Vaka 18: Topuk (Kalkaneus) Yerleşimli Ewing Sarkom
- Gösterim: 158
ChatGPT:
Detaylı Hasta Bilgileri ve Tedavi Süreci
Hasta Bilgileri
- Genç kadın hasta.
- Topuk (kalkaneus) yerleşimli Ewing sarkom tanısı mevcut.
- Kemoterapi sonrası cerrahi planlandı.
Uygulanan Tedavi
- Neoadjuvan kemoterapiyi takiben kalkanektomi yapıldı.
- Alınan kemik dokusuna sıvı azot ile geri kazanım uygulandı ve yeniden yerleştirildi.
Sonuç
- Cerrahi başarıyla tamamlandı.
Görsel Açıklamaları
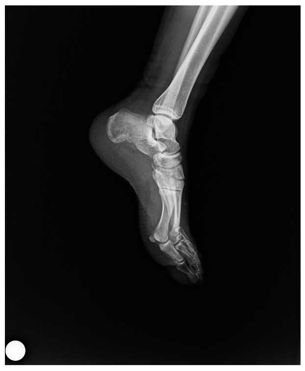
Ameliyat Öncesi: Röntgende Kalkaneus’ta düzensizlik ve harabiyet görülmekte.
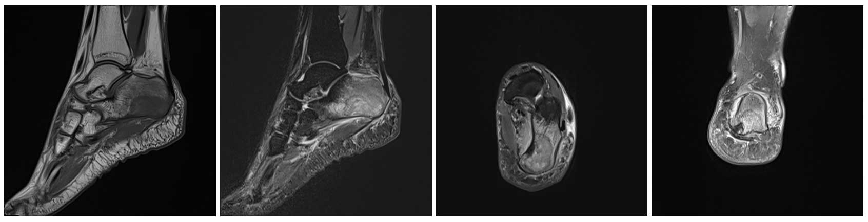
Ameliyat Öncesi: MR’da Kalkaneus inferomedial yerleşimli heterojen tümör dokusu ve çevreleyen ödem görülmekte.
Ameliyat Esnası: İnsizyon hattı ve Kalkanektomi sonrası oluşan boşluk görülmekte.

Ameliyat Esnası: Çıkarılan tümörlü Kalkaneus’un klinik görüntüsü.

Ameliyat Esnası: Tümörün küretaj sonrası Kalkaneus’un klinik ve skopi görüntüsü.

Ameliyat Esnası: Sıvı azot ile geri kazanım sonrası Kalkaneus’ta oluşan boşluğun çimento ile doldurulmasını takiben önce geçiçi K telleri ile sonra kanüle vidalar ile artrodez işleminin yapılması.

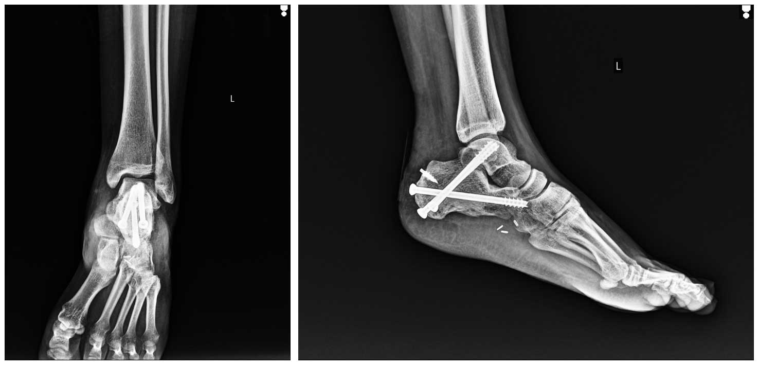
Ameliyat Sonrası: Röntgende geri kazanılıp içi çimento ile doldurulan Kalkaneus’un kanüle vidalar ile artrodez yapılması ve aşil tendon stürü için anchor yerleşimi görülmekte.


