Vaka 30: İkinci Lomber Omurga Yerleşimli Dev Hücreli Kemik Tümörü
- Gösterim: 864
49 yaşındaki kadın hastamız, bel ağrısı ve sol uylukta yanma-karıncalanma şikayetleriyle başvurdu. Yapılan biyopsi sonucu dev hücreli kemik tümörü tanısı konuldu. Tümör cerrahi olarak çıkarılıp omurga yeniden güçlendirildi ve hastamız ağrısız bir şekilde yürüyerek taburcu edildi.
Detaylı Hasta Bilgileri ve Tedavi Süreci
Hasta Bilgileri:
-
49 yaş, kadın
-
2018 yılında bel fıtığı (lomber diskopati) nedeniyle ameliyat öyküsü var
Başvuru Şikayetleri:
-
1 aydır devam eden bel ağrısı
-
Sol uylukta yanma ve karıncalanma
-
Sol uyluk ön ve yan kısmında hissizlik
Tanı ve Bulgular:
-
Derin palpasyonda lomber bölgede hassasiyet
-
Tomografi eşliğinde kapalı iğne biyopsisi yapıldı
-
Patoloji sonucu: Dev Hücreli Kemik Tümörü
-
Taramalarda akciğer metastazı saptanmadı
Uygulanan Tedavi:
-
Posterior yaklaşım ile total laminektomi, sinir kökü dekompresyonu ve enstrümentasyon
-
Anterior yaklaşım ile parsiyel korpektomi, asansör cage uygulaması ve bir alt-üst vertebraya enstrümentasyon
Sonuç:
Ameliyat esnası ve sonrasında sorun yaşanmadı, hasta ağrısız şekilde yürütülerek taburcu edildi.
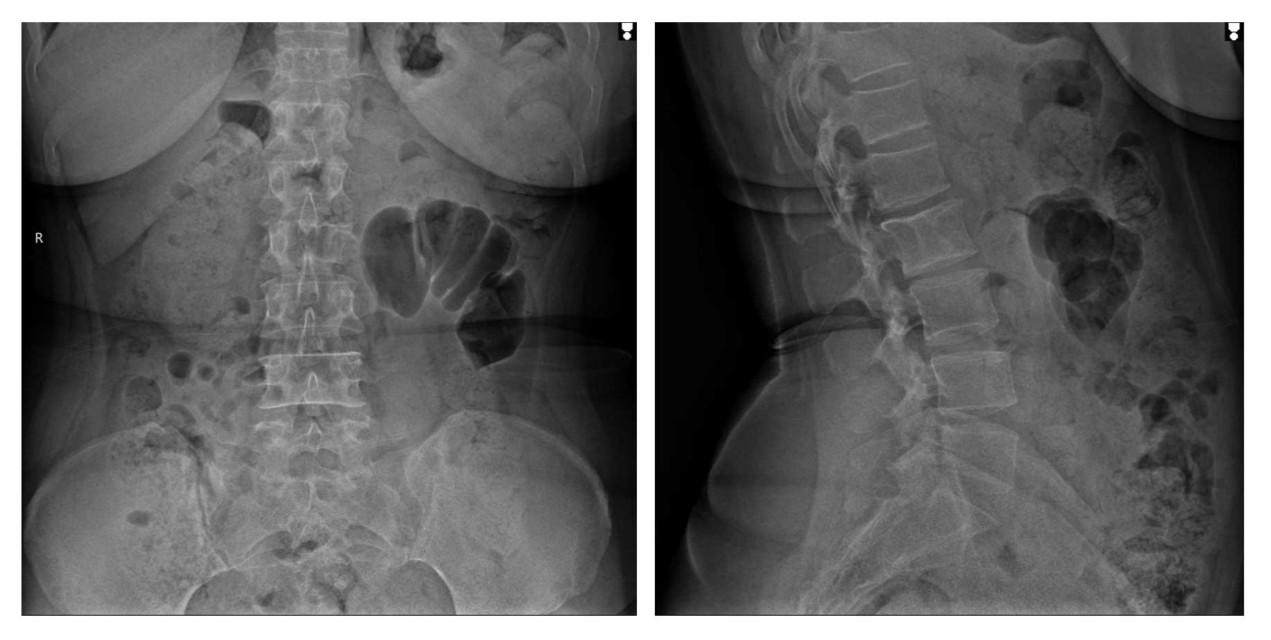
Ameliyat Öncesi: Röntgende L3 vertebrada litik lezyon görülmekte.

Ameliyat Öncesi: PET-CT’de artmış aktivite ve kemikte harabiyet görülmekte.
Ameliyat Öncesi: MR’da kemiğin dışına taşmış, kasın içine girmiş ve sinir basısına neden olan büyükçe tümör dokusu görülmekte.
Ameliyat Esnası: Posteriordan laminektomi yapılması ve köklerin serbestleştirilmesi sonrası anteriordan korpektominin tamamlanması, asansör cage yerleştirilmesi ve enstrümentasyon uygulanması görülmekte.

Ameliyat Sonrası:



