Vaka 30: Kalça (Proksimal Femur) Yerleşimli Kondrosarkom
- Gösterim: 154
ChatGPT:
Detaylı Hasta Bilgileri ve Tedavi Süreci
Hasta Bilgileri
-
Genç erkek hasta
-
Proksimal femur bölgesinde ağrı ve yürüme güçlüğü şikayetleri mevcut
-
Radyolojik tetkiklerde proksimal femur yerleşimli kitle saptandı
-
Biyopsi sonucu kondrosarkom olarak doğrulandı
Uygulanan Tedavi
Tümörlü proksimal femur bölgesi geniş rezeksiyon ile çıkarıldı. Ardından hastanın fonksiyonel mobilitesini korumak için tümör protezi ile rekonstrüksiyon gerçekleştirildi.
Sonuç
Tümör cerrahi sınırlar içinde tamamen çıkarıldı. Protez sonrası hasta erken dönemde güvenle yürütüldü ve yakın takip programına alındı.
Görsel Açıklamaları
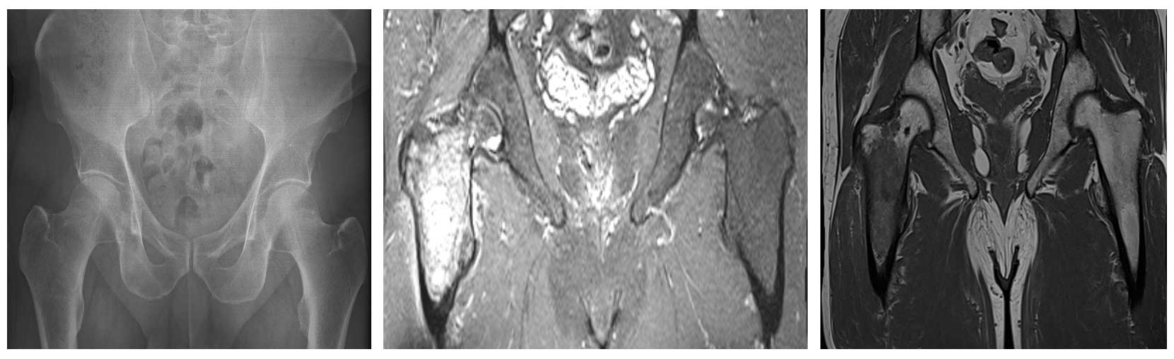
Ameliyat Öncesi: Röntgende litik lezyon, MR’da düzensiz sınırlı heterojen kitle ve çevreleyen ödem görülmekte. 
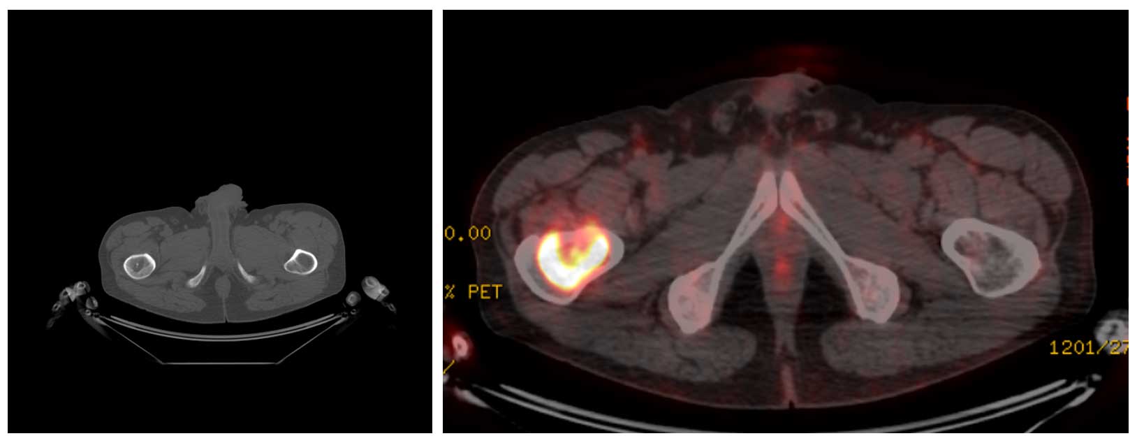
Ameliyat Öncesi: PET-CT’de kıkırdak içerik ve artmış aktivite görülmekte.
Ameliyat Esnası: Çıkarılan tümör dokusunun klinik görüntüsü.

Ameliyat Sonrası: Röntgende rezeksiyon sonrası uygulanan tümör protezi görülmekte.


