Vaka 33: Ewing Sarkom Lomber Omurga Metastazına Bağlı Patolojik Kırık Ve Omurilik/Sinir Kökü Basısı
- Gösterim: 837
28 yaşındaki kadın hastamız, Ewing sarkom nedeniyle daha önce cerrahi geçirmişti. Takiplerinde bel-sırt ağrısı, bacaklarda uyuşma ve güçsüzlük gelişti. Yapılan ameliyatta kırık omurlar temizlenip omurilik üzerindeki bası kaldırıldı ve omurga yeniden güçlendirildi.
Detaylı Hasta Bilgileri ve Tedavi Süreci
Hasta Bilgileri:
-
28 yaş, kadın
-
Daha önce sol sakroiliak Ewing sarkom nedeniyle rezeksiyon ve rekonstrüksiyon öyküsü mevcut
Başvuru Şikayetleri:
-
Bel/sırt ağrısı
-
Bacaklarda uyuşma, karıncalanma ve güçsüzlük
Tanı ve Bulgular:
-
L2 ve L3 omurlarda patolojik kırık
-
Epidural bası ve sinir kökü basısı
Uygulanan Tedavi:
-
İki seviye dekompresyon
-
Parsiyel korpektomi
-
Çimentolama (vertebroplasti)
-
Lumbopelvik fiksasyon ile sabitleme
Sonuç:
Ameliyat sorunsuz geçti. Hasta yara iyileşmesini takiben ikinci haftada radyoterapiye yönlendirildi.
Ameliyat Öncesi: Röntgende ilk ameliyatta yapılan sakroiliak rezeksiyon ve rekonstrüksiyon, lomber vertebra kırıkları ve deformite görülmekte.

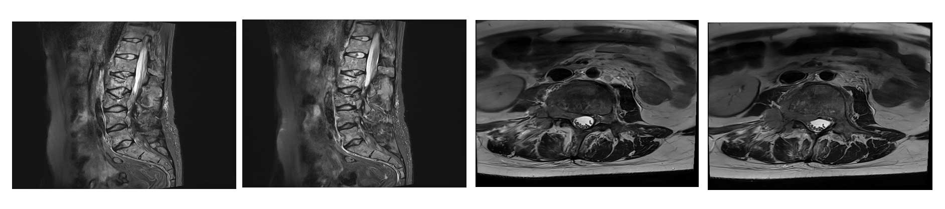
Ameliyat Öncesi: MR’da iki seviyede patolojik kırık, epidural ve kök basısı görülmekte.
Ameliyat Sonrası: Röntgende parsiyel laminektomi+korpektomi sonrası yapılan çimentolama ve lumbopelvik fiksasyon görülmekte



