Radyofrekans Ablasyon
- Gösterim: 18561
Radyofrekans (RF) ablasyon kısaca tümörün görüntüleme eşliğinde yüksek ısıda yakılması işlemidir. Bu yöntemde alternatif akım dokuda ısıya bağlı koagulasyon nekrozu oluşturarak tümör üzerinde eritme/küçültme etkisi gösterir.
Bu amaçla benzer uygulamalar (mikrodalga ablasyon vs) olmakla birlikte en sık RF ablasyon tercih edilmektedir. Hem iyi hem de kötü huylu kemik tümörlerinde uygulanabilmektedir.
Normal şartlarda 60–90 °c sıcaklıkta dokuda koagülasyon nekrozu oluşur ve ideal olarak tümörlü bölgenin 0,5-1 cm ötesine geçecek şekilde koagülasyon nekrozu sağlanmalıdır. Yüksek doku sıcaklığına kısa sürede çıkılması durumunda, ablasyon zonu probun yakın çevresi ile sınırlı kalacak ve radyofrekans enerjisi hedef bölgeye etkili olamayacaktır. Sıcaklık artışının kontrollü ve yavaşça sağlanması etkili bir ablasyon zonu sağlanabilmesi için önemlidir.

Radyofrekans Ablasyon Uygulamasının Avantajları
RF ablasyonun en büyük avantajı kapalı bir yöntem olup morbiditesi yani riskleri düşüktür ve hastanın işlem sonrası uzun süre hastanede kalması gerekmez. Bu genel durumu çok iyi olmayan ve açık cerrahiyi tolere edemeyecek metastaz hastalarında hayati öneme sahiptir. Ayrıca bu uygulama ile tümöre bağlı ağrı da çok hızlı ve etkili azalma elde edilir. Ağrı da azalma birkaç farklı etki (duysal sinir liflerini fiziki olarak yıkıma uğratarak, tümör volümünü azaltarak, tümör hücrelerinden salınan sinir uyarıcı kimyasal faktörleri azaltarak ve ağrıya neden olan kemik yıkımını azaltarak) ile elde edilir.
RF ablasyonun bir diğer avantajı da radyoterapiye dirençli kemik metastazlarında (böbrek, tiroid, küçük hücreli dışı akciğer vs.) yüksek düzeyde tümör kontrolü elde edebilmesidir. Ayrıca RF ablasyon sonrası uygulanacak radyoterapi ile daha etkin sonuçlar elde edebiliriz.
Radyofrekans Ablasyon Uygulaması
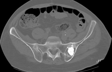
Bu yöntem hassas ve ağrılı bir işlem olduğu için görüntüleme eşliğinde (sıklıkla tomografi (özellikle osteoid osteoma uygulamalarında) nadiren floroskopi dediğimiz portabl röntgen eşliğinde) ve anestezi altında (lokal değil spinal/epidural ya da genel anestezi) uygulanmaktadır.
RF ablasyon işlemi çok spesifik olup özellikle kemik ve yumuşak doku tümör cerrahisi ile ilgilenen ortopedi hekimi ya da girişimsel radyologlar tarafından yapılmaktadır.
İşlem öncesi hastanın tanısının kesinleştirilmesi ve giriş yeri (özellikle damar-sinir gibi yapılara zarar vermemek için) ile yakma süresi ve derecesinin planlanmasının hayati önemi vardır. Ayrıca tümörün büyüklüğüne göre özellikle etki alanı açısından elektrot boyutu, tipi (navigasyonlu elektrot kullanımı ile tek giriş yerinden tümörün farklı bölgelerini yakma imkanı elde edebiliriz. Bu özellikle omurga metastazlarında ve büyük lezyonlarda bize avantaj sağlar) ve sayısı (>3 cm tümörlerde 2 faklı elektrot) belirlenmeli.
Enfeksiyon gelişmesini önlemek için işlem steril şartlarda yapılır ve öncesinde tek doz antibiyotik (sefazol 1 gram) uygulanır. İşleme bağlı ağrıyı azaltmak için ablasyon bittikten sonra giriş yerine lokal anestezi uygulanabilir.
İşlem esnasında patoloji örneği alınabilir. Bu özellikle metastatik hastada sonrasında uygulanacak olan tedavinin planlamasında (akıllı ilaç için reseptör tespiti vs) yardımcı olabilmektedir.
İyi Huylu Kemik Tümörlerinde Radyofrekans Ablasyon Uygulaması
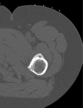
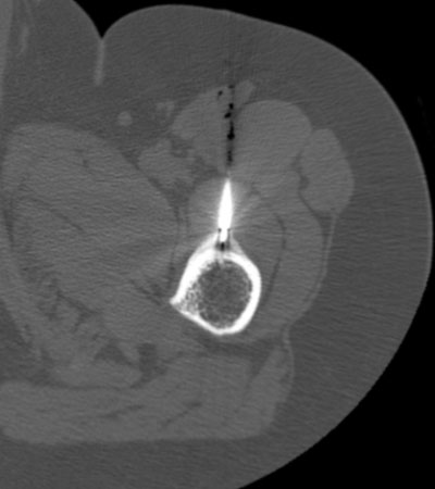
İyi huylu kemik tümörlerinde en sık Osteoid osteoma da tercih edilmektedir. Ayrıca nadiren osteoblastom, kondroblastom, eozinofilik granülom ve intraosseoz hemanjiom vakalarında da uygulanmaktadır.
Özellikle kalça çevresi ve uyluk gibi derin yerleşimli osteoid osteoma vakalarında açık cerrahi ile tümörün tespiti zor olabileceği için atlama riski vardır. Ayrıca açık cerrahi ile yara problemi ve kemikte oluşacak harabiyete bağlı kırık riski yüksektir. Osteoid osteoma da RF ablasyon işlemi tomografi altında yapılacağı için atlanma riski yok denecek kadar azdır ve kapalı bir işlem olduğundan (<1cm) yara sorunu son derece nadirdir.
Elektrotun osteoid osteomada nidusa en yakın yere diğer iyi huylu tümörlerde ise tümörün merkezine yerleştirilmesi işlemin etkisi ve tedaviye yanıtı açısından son derece önemlidir. İşlem esnasında ısı kademeli olarak 90 dereceye kadar artırılıp 6-7 dakika süreyle yakma işlemi gerçekleştirildikten sonra tekrar kademeli olarak düşürülür.
Kötü Huylu Kemik Tümörlerinde Radyofrekans Ablasyon Uygulaması
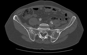
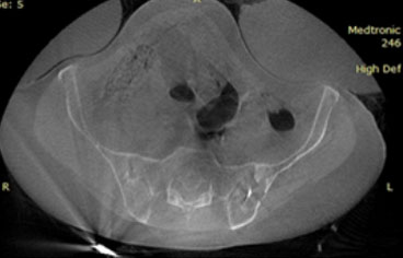
Kötü huylu kemik tümörlerinde ise sıklıkla kemik metastazı dediğimiz başka bir organdan kaynaklanan kanserin kemiğe sıçradığı durumlarda tercih etmekteyiz.
RF ablasyon işlemi bittikten sonra aynı giriş kanülünden kapalı çimento uygulaması özellikle omurga (vertebra) ve pelvis/asetabulum metastazlarında mekanik ve ağrı açısından ekstra avantaj sağlar. RF ablasyon çimentonun kemik içerisine daha homojen yayılmasına olanak sağlar. Bu yöntem kırık gelişmiş ya da kırık riski olan omurga kemiklerine (instabilite ve ciddi omurilik basısı durumunda önerilmez) uygulanabilir. Ablasyon işleminin tamamlanmasının ardından kemik çimento enjeksiyonu uygulanacak ise, doku ısısının düşmesi ve aşırı ısınmaya bağlı hasar gelişme ihtimalini önlemek amacıyla yaklaşık 15 dakika beklenmesi gerekir.
Radyofrekans Ablasyon Uygulamasının Riskleri
- Her cerrahi işlem gibi RF ablasyon uygulamasının da riskleri vardır.
- Nadir de olsa özellikle yük taşıyan kemiklerde RF ablasyon sonrası (geniş giriş deliği ve ablasyon alanı riski artırır) kırık gelişme riski olduğundan bazı hastalarda işlem sonrası 1-3 ay süreyle ağır aktivitelerden ve temas sporlarından (futbol, basket, dövüş sporları vs) kaçınılması önerilir.
- Osteoid osteomanın RF ablasyon tedavisinde %95’lere varan başarı oranı bildirilmiş olup yetersiz yakmaya bağlı tekrarlama (nüks) gelişebilir. Bu durumda tekrar ablasyon yapılması önerilmiştir. İkinci RF uygulamasına rağmen sonuç alınamıyorsa açık cerrahi uygulanabilir.
- RF ablasyonun bir diğer nadir görünen riski de giriş yerinde cilt yanıklarıdır. Bu risk özellikle kemiğin cilde yakın olduğu bölgelerde (kaval kemiği, el kemiği vs) daha yüksektir. Soğutmalı sistem kullanılması bu riski azaltır.
- Bir diğer komplikasyon da geçici ya da kalıcı sinir hasarıdır. Hem cilt nekrozu hem de sinir hasarı riskini önlemek için tümörün yerleştiği yere göre farklı açılarda girişler seçebilmekteyiz. RF elektrodunun sinir yapılarına 1 cm kadar uzak olmasına dikkat etmeliyiz. Riskli bölgelerde sinir yapıları ile elektrot arasına karbondioksit ya da iyonize olmayan sıvı enjekte ederek (hidrodiseksiyon) ısıya bağlı sinir yaralanma riskini düşürebiliriz. Ayrıca, uygulama setinde rutin bulunan ısı duyargaçları (thermocouples) ile hedef sıcaklığın üzerine çıkıldığında sistemin otomatik olarak kapanması sağlanabilmektedir. Benzer şekilde ekleme yakın uygulamalarda kıkırdak hasarı gelişebilir ve bu risk nedeniyle yukarıda tarif edilen önlemler alınabilir.
- Kanama (hemoraji), solid organ (karaciğer vs) uygulamaları ile kıyaslandığında son derece nadir görülen bir komplikasyondur. Yine de vasküler tümörlerde (özellikle tiroid ya da böbrek kanser metastazı) hemoraji olabileceği göz önünde tutulmalıdır.
Radyofrekans Ablasyon Uygulamasında Dikkat Edilmesi Gereken Durumlar
- Osteoblastik kemik metastazı yapan kanserlerde (örn: prostat) ve kemiğin dışına yayılan büyük yumuşak doku kitlesinin eşlik ettiği tümörlerde uygulanması önerilmemekte. Bu iki durumda mikrodalga ablasyon ya da kirioablasyon (soğutma) önerilmekte.
- Monopolar elektrodların kalp pili (pacemaker) ve metalik implant varlığında kullanılması önerilmez. Bu iki durumda bipolar elektrod kontrollü bir şekilde kullanılabilir.
- RF ablasyon, lokal enfeksiyon ve kontrolsüz kanama bozukluğu (koagülopati) varlığı durumunda uygulanmamalıdır.















