Vaka 12: Sakrum Yerleşimli Kordoma
- Gösterim: 537
64 yaşındaki erkek hasta, kuyruk sokumu ağrısı, oturma güçlüğü ve kabızlık şikayetleriyle başvurdu. Sakrumda kordoma tanısı konan hastada metastaz saptanmadı. Sakrektomi sonrası yara iki taraflı V-Y flep ile kapatıldı, hasta sorunsuz şekilde taburcu edildi.
- 64 yaş erkek hasta
- 10 aydır mevcut kuyruk sokumu ağrısı, oturmada güçlük ve kabızlık şikayeti ile başvurdu
- Sakrum yerleşimli kitle nedeniyle yapılan iğne biyopsisinde kordoma tanısı konan hastanın taramalarında metastaz saptanmadı
- Hastaya sakrektomi ameliyatı başarı ile uygulandı ve yara iki taraflı V-Y flep ile kapatıldı
- Ameliyat esnası ve sonrasında sorun yaşanmayan hasta yakın takip ile taburcu edildi
Görsel Açıklamaları
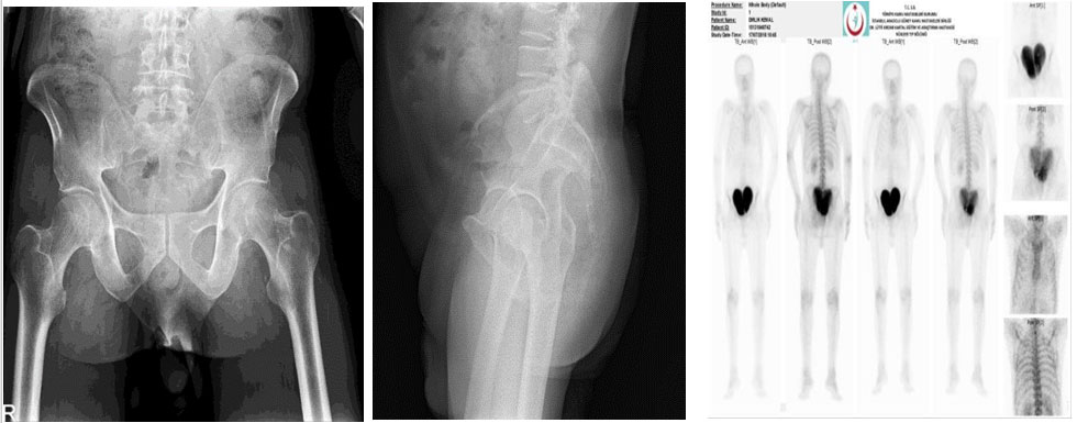
Ameliyat öncesi: Röntgende sakrum ve koksiksde harabiyet, sintigrafide yoğun artmış aktivite görülmekte

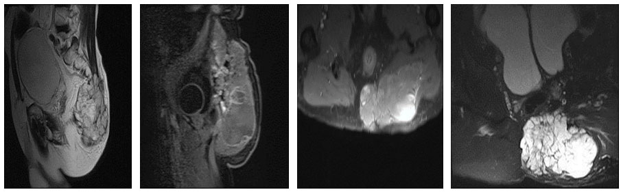
Ameliyat öncesi: MR’da aynı bölgede kas içine uzanan ve rektuma bası yapan büyük ve düzensiz tümör dokusu görülmekte
Ameliyat esnası: Tümörle birlikte çıkarılacak cilt dokusunun işaretlenmesi, tümörün çıkarılması sonrası oluşan boşluk ve rektum dokusu, V-Y flep ile yaranın kapatılması görülmekte

Ameliyat esnası: Tümörün tek parça halinde temiz sınırlar ile çıkarıldığının klinik ve skopi görüntüsü

Ameliyat sonrası: Birinci sakrum distalinden itibaren rezeksiyon yapıldığı görülmekte


