Vaka 38: Kaval kemiği (Tibia) Yerleşimli Osteosarkom
- Gösterim: 317
Proksimal tibia (kaval kemiği) yerleşimli osteosarkom tanısı alan erkek çocuk hastamızda, kemoterapi sonrası tümörlü kemiğin çıkarılmasıyla birlikte sıvı azotla geri kazanım, vaskülerize fibula ve kas flebi uygulamaları bir arada kullanılarak hem fonksiyonel hem de biyolojik rekonstrüksiyon sağlanmıştır.
Hasta Bilgileri:
Erkek çocuk hasta, diz çevresinde ağrı ve şişlik şikayetiyle başvurdu. Yapılan biyopsi sonucunda proksimal tibia osteosarkomu tanısı konuldu. Taramalarında metastaz saptanmadı ve hastaya öncelikle kemoterapi uygulandı.
Tedavi:
Kemoterapi sonrası geniş rezeksiyon ile tümörlü kemik çıkarıldı. Çıkarılan kemik parçası sıvı azot yöntemiyle geri kazanıldı ve aynı taraf vaskülerize fibula ile desteklenerek anatomik bütünlük yeniden oluşturuldu. Yumuşak doku kapatılması için gastroknemius kas flebi kullanılarak sağlam bir rekonstrüksiyon sağlandı.
Sonuç:
Ameliyat sonrası süreç sorunsuz ilerlemiş, hastanın diz hareket açıklığı korunmuştur. Hasta yara iyileşmesini takiben pediatrik onkoloji takibi ve rehabilitasyon sürecine yönlendirilmiştir.
Görsel Açıklamaları
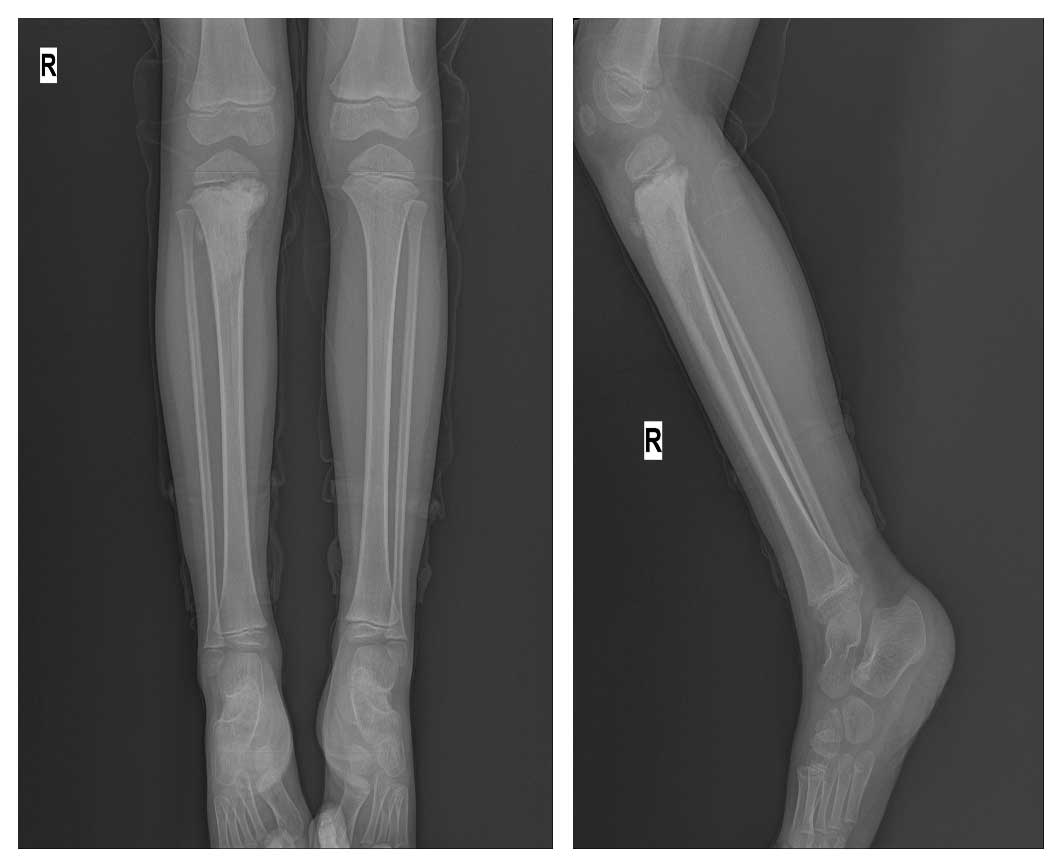
Ameliyat Öncesi: Röntgende proksimal tibiada düzensiz sınırlı sklerotik lezyon görülmekte.

Ameliyat Öncesi: Tomografide aynı lokalizasyonda kemikte harabiyet ve yumuaşak dokuya uzanım görülmekte.
Ameliyat Öncesi: MR’da ek olarak çevreleyen yaygın ödem görülmekte.
Ameliyat Esnası: Rezeksiyon sonrası sıvı azot ile geri kazanım görülmekte.

Ameliyat Esnası: Rezeksiyon sonrası oluşan boşluk, geri kazanılmış kemiğin titanyum plak ile fiksasyonu, patellar tendon stürasyonu ve gastroknemius flep hazırlanması görülmekte.

Ameliyat Esnası: Gastroknemius ve soleus kas flep ile yumuşak doku örtümü görülmekte.

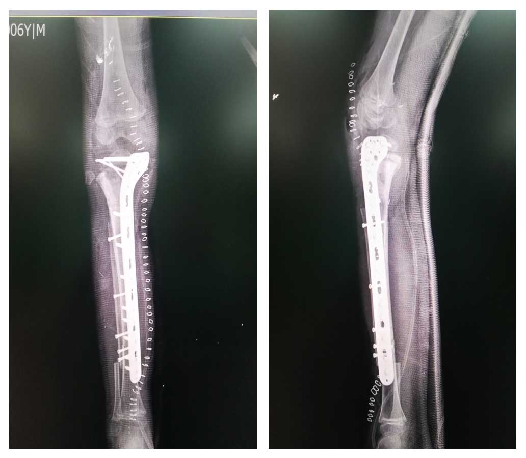
Ameliyat Sonrası: Röntgende rezeksiyon sonrası geri kazanılmış kemik ve fibulanın titanyum anatomik plak ile fiksasyonu görülmekte.


