağlandı.
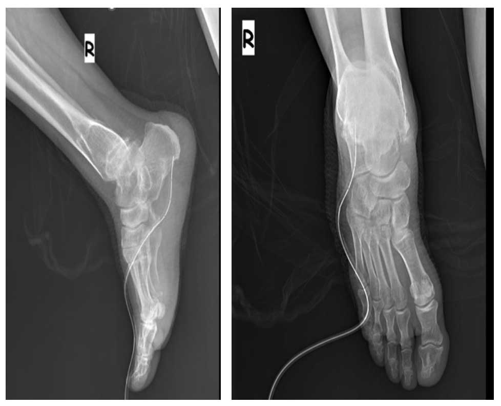
Görsel Açıklamaları
Ameliyat Öncesi: Çoklu osteokondrom ve kalkaneus yerleşimli kondrosarkom görülmekte.

Ameliyat Öncesi: Tomografide düzensiz sınır ve içerikli tümör dokusu görülmekte.
Ameliyat Sonrası: Röntgende tümörün çıkarıldığı görülmekte.


