Vaka 34: Diz (Proksimal Tibia) Yerleşimli Osteosarkom
- Gösterim: 293
15 yaşındaki erkek hastamızda, proksimal tibia yerleşimli osteosarkom tanısı sonrası yapılan cerrahi tedaviyle tümör tamamen çıkarılmış, tümör protezi ve kas flebi kullanılarak başarılı bir rekonstrüksiyon gerçekleştirilmiştir.
Hasta Bilgileri:
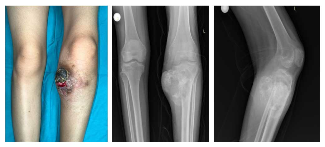
15 yaş erkek hasta, diz çevresinde ağrı, şişlik ve yürüme güçlüğü şikayetleriyle başvurdu. Yapılan tetkikler sonucunda proksimal tibia yerleşimli osteosarkom tanısı konuldu.
Tedavi:
Hastaya kemoterapi tedavisi sonrası geniş rezeksiyon uygulanarak tümörlü tibia segmenti çıkarıldı. Eksize edilen bölge tümör protezi ile yeniden yapılandırıldı ve yumuşak doku bütünlüğünü sağlamak amacıyla kas flebiyle rekonstrüksiyon yapıldı. Bu sayede hem stabilite hem de fonksiyonel bütünlük korundu.
Sonuç:
Ameliyat sonrası dönem sorunsuz ilerlemiş, hastanın diz hareket açıklığı ve yürüme fonksiyonları korunmuştur. Hasta, yara iyileşmesini takiben onkolojik kontrol ve rehabilitasyon sürecine yönlendirilmiştir.
Görsel Açıklamaları
Ameliyat Öncesi: Tümörün klinik ve Röntgende proksimal tibia medialde ciddi harabiyete neden olan ve yumuşak dokuya uzanan düzensiz sınırlı ve heterojen görüntüsü.

Ameliyat Öncesi: PET-CT’de ciddi harabiyete neden olan, heterojen ve düzensiz sınırlı artmış aktivite gösteren litik ve sklerotik kitle.
Ameliyat Esnası: Çıkarılan tümör dokusunun klinik ve skopi görüntüsü.
Ameliyat Esnası: Tümör çıkarıldıktan sonra oluşan boşluk, protez uygulanımı, patellar tendonun stüre edilmesi sonrası gastroknemius kas flebi ve cilt grefti uygulanımı görülmekte.

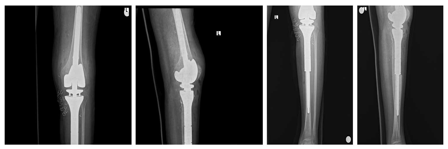
Ameliyat Sonrası: Röntgende rezeksiyon sonrası proksimal tibia tümör protezi ile rekonstrüksiyon görülmekte.


