Vaka 31: Omurga (Vertebra) Yerleşimli Fibröz Displaziye Bağlı Çökme Kırıkları ve Kamburluk (Kifoz)
- Gösterim: 651
39 yaşındaki kadın hastamız, 2 yıldır devam eden sırt ağrısı ve kamburluk şikayetleriyle başvurdu. Yapılan incelemeler sonrası omurgada fibröz displaziye bağlı çökme kırıkları ve kifoz saptandı. Hastaya çimentolama, kamburluk düzeltme ve vidalama ile sabitleme işlemleri uygulanarak başarılı şekilde tedavi edildi.
Detaylı Hasta Bilgileri ve Tedavi Süreci
Hasta Bilgileri:
-
39 yaş, kadın
Başvuru Şikayetleri:
-
2 yıldır devam eden sırt ağrısı
-
Zamanla artan kamburluk (kifoz)
Tanı ve Bulgular:
-
Daha önce iki farklı merkezde iğne biyopsisi yapılmış ancak sonuç alınamamış
-
Muayene ve tetkikler sonrası: Omurga (vertebra) yerleşimli fibröz displaziye bağlı çökme kırıkları ve kifoz
Uygulanan Tedavi:
-
Çimentolama (vertebroplasti)
-
Kamburluğun düzeltilmesi
-
Vidalamayla sabitleme (posterior enstrümentasyon)
Sonuç:
Ameliyat başarıyla gerçekleştirildi ve hastanın omurgası yeniden dengeli hale getirildi.
Ameliyat Öncesi: Röntgende L3 vertebrada litik lezyon görülmekte.

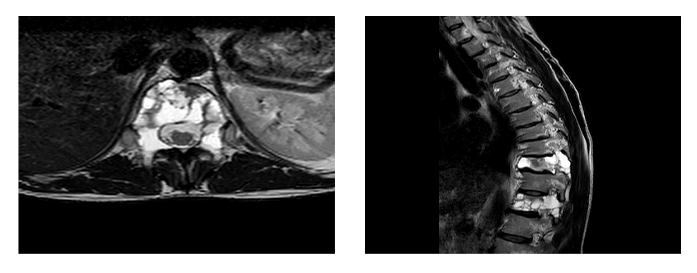
Ameliyat Öncesi: MR’da kemiğin içini tamamen dolduran kistik lezyon görülmekte.
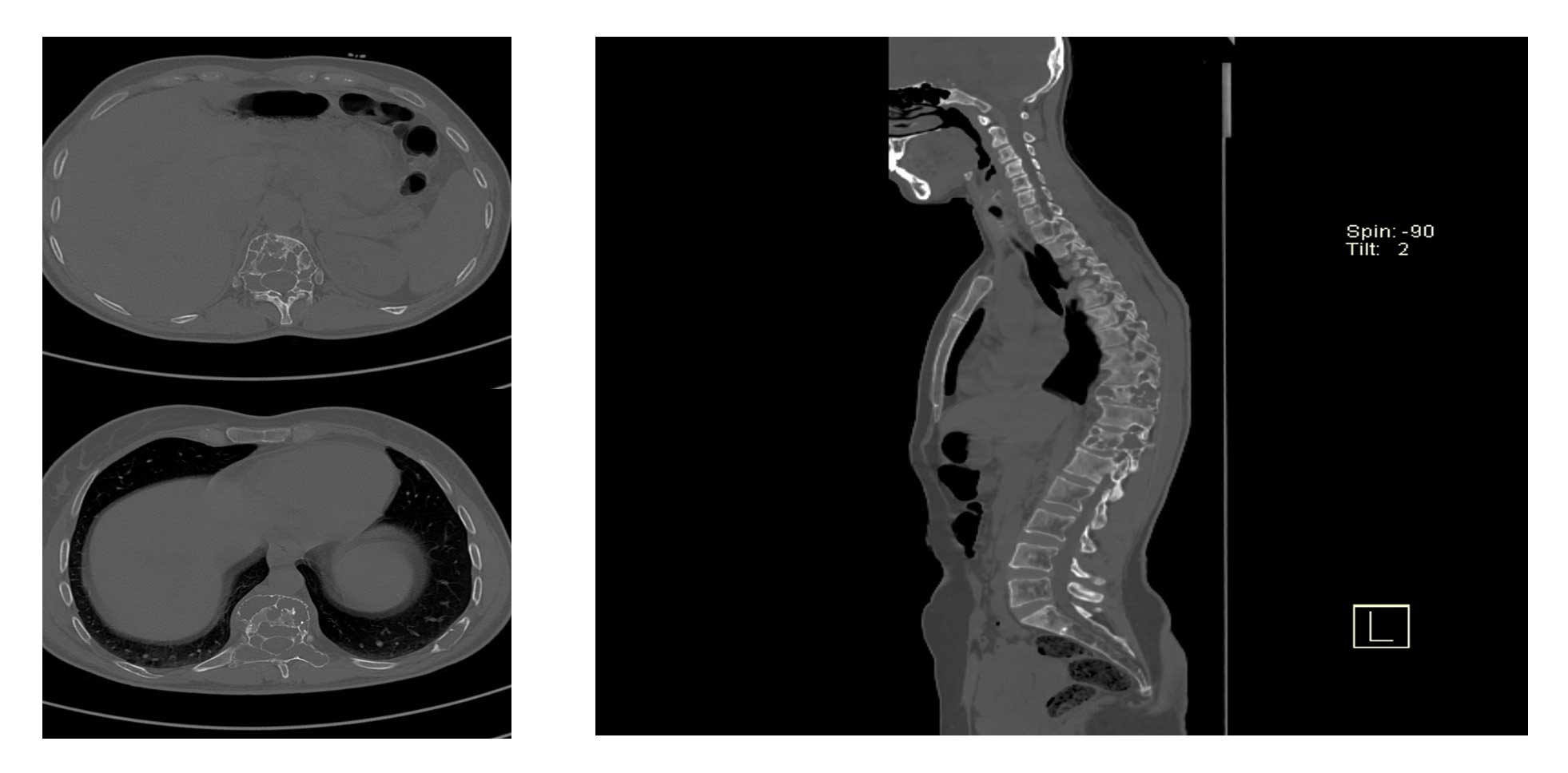
Ameliyat Öncesi: Tomografide iki farklı seviyede harabiyete ve çökme kırığına neden olan kistik lezyonlar görülmekte.

Ameliyat Sonrası: Röntgende boş olan omurga kemiklerinin içini çimento ile doldurulup kamburluğun düzeltilip vidalama ile sabitlenmesi görülmekte.



