Vaka 28: Üçüncü Bel (L3) Omurgasında Anevrizmal Kemik Kisti
- Gösterim: 734
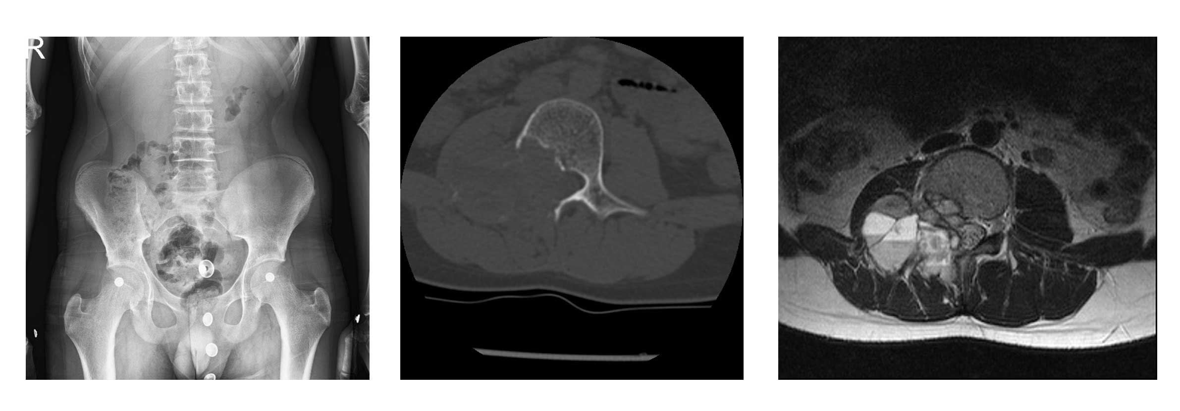
15 yaşındaki erkek hastamız, 8 aydır devam eden bel ağrısı ve sağ bacakta uyuşma şikayetleriyle başvurdu. L3 omurgasında tespit edilen anevrizmal kemik kisti, temizlenip kemik çimentosu ile dolduruldu ve omurga vidalarla güçlendirildi. Ameliyat sonrası hastamız ağrısız bir şekilde yürüyerek taburcu edildi.
Detaylı Hasta Bilgileri ve Tedavi Süreci
Hasta Bilgileri:
-
15 yaş, erkek
Başvuru Şikayetleri:
-
8 aydır artan bel ağrısı
-
Sağ bacakta uyuşma
Tanı ve Bulgular:
-
L3 omurga bölgesinde litik ve kistik kitle
-
Biyopsi sonucu: Anevrizmal kemik kisti
Uygulanan Tedavi:
-
Tomografi eşliğinde biyopsi
-
Kistin agresif küretaj ile temizlenmesi
-
Oluşan boşluğun kemik çimentosu ile doldurulması
-
Omurganın vidalama yöntemiyle güçlendirilmesi (posterior enstrümentasyon)
Sonuç:
Ameliyat sorunsuz geçti, hastanın ağrıları geçti ve güvenle yürütülerek taburcu edildi.
Görsel Açıklamaları
Ameliyat Öncesi: Röntgende L3 vertebra sağ pedikülde harabiyet, tomografide kemik yıkımı ve MR’da sıvı sıvı seviyesi görülmekte.

Ameliyat Sonrası: Röntgende tümör temizlendikten sonra oluşan boşluğa kemik çimentosu uygulanımı ve posterior enstrümentasyon işlemi görülmekte


