Vaka 13: Sol Kalça (Femur Boyun) Yerleşimli Osteoid Osteoma Tanısıyla Radyofrekans Ablasyon Uygulaması
- Gösterim: 801
30 yaşındaki kadın hasta, yaklaşık bir yıldır devam eden sol kalça ağrısı ve hareket kısıtlılığı şikayetleriyle başvurdu. İstirahat sırasında da devam eden ağrılar zaman zaman gece uykudan uyandırmakta, ağrı kesici ilaçlarla hafiflemekteydi. Hareket kısıtlılığı ilerleyerek hastanın yürüyüşünü zorlaştırmış, baston kullanmak zorunda kalmasına yol açmıştı. Daha önce yaşadığı şehirde hiperbarik oksijen tedavisi ve fizik tedavi dahil birçok yöntem uygulanmış ancak sonuç alınamamıştı. Yapılan değerlendirmeler sonucunda osteoid osteoma tanısı konularak radyofrekans ablasyon işlemi başarıyla uygulandı. Hasta, işlem sonrası bir gece hastanede kaldıktan sonra ağrısız şekilde taburcu edildi. İlk kontrolünde şikayetlerinin tamamen geçtiği teyit edildi.
Detaylı Hasta Bilgileri ve Tedavi Süreci
Hasta Bilgileri:
- 30 yaşında kadın hasta
Şikayetler:
- Sol kalça ağrısı
- Gece artan ve uykudan uyandıran ağrı
- Hareket kısıtlılığı ve yürüme güçlüğü
- Bastonla yürüme ihtiyacı
Önceki Tedaviler:
- Hiperbarik oksijen tedavisi
- Fizik tedavi ve ilaç tedavileri uygulanmış ancak etkili sonuç alınamamış
Tanı ve Tedavi:
- Osteoid osteoma tanısı kondu
- Tomografi rehberliğinde radyofrekans ablasyon işlemi uygulandı
- Hasta işlem sonrası bir gece hastanede kaldı
Tedavi Sonuçları:
- Şikayetleri tamamen geçti
- Hasta, baston kullanmadan günlük yaşantısına döndü
Görsel Açıklamaları

İşlem Öncesi MR:
Kemik ve kalça ekleminde yaygın ödem

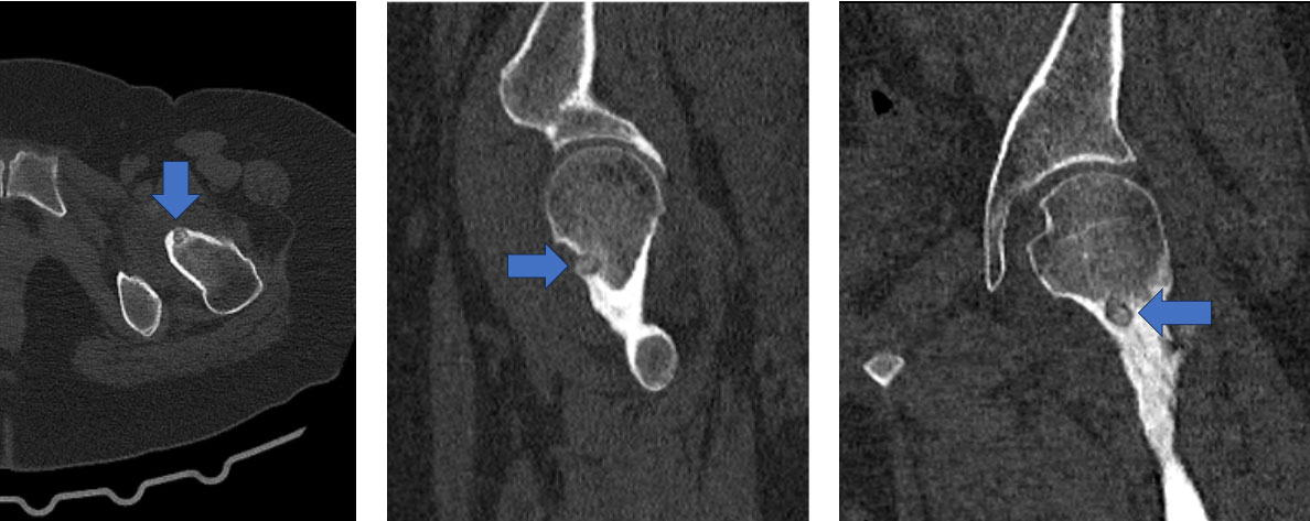
İşlem Öncesi Tomografi Kesitleri:
Nidus ve çevreleyen skleroz

İşlem Esnası:
Nidus’un içine prob yerleştirilmesi

İşlem Esnası:
Giriş deliğinin tespiti, ilk giriş ve prob yerleşimi

İşlem Esnası:
Tomografi rehberliğinde giriş deliğinin tespiti, ilk giriş ve probun nidus içine yerleştirilmesi aşamaları görülmekte.

İşlem Esnası:
Tomografi kontrolü ile probun konumunun doğrulanması, yakma işleminin takibi ve işlem sonrası giriş deliğinin görüntüsü yer almakta.

