Vaka 35: Diz (Proksimal Fibula) Yerleşimli Kondrosarkom
- Gösterim: 198
ChatGPT:
Detaylı Hasta Bilgileri ve Tedavi Süreci
Hasta Bilgileri
-
Genç erkek hasta
-
Yaklaşık birkaç aydır diz dış yanında ağrı ve şişlik şikayeti mevcut
-
Yürüme sırasında ağrının artması nedeniyle başvurdu
-
Radyolojik tetkiklerde proksimal fibula yerleşimli kondrosarkom saptandı
-
Kapalı iğne biyopsisi ile tanı doğrulandı
Uygulanan Tedavi
Tümör dokusu geniş rezeksiyon ile çıkarıldı. Rezeksiyon sonrası bölgedeki stabilite ve fonksiyonun korunması için yumuşak doku rekonstrüksiyonu uygulandı.
Sonuç
Ameliyat başarılı şekilde tamamlandı. Peroneal sinir korunarak işlem gerçekleştirildi. Hasta ameliyat sonrası mobilize edildi ve düzenli kontrollerle takip altına alındı.
Görsel Açıklamaları
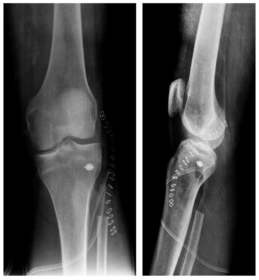
Ameliyat Öncesi: Röntgende ve tomografide kemikte genişlemeye neden olmuş kıkırdak doku tümörü görülmekte. 
Ameliyat Öncesi: MR’da düzensiz sınırlı, kortekste incelmeye neden olan kitle görülmekte.
Ameliyat Esnası: Peroneal sinir diseksiyonu, tümör çıkarıldıktan sonra oluşan boşluk ve anchor yerleşimi görülmekte.

Ameliyat Esnası: Çıkarılan tümörün klinik ve skopi görüntüsü.

Ameliyat Sonrası: Röntgende proksimal fibula rezeksiyonu ve anchor yerleşimi görülmekte.


