Vaka 29: Kalça (Femur Boyun) Yerleşimli Kondrosarkom
- Gösterim: 162
ChatGPT:
Detaylı Hasta Bilgileri ve Tedavi Süreci
Hasta Bilgileri
-
Erişkin erkek hasta
-
Kalça bölgesinde ağrı ve yürüme güçlüğü şikayetleri mevcut
-
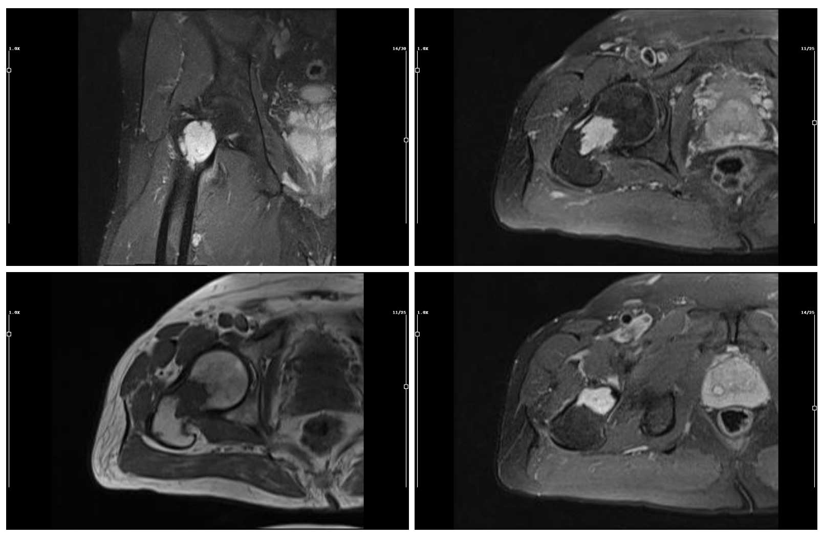
Radyolojik değerlendirmede femur boyun yerleşimli kitle saptandı
-
Yapılan biyopsi sonucu kondrosarkom olarak raporlandı
Uygulanan Tedavi
Tümörlü femur boyun bölgesi geniş rezeksiyon ile çıkarıldı. Ardından hastanın fonksiyonel mobilitesini korumak amacıyla tümör protezi ile rekonstrüksiyon gerçekleştirildi.
Sonuç
Tümör dokusu temiz cerrahi sınırlar ile tamamen çıkarıldı. Protez rekonstrüksiyonu sonrası hastanın erken dönemde mobilizasyonu sağlandı. Hasta yakın takip programına alındı.
Görsel Açıklamaları
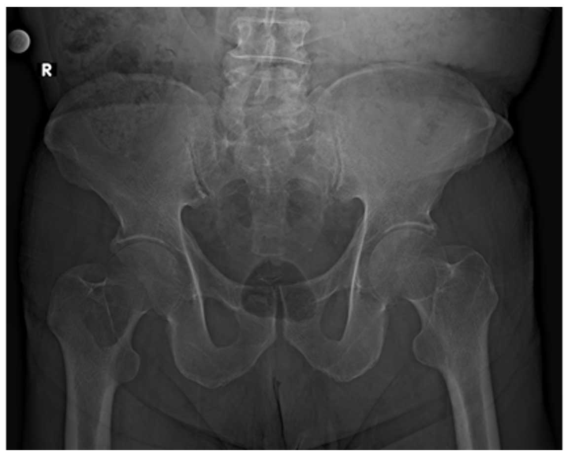
Ameliyat Öncesi: Röntgende sağ femur boyunda litik lezyon görülmekte.
Ameliyat Öncesi: Tomografide ek olarak anterior kortekste destrüksiyon görünmekte.
Ameliyat Öncesi: MR’da tümör sınırlarının düzensiz olduğu ve yoğun kontrast tuttuğu görülmekte.

Ameliyat Esnası: Çıkarılan tümör ve deneme protezi ile ölçüm.

Ameliyat Sonrası: Röntgende proksimal femur rezeksiyonu sonrası tümör protezi ile rekonstrüksiyon görülmekte.


