Vaka 39: Ayak Bileği (Distal Tibia) Yerleşimli Osteosarkom
- Gösterim: 307
Ayak bileği (distal tibia) bölgesinde yerleşimli osteosarkom tanısı alan kadın hastamızda, tümörün tamamen çıkarılmasının ardından sıvı azot yöntemiyle geri kazanım uygulanarak hem fonksiyonel hem de estetik açıdan başarılı bir rekonstrüksiyon sağlanmıştır.
Hasta Bilgileri:
Kadın hasta, ayak bileği çevresinde ağrı ve şişlik şikayetleriyle başvurdu. Yapılan radyolojik tetkikler ve biyopsi sonucunda distal tibia yerleşimli osteosarkom tanısı konuldu. Taramalarında metastaz saptanmadı ve cerrahi tedavi planlandı.
Tedavi:
Hastaya geniş rezeksiyon uygulanarak tümörlü kemik dokusu çıkarıldı. Ardından, çıkarılan kemik parçası sıvı azot ile geri kazanım işlemine tabi tutuldu ve yeniden anatomik pozisyonuna yerleştirilerek fiksasyon sağlandı. Bu yöntem, hem biyolojik bütünlüğü koruma hem de ekstremite fonksiyonlarını sürdürme açısından tercih edilmiştir.
Sonuç:
Ameliyat sonrası dönemde hastada komplikasyon gelişmemiştir. Fonksiyonel sonuçlar başarılı olup, hasta yara iyileşmesini takiben onkolojik ve fizik tedavi sürecine yönlendirilmiştir.
Görsel Açıklamaları
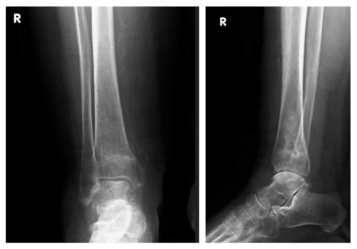
Ameliyat Öncesi: Röntgende distal tibiada düzensizlik görülmekte.

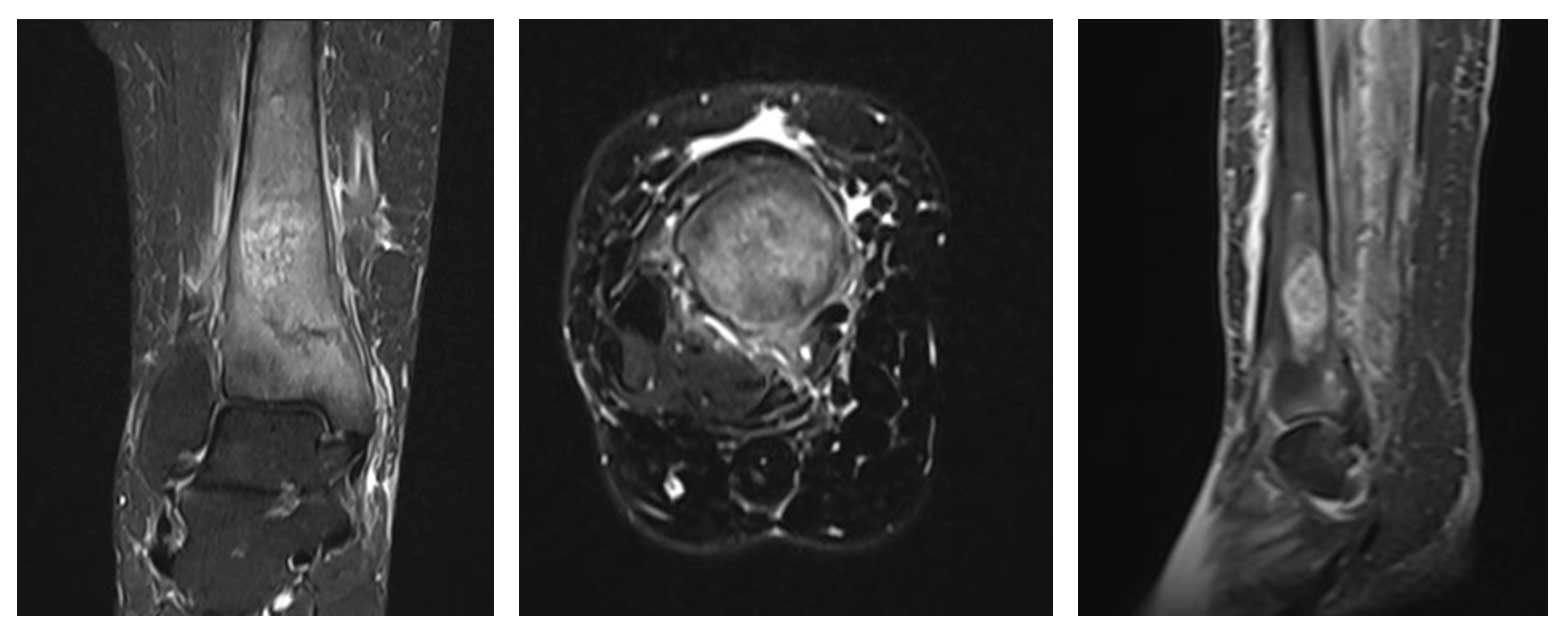
Ameliyat Öncesi: MR’da aynı lokalizasyonda tümör dokusu ve çevreleyen yaygın ödem görülmekte.
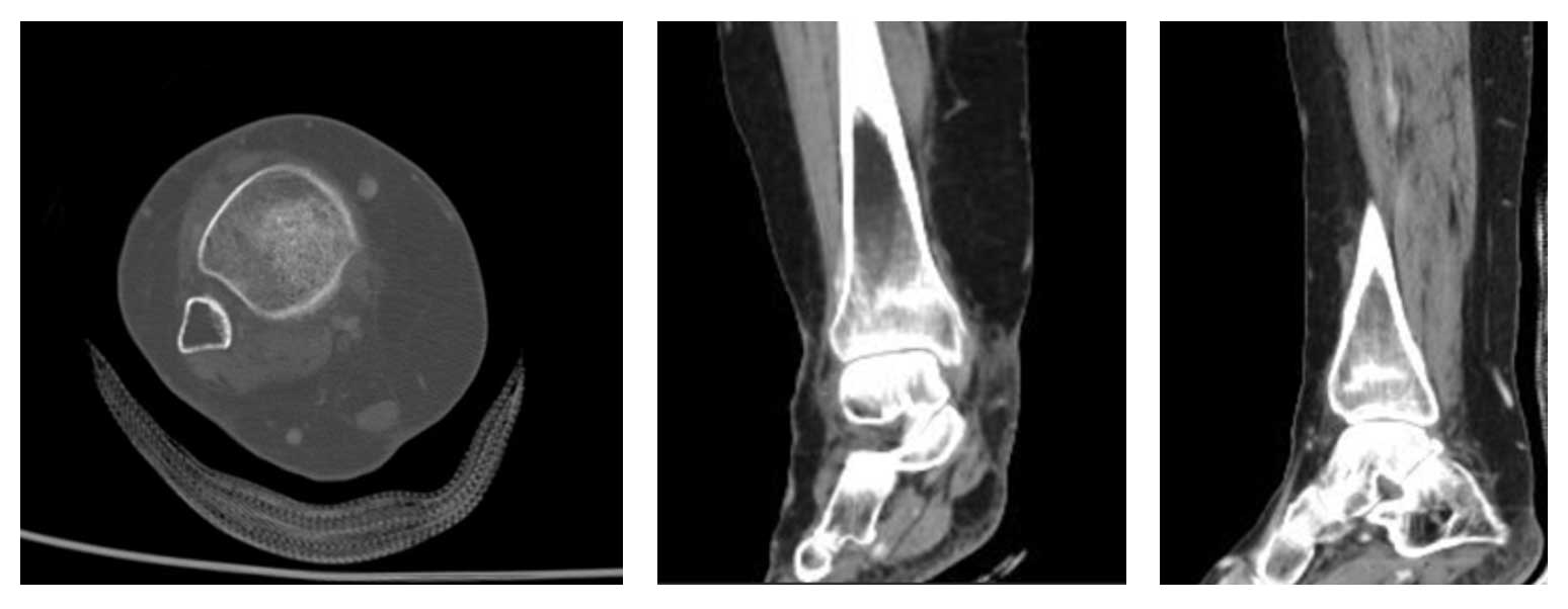
Ameliyat Öncesi: Tomografide sklerotik lezyon ve periost reaksiyonu görülmekte.
Ameliyat Esnası: Çıkarılan tümör dokusunun klinik görüntüsü.

Ameliyat Sonrası: Geri kazanılan distal tibianın fiksasyonu görülmekte.


