Vaka 14: Kalça (Proksimal Femur) Yerleşimli Ewing Sarkom
- Gösterim: 123
ChatGPT:
Detaylı Hasta Bilgileri ve Tedavi Süreci
Hasta Bilgileri
- Erkek çocuk hasta.
- Proksimal femur yerleşimli Ewing sarkoma bağlı patolojik kırık mevcut.
- Kemoterapi tedavisi sonrasında cerrahi planlandı.
Uygulanan Tedavi
- Kemoterapiyi takiben geniş rezeksiyon yapıldı.
- Sıvı azot ile geri kazanılmış kemik hazırlandı.
- Geri kazanılmış kemik, tümör protezi ile kombine edilerek rekonstrüksiyon sağlandı.
Sonuç
- Cerrahi işlem planlandığı şekilde tamamlandı.
- Hasta ameliyat sonrası düzenli kontrole alındı.
Görsel Açıklamaları
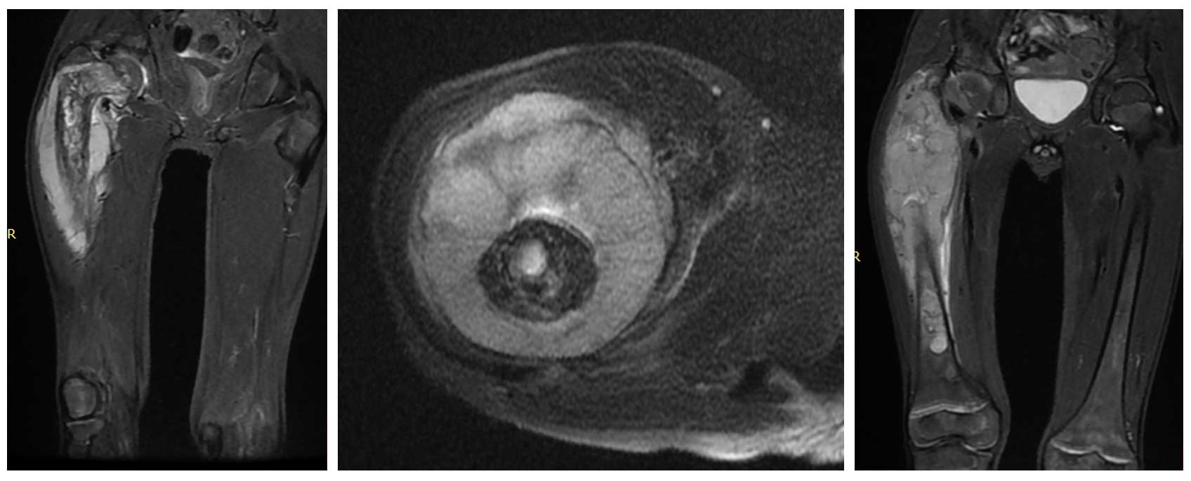
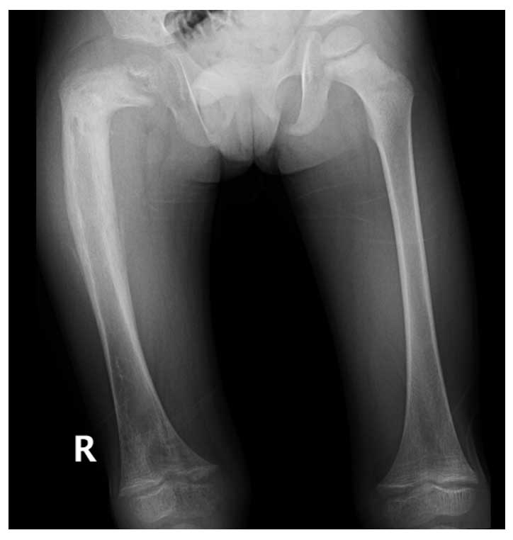
Ameliyat Öncesi: Röntgende sağ proksimal femurda deformite düzensizlik ve periost reaksiyonu görülmekte.
Ameliyat Öncesi: Tümörün femur başından distale kadar uzandığı ve proksimalde çepeçevre büyükçe heterojen yumuşak doku kitlesinin eşlik ettiği görülmekte.
Ameliyat Esnası: Steril örtüm, çıkarılan tümör dokusu ve oluşan boşluk görülmekte.

Ameliyat Esnası: Çıkarılan tümör dokusundan ayrılan segmentin sıvı azot ile geri kazanımı sonrası çift plak ile fiksasyonu ve tümör protezinin yerleştirilmesi görülmekte.
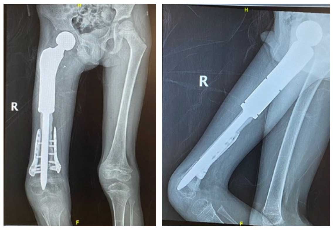
Ameliyat Sonrası: Geniş rezeksiyon sonrası geri kazanılan kemiğin çift plak ve tümör protezi ile kombine edilmesi görülmekte.


