Vaka 30: Diz (Distal femur) Yerleşimli Osteosarkom
- Gösterim: 308
Distal femurda osteosarkoma bağlı gelişen patolojik kırık sonrası kemoterapi ve cerrahi tedavi uygulanan genç erkek hastamızda, tümörün tamamen çıkarılması ve diz fonksiyonlarının korunması hedeflenmiştir.
Hasta Bilgileri:
Genç erkek hasta
Distal femur yerleşimli osteosarkoma bağlı patolojik kırık nedeniyle başvurdu.
Tedavi:
Hastaya kemoterapi tedavisinin ardından geniş (ekstraartiküler) rezeksiyon uygulandı. Tümörlü kemik çıkarılarak eksize edilen bölge distal femur tümör protezi ile yeniden yapılandırıldı. Bu yöntem sayesinde hastanın diz eklemi stabilitesi ve fonksiyonu korunmuş oldu.
Sonuç:
Ameliyat sonrası süreç sorunsuz ilerlemiş, hastanın yürüme fonksiyonu korunmuştur. Hasta yara iyileşmesini takiben onkolojik takip ve rehabilitasyon sürecine yönlendirilmiştir.
Görsel Açıklamaları
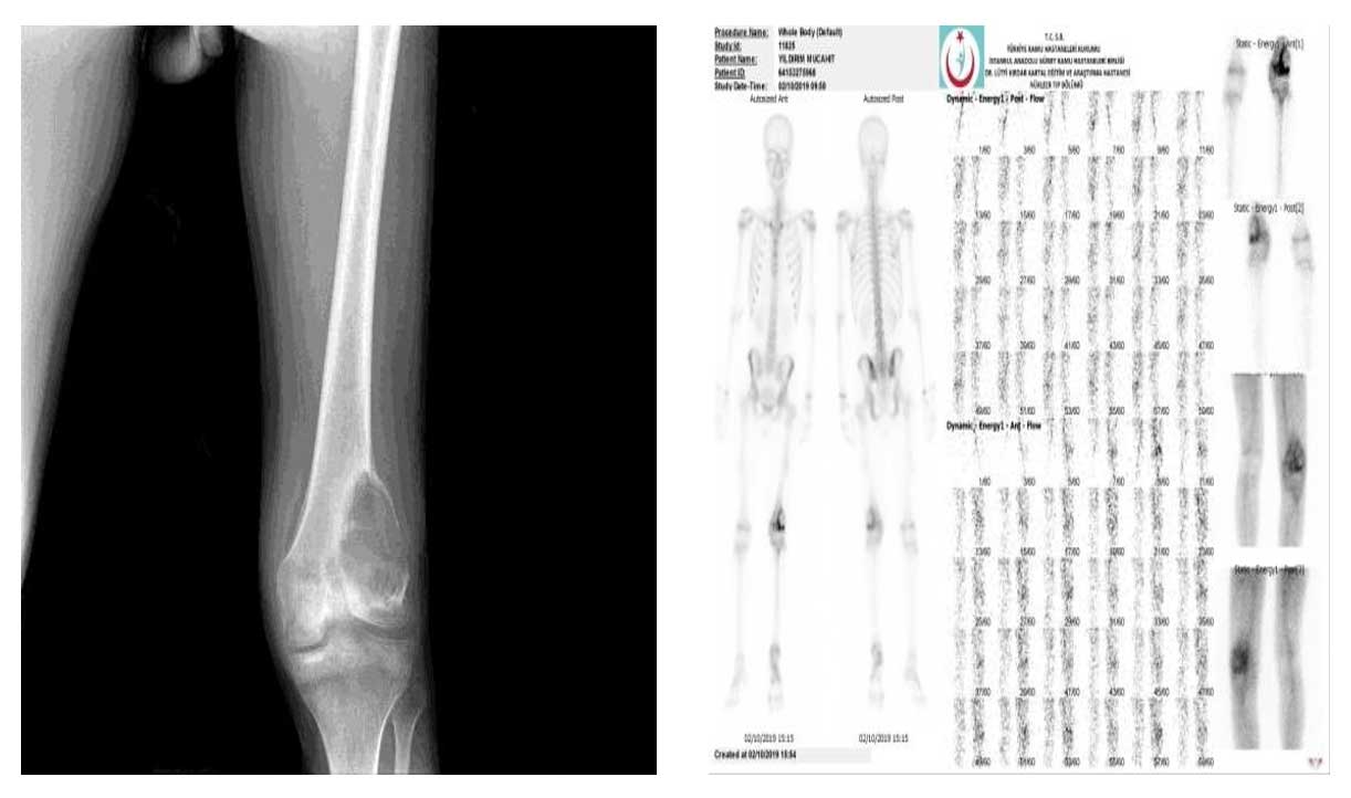
Ameliyat Öncesi: Röntgende distal femur lateralde litik lezyon, sintigrafide aynı lokalizasyonda artmış aktivite görülmekte.

Ameliyat Öncesi: MR ve tomografide aynı lokalizasyonda kırığın eşlik ettiği harabiyet görülmekte.
Ameliyat Sonrası: Röntgende rezeksiyon sonrası uygulanan tümör protezi görülmekte.


