Vaka 32: Distal Femur Osteosarkom
- Gösterim: 400
Kadın hastamızda distal femurda gelişen osteosarkom tanısı sonrasında uygulanan cerrahi tedavi ile tümör tamamen çıkarılmış, diz eklem fonksiyonları korunarak başarılı bir rekonstrüksiyon sağlanmıştır.
Hasta Bilgileri:
Yetişkin kadın hasta, diz çevresinde ağrı ve hareket kısıtlılığı şikayetleriyle başvurdu. Görüntüleme ve biyopsi sonuçlarında distal femur yerleşimli osteosarkom tespit edildi.
Tedavi:
Hastaya kemoterapi süreci tamamlandıktan sonra geniş rezeksiyon uygulandı. Tümörlü kemik bölgesi çıkarılarak distal femur tümör protezi ile rekonstrüksiyon gerçekleştirildi. Bu sayede hem diz stabilitesi hem de alt ekstremite fonksiyonu korundu.
Sonuç:
Ameliyat sonrası iyileşme dönemi sorunsuz ilerlemiş, hasta yürüme ve diz hareket fonksiyonlarını geri kazanmıştır. Onkolojik takip ve fizik tedavi süreci düzenli olarak sürdürülmektedir.
Görsel Açıklamaları
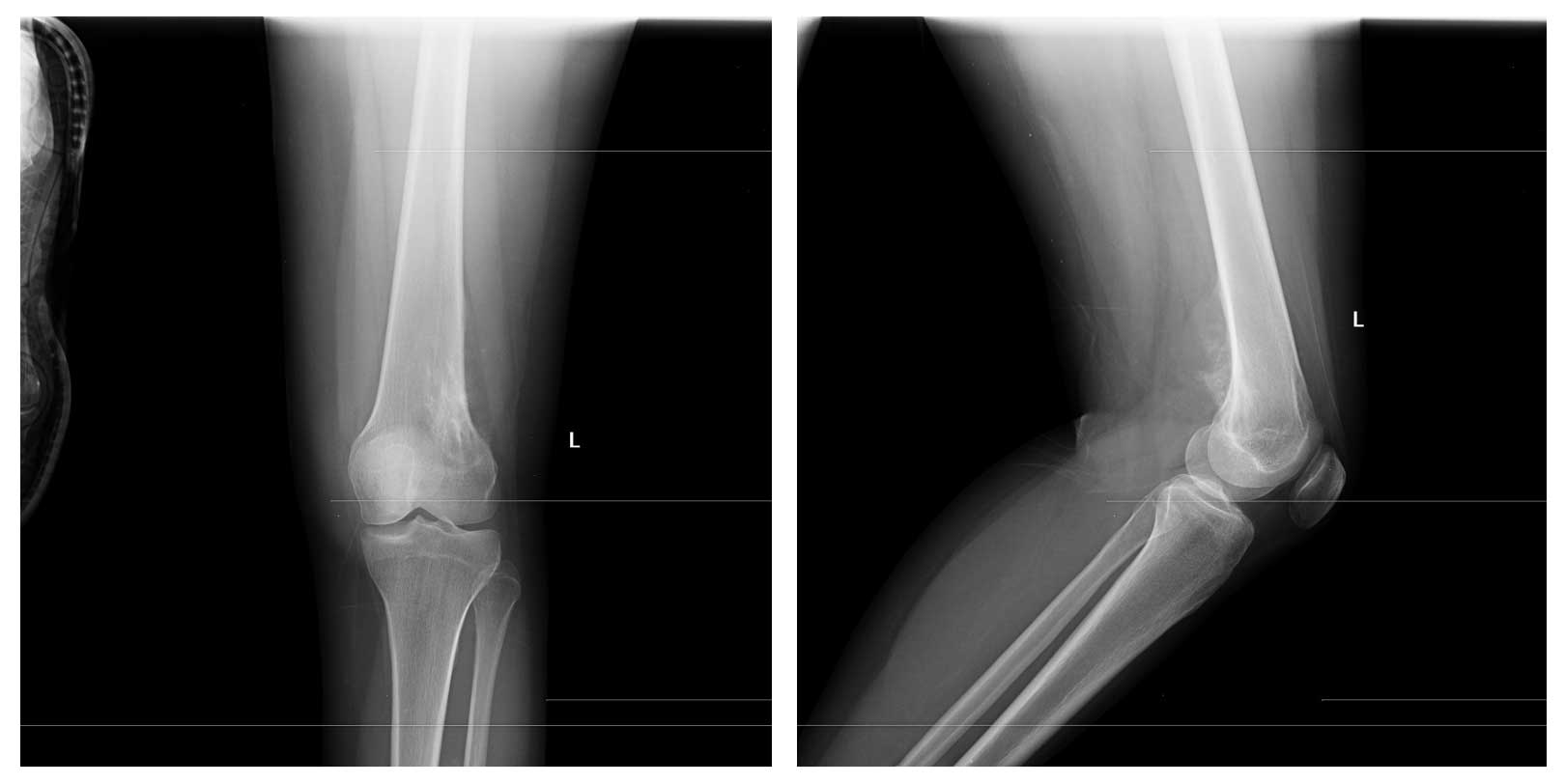
Ameliyat Öncesi: Röntgende distal femur lateral yerleşimli, kemikte harabiyete neden olan düzensiz sınırlı ve yumuşak dokuya uzanım gösteren kitle görülmekte.

Ameliyat Öncesi: MR’da aynı lokalizasyonda damar sinir paketine bitişik tümör dokusu görülmekte.
Ameliyat Esnası: Tümör protezi ve damar sinir paketi görülmekte.

Ameliyat Esnası: Çıkarılan tümör dokusunun klinik ve skopi görüntüsü.

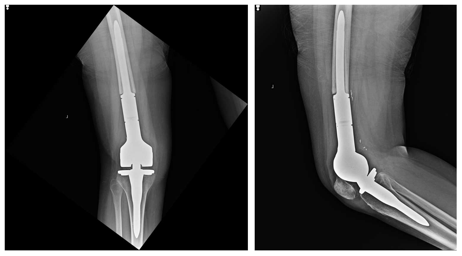
Ameliyat Sonrası: Röntgende rezeksiyon sonrası distal femur tümör protezi uygulanımı görülmekte.


