Vaka 31: Uyluk Kemiği (Femur) Yerleşimli Kondrosarkom
- Gösterim: 191
ChatGPT:
Detaylı Hasta Bilgileri ve Tedavi Süreci
Hasta Bilgileri
-
Erişkin kadın hasta
-
Uyluk kemiğinde şiddetli ağrı ve yük verememe şikayeti ile başvurdu
-
Radyolojik incelemede femur yerleşimli kitle ve patolojik kırık saptandı
-
Kapalı iğne biyopsisi sonucu kondrosarkom tanısı doğrulandı
Uygulanan Tedavi
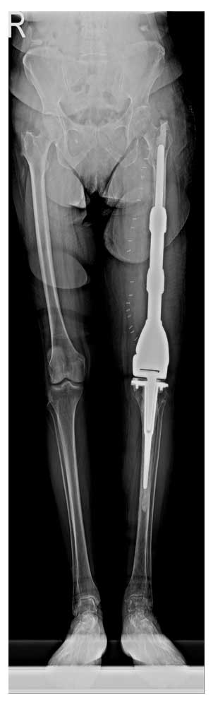
Tümör ve kırık hattını içeren femur segmenti geniş rezeksiyonla çıkarıldı. Ardından hastanın fonksiyonel kapasitesini korumak amacıyla modüler tümör protezi ile rekonstrüksiyon yapıldı.
Sonuç
Tümör temiz cerrahi sınırlar ile çıkarıldı. Protez sonrası hastanın yük verme ve yürüme fonksiyonları güvenli şekilde yeniden sağlandı. Hasta yakın takip programına alındı.
Görsel Açıklamaları
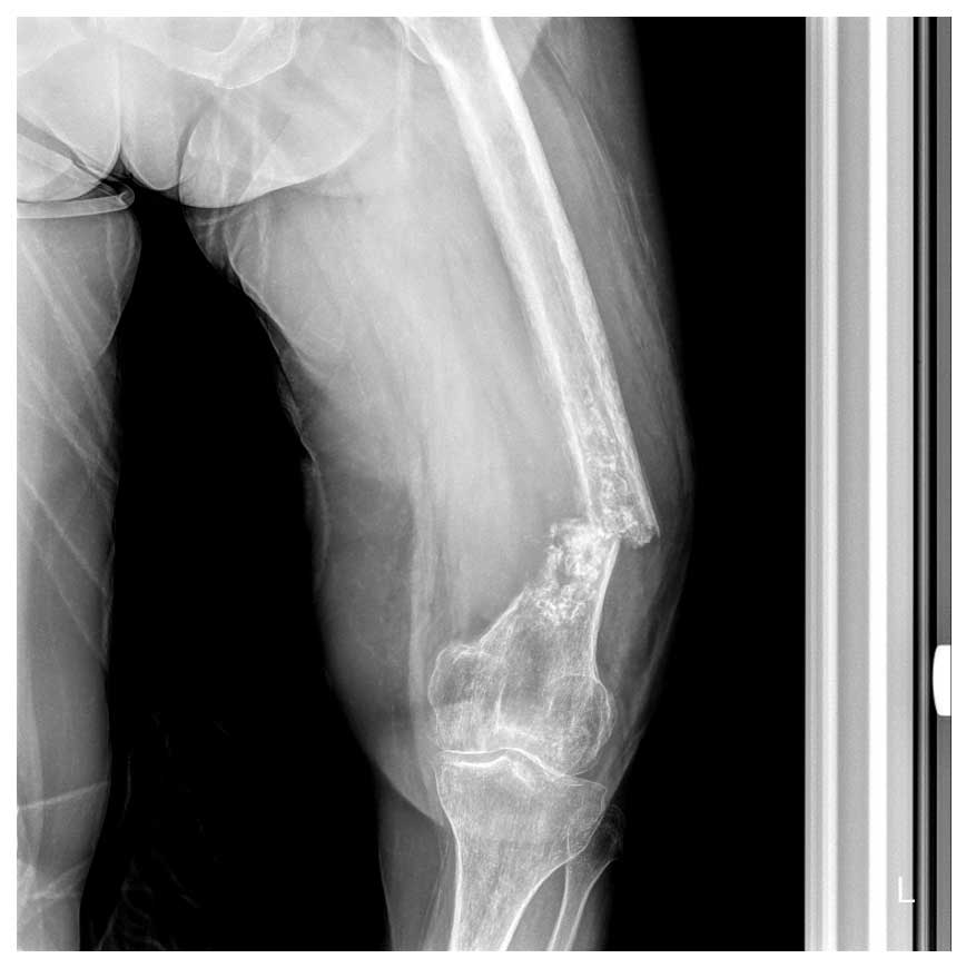
Ameliyat Öncesi: Röntgende distal femurda düzensiz kalsifikasyon, korteks destrüksiyonu ve deplase fraktür görülmekte. 
Ameliyat Öncesi: MR’da ek olarak çevreleyen yaygın ödem görülmekte.
Ameliyat Öncesi: PET-CT’de yoğun artmış aktivite görülmekte.
e.
Ameliyat Sonrası: Röntgende rezeksiyon sonrası uygulanan tümör protezi görülmekte.


