Vaka 36: Proksimal Tibia Osteosarkom
- Gösterim: 266
70 yaşındaki erkek hastamızda proksimal tibia (kaval kemiği üst kısmı) yerleşimli osteosarkom nedeniyle uygulanan cerrahi tedaviyle hem tümör tamamen çıkarılmış hem de tümör protezi ve kas flebi kullanılarak fonksiyonel bir rekonstrüksiyon sağlanmıştır.
Hasta Bilgileri:
70 yaş erkek hasta, sağ diz çevresinde ağrı ve şişlik şikayetiyle başvurdu. Yapılan radyolojik incelemeler ve biyopsi sonucunda proksimal tibia osteosarkomu tanısı konuldu.
Tedavi:
Hastaya kemoterapi sonrasında geniş rezeksiyon uygulandı. Tümörlü kemik çıkarıldıktan sonra diz eklemi ve çevre dokuların bütünlüğü korunacak şekilde tümör protezi ile yeniden yapılandırma (rekonstrüksiyon) yapıldı. Yumuşak doku kapatılması için gastroknemius kas flebi kullanılarak sağlam ve estetik bir doku örtüsü elde edildi.
Sonuç:
Ameliyat sonrası dönem sorunsuz geçmiş, hastada diz stabilitesi ve fonksiyonel hareket kabiliyeti korunmuştur. Hasta yara iyileşmesini takiben onkolojik takip ve rehabilitasyon sürecine yönlendirilmiştir.
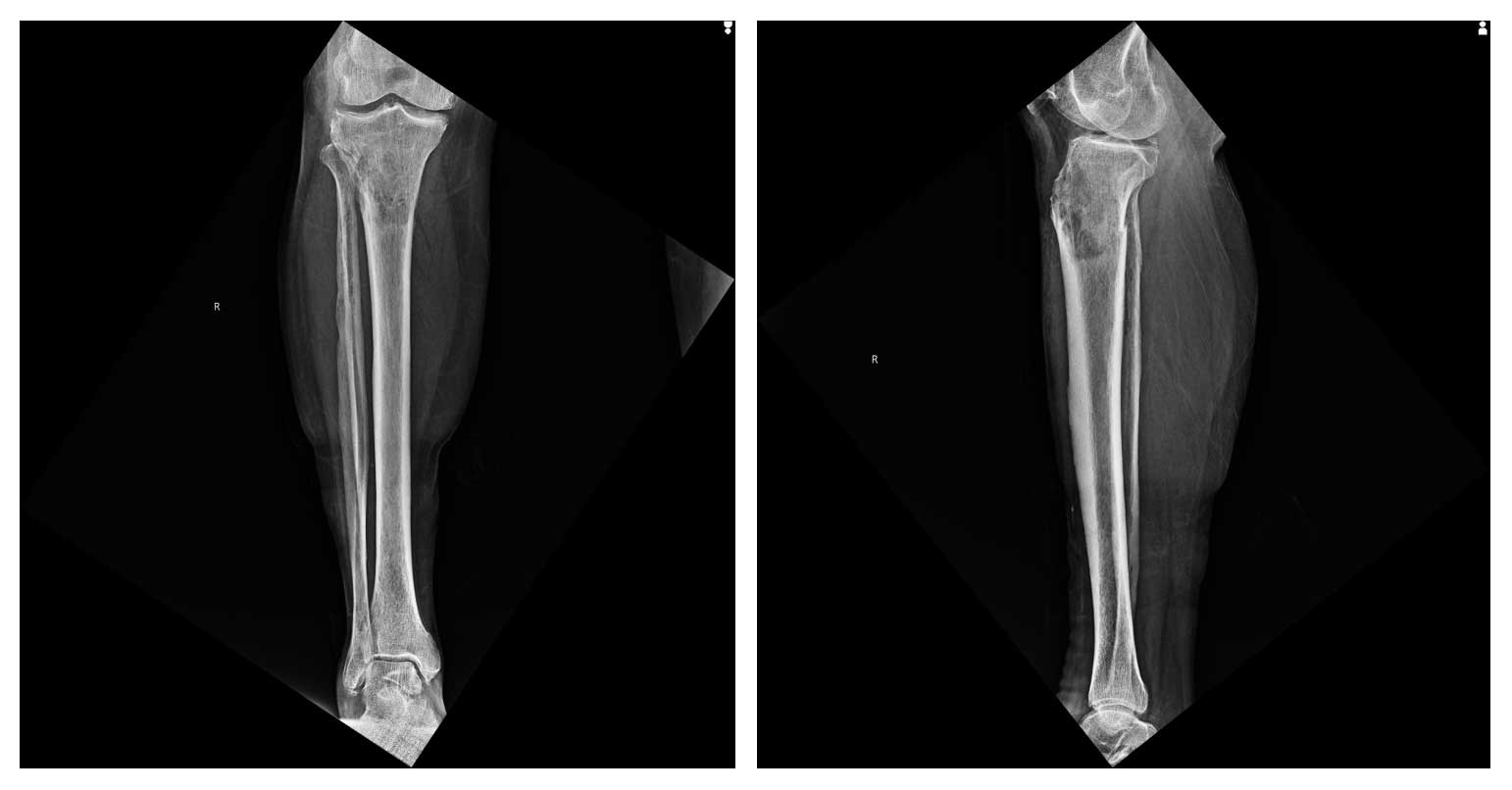
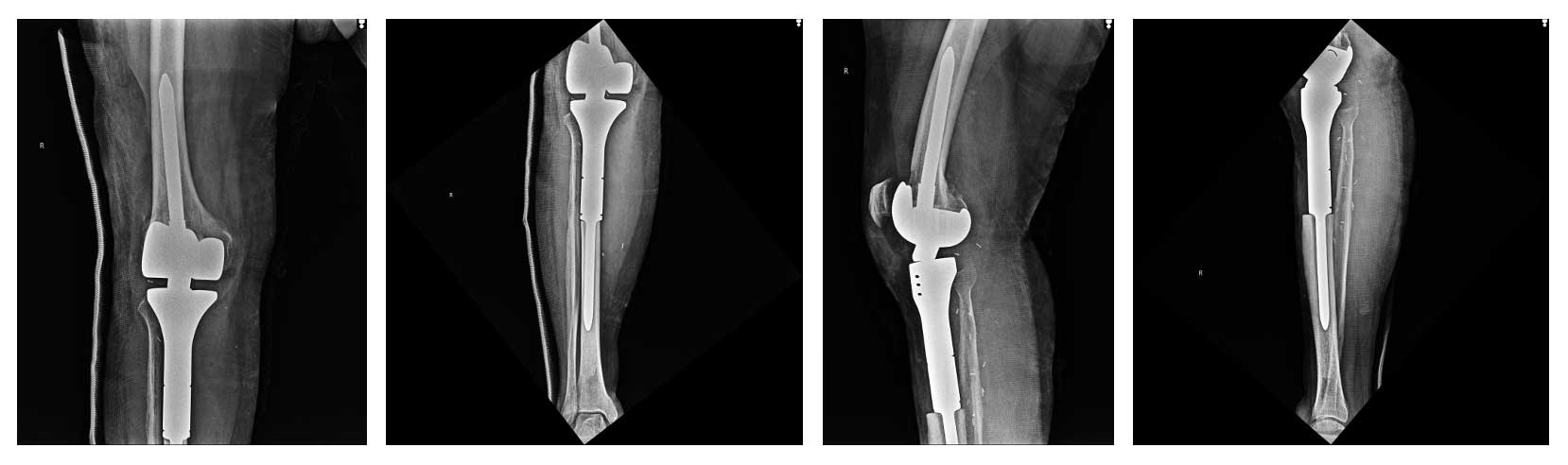
Görsel Açıklamaları
Ameliyat Öncesi: Röntgende proksimal tibia yerleşimli düzensiz sınırlı kemik harabiyetine neden olan kitle görülmekte.

Ameliyat Öncesi: MR’da aynı lokalizasyonda kemiğin dışına taşmış ve çevresel yaygın ödeme neden olmuş tümör dokusu görülmekte.
Ameliyat Esnası: Çıkarılan tümör dokusunun klinik ve skopi görüntüsü.
Ameliyat Esnası: Tümör protezi, patellar tendon, gastroknemius flep ve kapama.

Ameliyat Sonrası: Röntgende rezeksiyon sonrası uygulanan tümör protezi görülmekte.


