Vaka 19: Ayak (Metatars) Yerleşimli Ewing Sarkom
- Gösterim: 177
ChatGPT:
Detaylı Hasta Bilgileri ve Tedavi Süreci
Hasta Bilgileri
- Genç erkek hasta.
- Ayak (metatars) yerleşimli Ewing sarkom tanısı mevcut.
- Kemoterapi sonrası cerrahi planlandı.
Uygulanan Tedavi
- Kemoterapiyi takiben geniş rezeksiyon uygulandı.
- Alınan kemik dokusuna sıvı azot ile geri kazanım işlemi yapılarak yeniden yerleştirildi.
Sonuç
- Cerrahi işlem başarıyla tamamlandı.
Görsel Açıklamaları
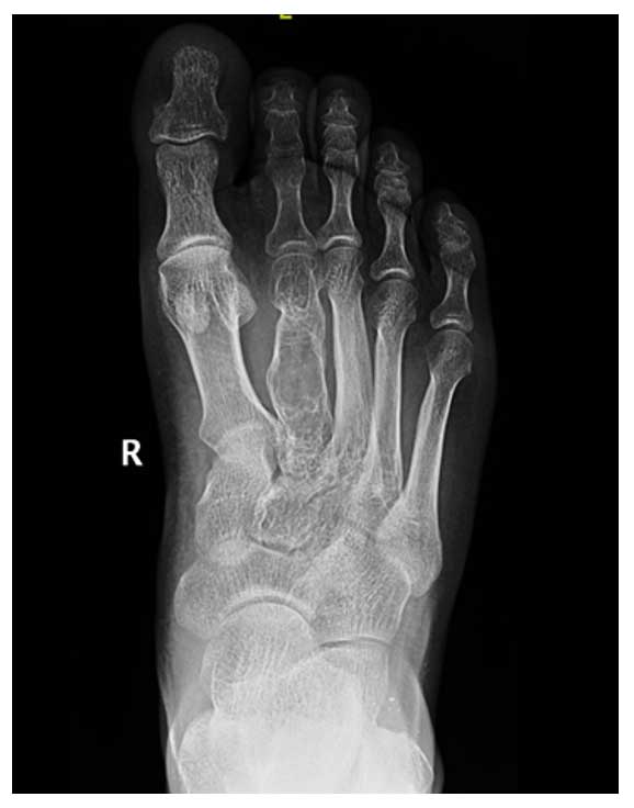
Ameliyat Öncesi: Röntgende ayak 2. metatars kemiğinde litik lezyon ve düzensizlik görülmekte.
Ameliyat Öncesi: MR’da 2. metatarsı çepeçevre saran düzensiz sınırlı ve heterojen kitle görülmekte.
Ameliyat Esnası: Skopide Osteotomi hattının belirlenmesi, çıkarılan tümörün klinik ve skopi görüntüsü ile sıvı azot uygulanarak geri kazanım sonrası görüntüsü görülmekte.
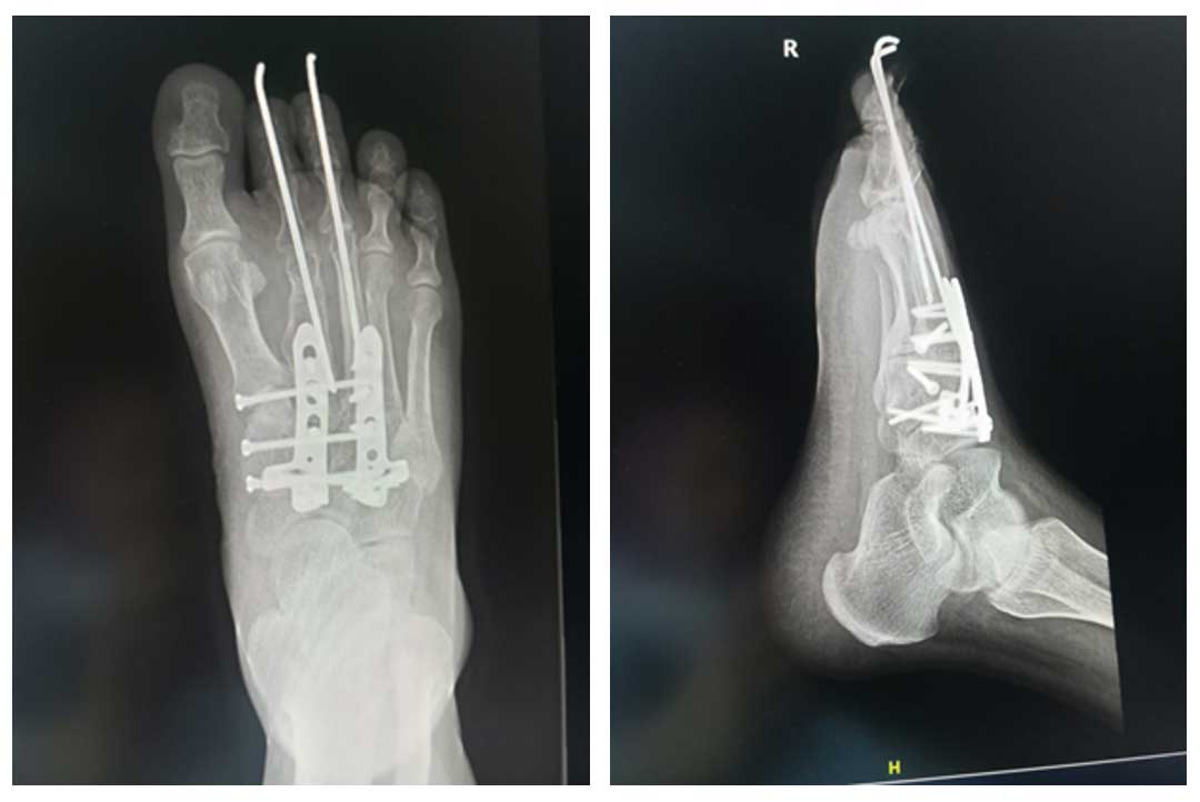
Ameliyat Sonrası: Rezeksiyon sonrası sıvı azot ile geri kazanılan kemiğin plak, vida ve K telleri ile fiksasyonu görülmekte.


