Vaka 06: Ewing Sarkom Lomber Omurga Metastazına Bağlı Patolojik Kırık Ve Omurilik/Sinir Kökü Basısı
- Gösterim: 122
ChatGPT:
Detaylı Hasta Bilgileri ve Tedavi Süreci
Hasta Bilgileri
- 28 yaş kadın hasta.
- Sol sakroiliak Ewing sarkom nedeniyle rezeksiyon ve rekonstrüksiyon yapılan hasta takiplerde bel/sırt ağrısı, bacaklarda uyuşma/karıncalanma ve güçsüzlük şikayeti ile başvurdu.
Uygulanan Tedavi
- Lomber 2 ve 3. vertebra patolojik kırık, epidural ve kök basısı nedeniyle iki seviye dekompresyon, parsiyel korpektomi, çimentolama ve lumbopelvik fiksasyon işlemi uygulandı.
Sonuç
- Ameliyat esnası ve sonrasında sorun yaşanmadı.
- Hasta ikinci haftada yara iyileşmesi sonrası radyoterapiye yönlendirildi.
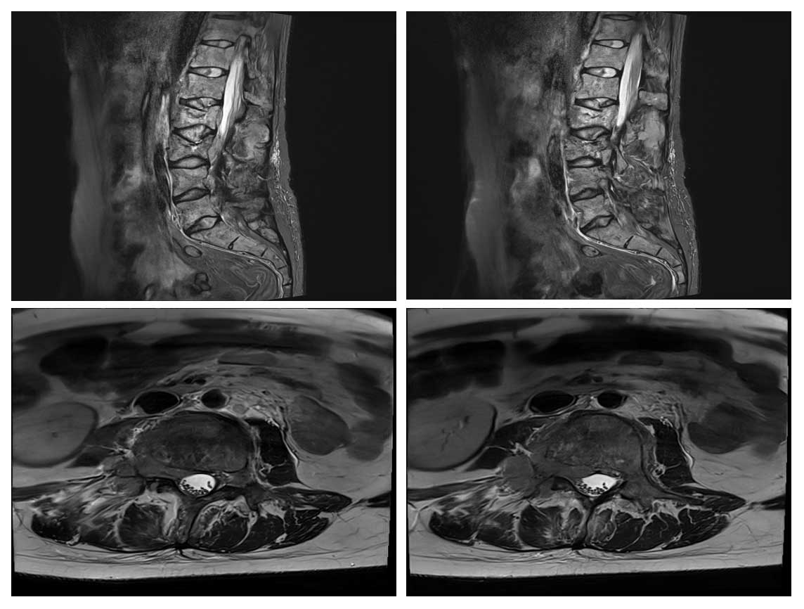
Görsel Açıklamaları
Ameliyat Öncesi: Röntgende ilk ameliyatta yapılan sakroiliak rezeksiyon ve rekonstrüksiyon, lomber vertebra kırıkları ve deformite görülmekte.
Ameliyat Öncesi: MR’da iki seviyede patolojik kırık, epidural ve kök basısı görülmekte.

Ameliyat Sonrası: Röntgende parsiyel laminektomi+korpektomi sonrası yapılan çimentolama ve lumbopelvik fiksasyon görülmekte.


