Vaka 32: Distal Femur Yerleşimli Kondrosarkom
- Gösterim: 172
ChatGPT:
Detaylı Hasta Bilgileri ve Tedavi Süreci
Hasta Bilgileri
-
Erişkin kadın hasta
-
Diz çevresinde ağrı ve hareket kısıtlılığı ile başvurdu
-
Radyolojik incelemelerde distal femur yerleşimli lezyon saptandı
-
Kapalı iğne biyopsisi sonucu Grade I kondrosarkom tanısı doğrulandı
Uygulanan Tedavi
Tümör dokusu agresif küretaj ile temizlendi, oluşan boşluk sement ile dolduruldu ve bölgenin stabilitesini artırmak için fiksasyon uygulandı.
Sonuç
Lezyon başarılı şekilde temizlendi, kemik stabilitesi sağlandı. Hasta kontrollü yük verme protokolü ile takibe alındı.
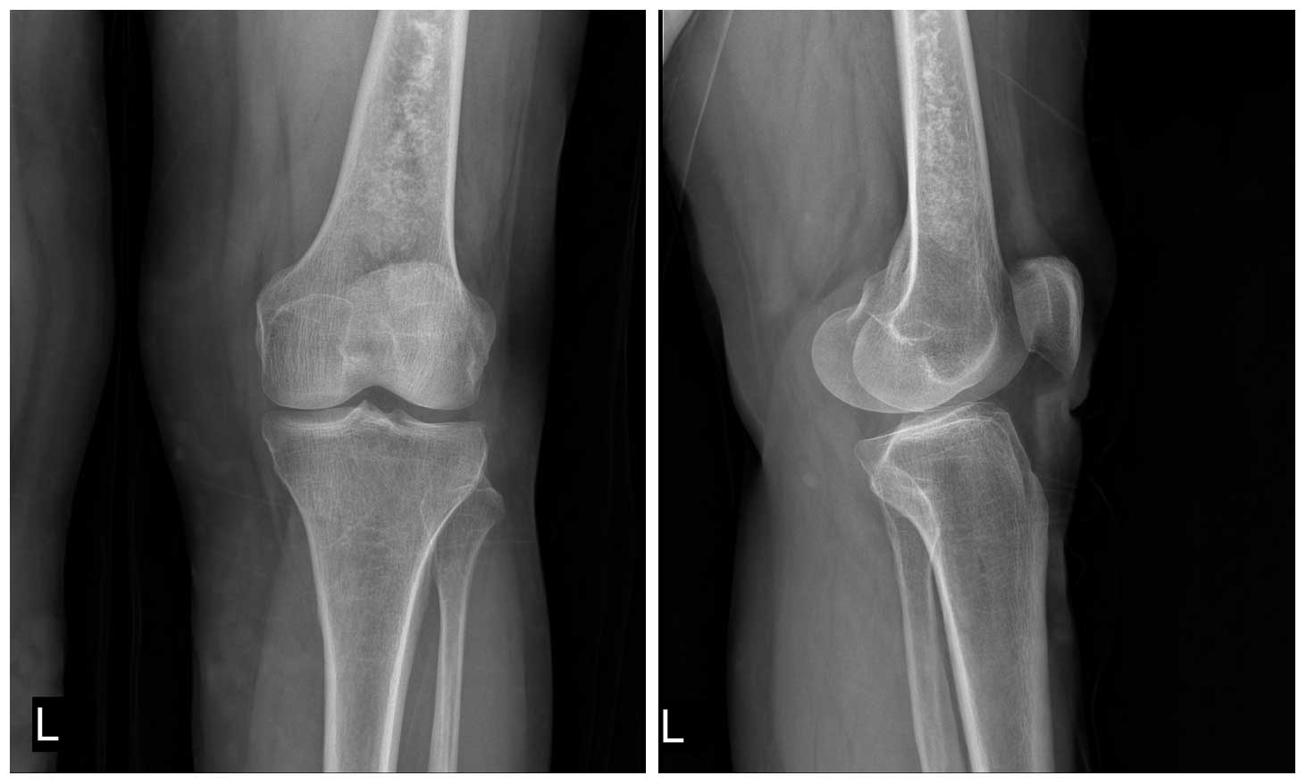
Görsel Açıklamaları
Ameliyat Öncesi: Röntgende distal femur yerleşimli düzensiz sınırlı kıkırdak doku tümörü görülmekte. 
Ameliyat Öncesi: MR’da kemiğin içini dolduran kortekste incelmeye neden olan heterojen kitle görülmekte.
Ameliyat Esnası: Kapak açılması ve tümör dokusu görülmekte.
e.
Ameliyat Sonrası: Tümör çıkarıldıktan sonra oluşan boşluğun kemik çimentosu ile doldurulması ve plak ile güçlendirilmesi görülmekte.


