Vaka 48: Meme Kanseri Sağ Tibia Üst Uç Metastazına Bağlı Kırık Riski
- Gösterim: 148
ChatGPT:
Detaylı Hasta Bilgileri ve Tedavi Süreci
Hasta Bilgileri:
82 yaş kadın hasta; serviks kanseri nedeniyle ameliyat, radyoterapi ve medikal tedavi öyküsüne sahip olup bilinen metastatik odakları bulunmaktadır. Son bir aydır artan sol diz ağrısı ve belirgin yürüme zorluğu şikayetleri ile başvurdu. Ağrı istirahatte de devam etmekte ve ağrı kesicilere yeterli yanıt alınamamaktaydı.
Tanı:
Görüntüleme yöntemlerinde sol tibia (kaval kemiği) üst uçta serviks kanseri metastazı ile uyumlu lezyon ve kemik zayıflaması saptandı. Kırık riski yüksek olarak değerlendirildi.
Uygulanan Tedavi:
Hastaya metastatik tümör dokusunun temizlenmesi (küretaj/rezeksiyon) sonrası oluşan kemik boşluğunun kemik çimentosu ile doldurulması işlemi başarıyla uygulandı. Böylece hem mekanik stabilite artırıldı hem de ağrı kontrolü sağlandı.
Sonuç:
Ameliyat esnasında ve sonrasında herhangi bir sorun yaşanmayan hasta güvenle bastırılarak yürütüldü ve ağrıda belirgin azalma sağlandı. Hasta stabil şekilde taburcu edildi ve tedavi planlaması ilgili birimlerle paylaşıldı.
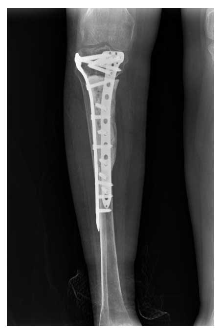
Görsel Açıklamaları
Ameliyat Öncesi: Röntgende sağ tibia üst uç dış kısımda yeniklik/harabiyet ve kırık riski, MR’da aynı lokalizasyonda tümör dokusu görülmekte.

Ameliyat Sonrası: Röntgende tümörün temizlenmesi sonrası oluşan boşluğun kemik çimentosu ile doldurulması ve iki adet anatomik plak ile güçlendirilmesi görülmekte.


