Vaka 22: Yumuşak Doku Sarkomu (Leiomyosarkom) Sakrum Metastazı
- Gösterim: 541
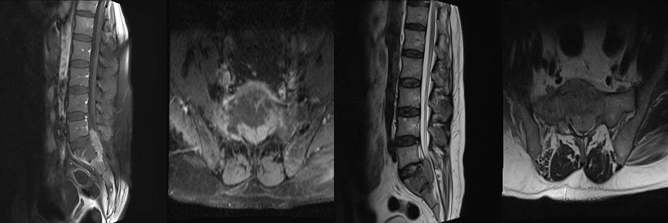
67 yaşındaki erkek hasta, yumuşak doku sarkomuna bağlı sakrum metastazı nedeniyle şiddetli bel ağrısı, idrar tutamama ve yürüme güçlüğü şikayetleriyle başvurdu. Total laminektomi ve seperasyon cerrahisi sonrası bölge lumbopelvik fiksasyonla güçlendirildi. Hasta hızla toparlanarak taburcu edildi.
- 67 yaş erkek hasta
- Uyluk yerleşimli yumuşak doku sarkomu nedeniyle ameliyat öyküsü mevcut
- Bel bölgesinde zamanla artan şiddetli ağrı, idrar tutamama ve yürüme güçlüğü şikayeti ile başvurdu
- Ciddi omurilik basısına neden olan sakrum metastazı tanısıyla hastaya başarılı bir şekilde tümör temizleme (total laminektomi eşliğinde seperasyon cerrahisi) ve güçlendirme (lumbopelvik fiksasyon) işlemi uygulandı.
- Hastanın şikayetlerinde hızlı ve etkili iyileşme sağlandı ve sorunsuz bir şekilde taburcu edildi.
Görsel Açıklamaları
Ameliyat öncesi: MR’da birinci sakrum kemiğinin tamamını tutan ve spinal kanalı doldurup ciddi omurilik basısına neden olan tümör görülmekte.

Ameliyat esnası: Skopide vidaların uygunluğu kontrol edilmekte ve omuriliğin basıdan kurtularak tamamen serbestleştirildiği görülmekte.

Ameliyat sonrası: Lumbopelvik fikasyon radyolojik görüntüsü


