Vaka 53: Malign Melanom Tibia Metastazına Bağlı Patolojik Kırık ve Cerrahi Tedavi
- Gösterim: 240
ChatGPT:
Detaylı Hasta Bilgileri ve Tedavi Süreci
Hasta Bilgileri:
-
66 yaş kadın hasta
-
Malign melanom nedeniyle tedavi görme hikayesi mevcut
-
2 aydır artan sol bacak ağrısı ve yürüyüş güçlüğü şikayeti
-
Taramalarda yalnızca tibia kemiğinde metastaz saptandı
Tanı:
-
Sol tibia: metastaz nedeniyle patolojik kırık riski
Uygulanan Tedavi:
-
Tibia kemiğinin tümörlü kısmının çıkarılması (geniş rezeksiyon)
-
Oluşan boşluğun yeniden yapılandırılması: titanyum çivi + mesh + kemik çimentosu + kas flebi ile rekonstrüksiyon
-
Ameliyat başarıyla tamamlandı, kemik stabilitesi sağlandı
Sonuç:
Ameliyat sonrası hasta güvenle ayağı üzerine basarak yürütüldü ve sorunsuz taburcu edildi. İkinci haftada dikişleri alınarak radyoterapiye yönlendirildi.
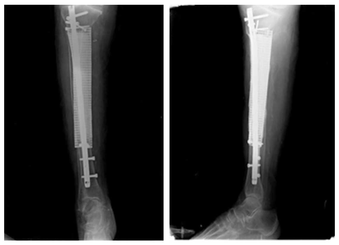
Görsel Açıklamaları
Ameliyat Öncesi: Röntgen ve MR’da sağ kaval kemiği orta bölgede metastaza bağlı harabiyet ve çevreleyen ödem görülmekte.

Ameliyat Esnası: Kemiğin tümörlu kısmının çıkarılması, çivi, mesh, çimento ve kas flep uygulanımı görülmekte.

Ameliyat Sonrası: Röntgende kemiğin tümörlü kısmının çıkarıldığı oluşan boşluğun titanyum mesh ve kemik çimentosu ile doldurulması ve titanyum çivi uygulanımı görülmekte.


