Vaka 26: Proksimal Femur Nüks Kondrosarkom
- Gösterim: 125
ChatGPT:
Detaylı Hasta Bilgileri ve Tedavi Süreci
Hasta Bilgileri
-
66 yaş kadın hasta
-
Proksimal femur kondrosarkom nedeniyle mükerrer ameliyatlar geçirmiş
-
Geçmişinde protez enfeksiyonu nedeniyle tedavi öyküsü mevcut
-
Başvuru şikayetleri: Sol kalça ve uylukta ağrı ve şişlik
-
Fizik muayene bulguları: Sol bacakta ciddi kısalık ve nörolojik defisit
-
Görüntüleme ve değerlendirme sonucunda kondrosarkom nüksü saptandı
Uygulanan Tedavi
Hastaya proksimal femur rezeksiyonu ile birlikte internal hemipelvektomi uygulandı. Cerrahi sonrası oluşan geniş defekt alanı hazır antibiyotikli spacer ile dolduruldu.
Sonuç
Nüks tümör dokusu tamamen çıkarıldı, enfeksiyon riski kontrol altına alındı ve spacer ile bölgesel stabilite sağlandı. Hastanın ağrısında belirgin azalma beklenmekte olup ileri rekonstrüksiyon için planlama yapılabilir.
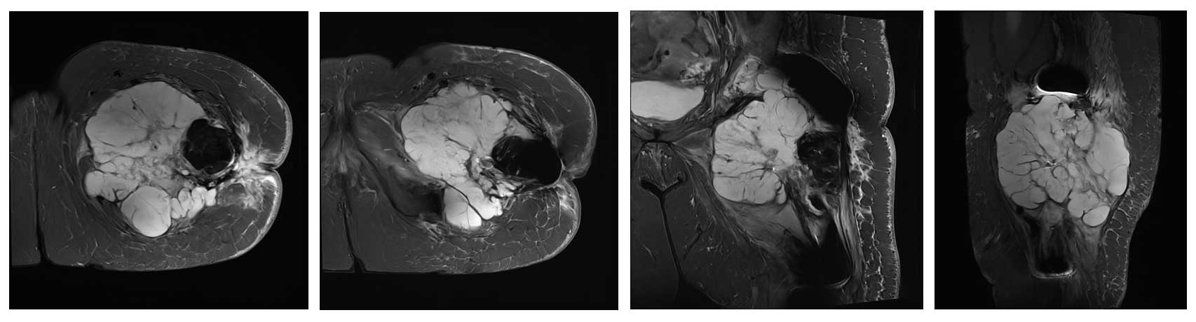
Görsel Açıklamaları
Ameliyat Öncesi: Röntgende proksimal femur yokluğu yerine spacer varlığı ve kalça ekleminde deformite ile yumuşak doku kalsifikasyonu görülmekte.
Ameliyat Öncesi: MR’da kalça eklemine uzanım gösteren büyük yumuşak doku kitlesinin eşlik ettiği düzensiz sınırlı büyük tümör dokusu görülmekte.

Ameliyat Esnası: İnsizyon hattı, damar sinir paketlerinin diseke edilerek ortaya konması görülmekte.

Ameliyat Sonrası: Rezeksiyon sonrası oluşan boşluk, antibiyotikli spacer uygulanımı ve çıkarılan tümör dokusunun klinik görüntüsü.

Ameliyat Sonrası: Röntgende proksimal femur rezkesiyonu ve internal hemipelvektomi sonrası antibiyotikli spacer uygulanımı görülmekte.


