Vaka 29: Birinci Bel Omurgası (L1) Yerleşimli Osteoid Osteoma
- Gösterim: 573
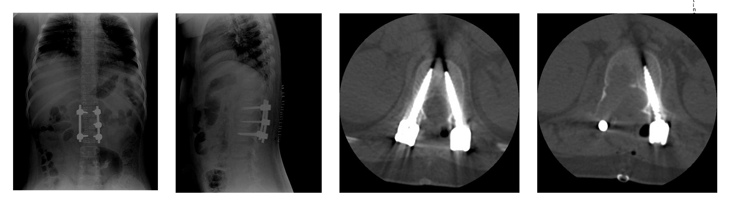
12 yaşındaki erkek hastamız, 5 aydır devam eden ve geceleri de uyandıran şiddetli bel ağrısı nedeniyle başvurdu. Yapılan incelemelerde osteoid osteoma tanısı konuldu. Açık cerrahiyle tümör temizlenip omurga vidalarla güçlendirildi ve hastanın ağrıları tamamen geçti.
Detaylı Hasta Bilgileri ve Tedavi Süreci
Hasta Bilgileri:
-
12 yaş, erkek
Başvuru Şikayetleri:
-
5 aydır süren bel ağrısı
-
İstirahat ile azalmayan ağrı
-
Gece uykudan uyandıran ağrı
-
Ağrı kesicilerden kısa süreli fayda görme ve sürekli kullanma ihtiyacı
Tanı ve Bulgular:
-
Klinik bulgular osteoid osteomayı düşündürdü
-
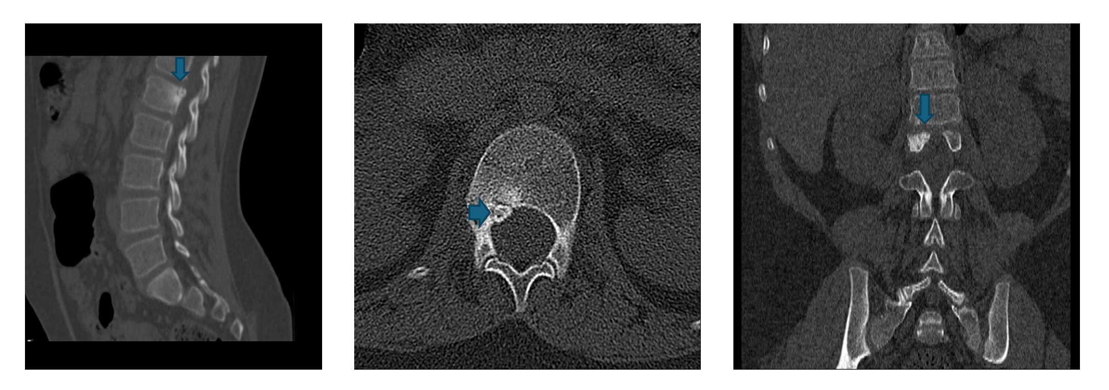
Tomografi kesitlerinde tipik nidus saptandı
-
Kesin tanı: Osteoid Osteoma (L1 yerleşimli)
Uygulanan Tedavi:
-
Omuriliğe yakınlığı nedeniyle açık cerrahi yöntem tercih edildi
-
Tümör tamamen temizlendi
-
Omurga, vidalama yöntemiyle güçlendirildi
Sonuç:
-
Hastanın tipik ağrıları son buldu
-
Sorunsuz bir şekilde taburcu edildi
- Görsel Açıklamaları
Ameliyat Öncesi: Röntgende özellik yok.

Ameliyat Öncesi: Tomografide birinci lomber omurga sağ taraf yerleşimli osteoid osteoma için tipik nidus görülmekte.
Ameliyat Sonrası: Röntgende ve tomografide tümör temizlendikten sonra vidalama işleminin mümtazam uygulaması görülmekte.



