Vaka 51: Akciğer Kanseri Proksimal Tibia Metastazına Bağlı Kırık Riski (Impending Kırık)
- Gösterim: 158
ChatGPT:
Detaylı Hasta Bilgileri ve Tedavi Süreci
Hasta Bilgileri:
-
74 yaş erkek hasta
-
Akciğer kanseri nedeniyle aktif tedavi görmekte
-
Sol bacakta yaklaşık 4 aydır mevcut ağrı, zamanla artmış ve son dönemde desteksiz yürümeyi engellemiş
-
Bilinen kemik metastazları mevcut
-
Görüntülemede sol proksimal tibia metastazı ve kırık riski saptandı
Tanı:
Sol proksimal tibia kemiğinde akciğer kanseri metastazına bağlı impending (yaklaşan) patolojik kırık riski
Uygulanan Tedavi:
Tümörlü bölge küretaj ile temizlendi, oluşan boşluk kemik çimentosu ile dolduruldu ve kapalı çivileme ile stabilize edildi. Ameliyat başarıyla tamamlandı.
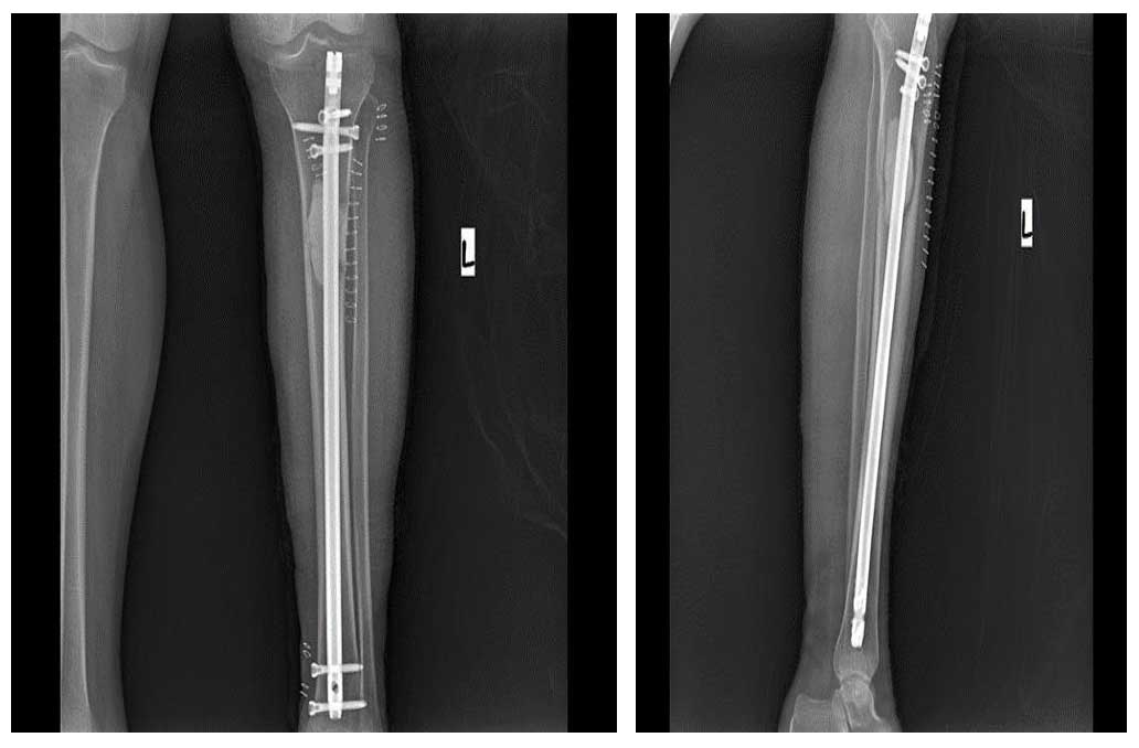
Görsel Açıklamaları
Ameliyat Öncesi: Röntgen ve MR’da tibia üst uçta kemiğin dış kısmını harabiyete uğratan ve kırık riski oluşturan metastaz odağı görülmekte.

Ameliyat Sonrası: Röntgende tümörün temizlenip oluşan boşluğun kemik çimentosu ile doldurulması ve kapalı titanyum çivi uygulanımı görülmekte.


