Vaka 54: Endometrium (Rahim) Kanseri Tibia Metastazına Bağlı Patolojik Kırık ve Cerrahi Tedavi
- Gösterim: 290
ChatGPT:
Detaylı Hasta Bilgileri ve Tedavi Süreci
Hasta Bilgileri:
-
62 yaş kadın hasta
-
3 aydır artan sol bacak ağrısı ve desteksiz yürüyememe şikayeti
-
Tibia’da litik lezyon tespit edilmiş, iğne biyopsisi ile karsinom metastazı doğrulanmış
-
PET-CT’de hem tibia hem de rahimde tutulum mevcut
Tanı:
-
Sol tibia: metastaz nedeniyle patolojik kırık riski
Uygulanan Tedavi:
-
Tibia kemiğinin tümörlü kısmının temiz sınırlar ile çıkarılması
-
Oluşan boşluğun tümör protezi ile yeniden yapılandırılması
-
Ameliyat başarıyla tamamlandı, kemiğin stabilitesi sağlandı
Sonuç:
Ameliyat sonrası hasta güvenle ayağa kaldırıldı ve bastırılarak yürütüldü. İkinci haftada dikişleri alınarak radyoterapiye yönlendirildi.
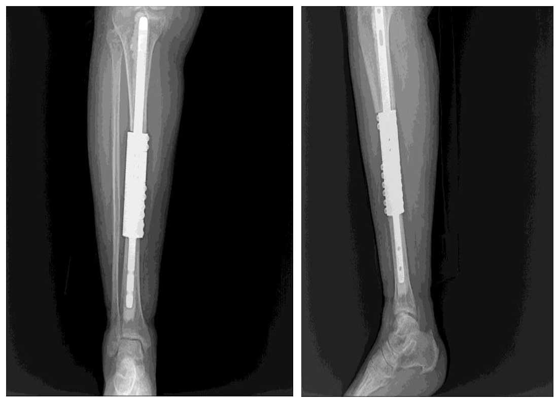
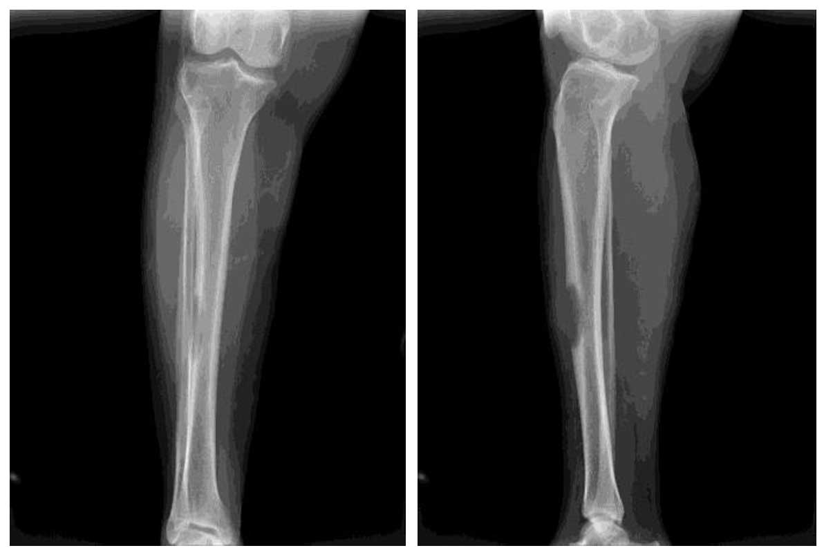
Görsel Açıklamaları
Ameliyat Öncesi: Röntgende kaval kemiği orta kısmında yeniklik ve harabiyetin neden olduğu kırık riski görünmekte.

Ameliyat Esnası: Kemiğin tümörlü kısmının çıkarılması.

Ameliyat Sonrası: çıkarılan tümörlü kemiğin yerine çimentolu tümör protezi uygulanımı.


