Vaka 15: Kalça (Proksimal Femur) Ewing Sarkoma Bağlı Patolojik Kırık
- Gösterim: 110
ChatGPT:
Detaylı Hasta Bilgileri ve Tedavi Süreci
Hasta Bilgileri
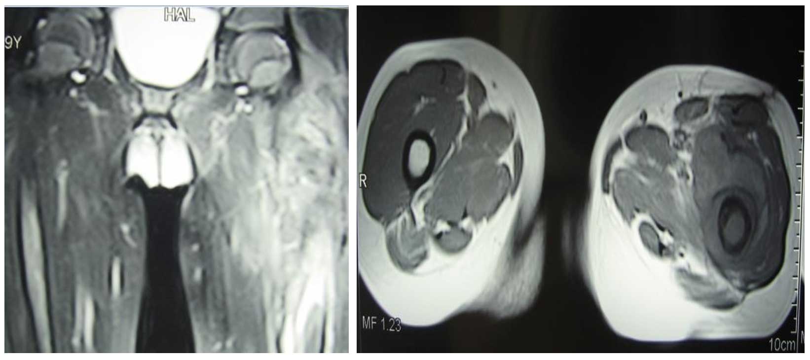
- Kız çocuğu hasta.
- Proksimal femur yerleşimli Ewing sarkoma bağlı patolojik kırık mevcut.
- Kemoterapi tedavisini takiben cerrahi planlandı.
Uygulanan Tedavi
- Kemoterapiyi takiben geniş rezeksiyon gerçekleştirildi.
- Defekt alanı vaskülerize fibula kullanılarak rekonstrükte edildi.
Sonuç
- Cerrahi işlem planlandığı şekilde tamamlandı.
- Hasta ameliyat sonrası yakın takip programına alındı.
Görsel Açıklamaları
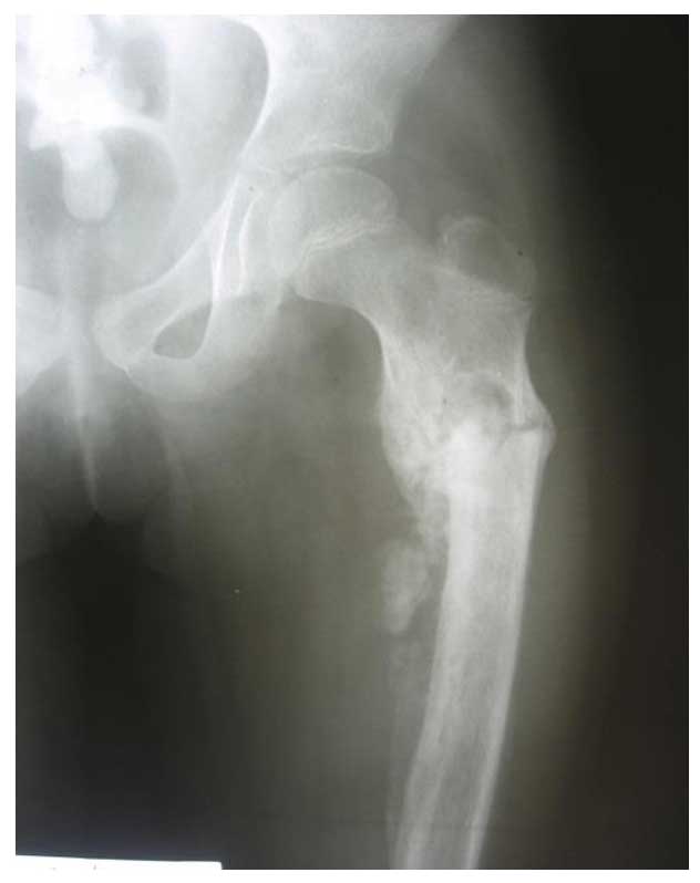
Ameliyat Öncesi: Röntgende proksimal femurda kırığa bağlı deformite, düzensizlik ve periost reaksiyonu görülmekte.
Ameliyat Öncesi: MR’da çevreleyen yumuşak doku kitlesi ve ödem görülmekte.
Ameliyat Sonrası: Röntgende çıkarılan tümörlü kemiğin yerine uygulanan vaskülerize fibulanın plak ve K teli ile fiksasyonu görülmekte.


