Vaka 37: Kaval Kemiği (Proksimal Tibia) Yerleşimli Osteosarkom
- Gösterim: 486
Proksimal tibia (kaval kemiği üst kısmı) yerleşimli osteosarkom tanısı alan erkek çocuk hastamızda, kemoterapi sonrası uygulanan cerrahi tedaviyle hem tümörlü doku tamamen çıkarılmış hem de sıvı azot ile geri kazanım ve tümör protezi kombinasyonu sayesinde fonksiyonel bir rekonstrüksiyon sağlanmıştır.
Hasta Bilgileri:
Erkek çocuk hasta, diz çevresinde ağrı ve şişlik şikayetiyle başvurdu. Yapılan biyopsi sonucunda proksimal tibia osteosarkomu tanısı konuldu. Taramalarında metastaz saptanmadı ve hasta kemoterapi tedavisini tamamladı.
Tedavi:
Kemoterapiyi takiben geniş rezeksiyon uygulanarak tümörlü kemik çıkarıldı. Çıkarılan kemik sıvı azot ile geri kazanım yöntemiyle yeniden kullanılabilir hale getirildi ve tümör proteziyle kombine edilerek anatomik bütünlük sağlandı. Yumuşak doku kapatılması için gastroknemius kas flebi kullanılarak sağlam bir doku örtüsü elde edildi.
Sonuç:
Ameliyat sonrası süreç sorunsuz ilerlemiş, hastanın diz eklem fonksiyonları korunmuştur. Hasta yara iyileşmesini takiben pediatrik onkoloji takibine ve rehabilitasyon sürecine yönlendirilmiştir.
Görsel Açıklamaları
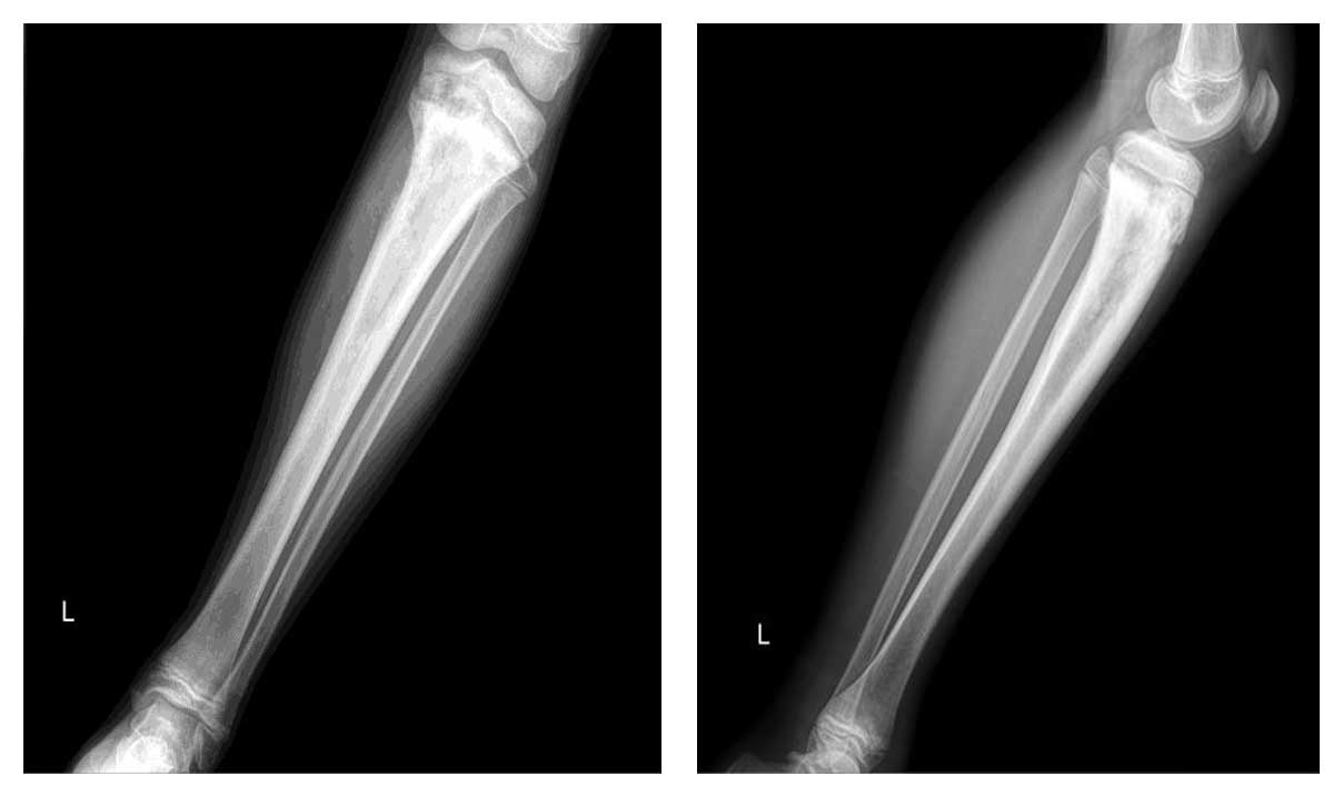
Ameliyat Öncesi: Röntgende proksimal tibiada düzensiz sınırlı sklerotik lezyon görülmekte.

Ameliyat Öncesi: MR’da proksimal tibiada kemik harabiyetine neden olup yumuşak dokuya uzanım gösteren çevreleyen ödemin eşlik ettiği düzensiz sınırlı kitle lezyonu.
Ameliyat Esnası: Çıkarılan tümör dokusunun klinik ve skopi görüntüsü.
Ameliyat Esnası: Rezeksiyon sonrası, gastroknemius flep hazırlanması, nörovasküler yapıların devamlılığı ve patellar tendon görülmekte.

Ameliyat Esnası: Rezeksiyon ve tümör protez yerleşimi sonrası patellar tendon stürasyonu ve gastroknemius flep örtümü görülmekte.

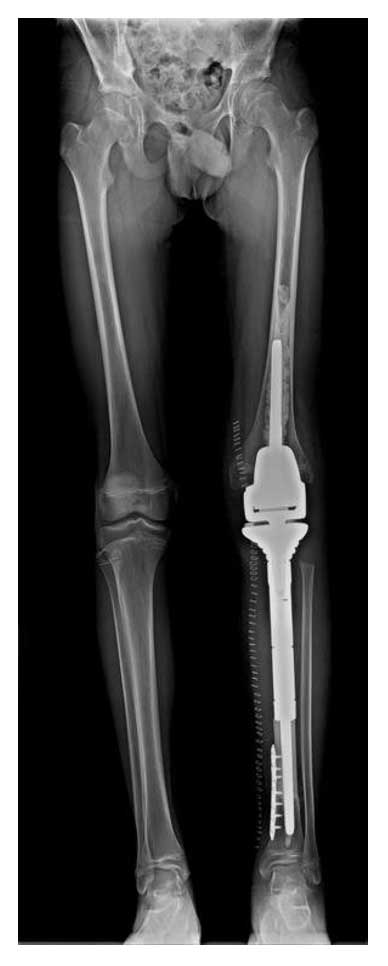
Ameliyat Sonrası: Röntgende rezeksiyon sonrası geri kazanılmış kemik ile proksimal tibia tümör protezi rekonstrüksiyon işlemi görülmekte.


