VAKA 95: Ayak Taban Yerleşimli Sinovyal Sarkom
- Gösterim: 79
Ayak taban kısımda şişlik ve ağrı şikayeti ile başka bir merkeze başvuran ve topuk dikeni ön tanısı ile enjeksiyon tedavisi uygulanan hastanın zamanla şikayetinin artması üzerine tarafımıza başvurdu.Hastanın yapılan muayenesi ve radyoloji tetkiklerinde yumuşak doku kitlesi saptanması üzerine uygulanan iğne biyopsisinde yumuşak doku sarkomu (Sinovyal sarkom) tanısı konuldu. Mevcut tümörün büyüklüğü ve yaygınlığı nedeniyle diz altı amputasyon ameliyatı uygulandı.
Ameliyat Öncesi: Başvuruda çekilen röntgende kalkaneusta ciddi harabiyete neden olan kitle ve klinik olarak ciddi şişlik görülmekte

Ameliyat Öncesi: Biyopsi lokalizasyonunun skopide belirlenmesi ve biyopsi traktı görülmekte

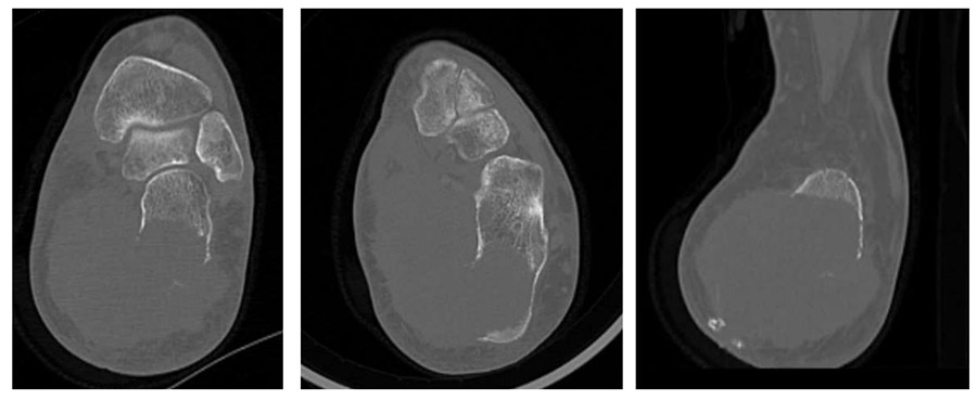
Ameliyat Öncesi: Tomografide kalkaneusta ciddi harabiyete neden olan yumuşak doku kitlesi görülmekte

Ameliyat Öncesi: MR’da kalkaneusta ciddi harabiyete neden olan sınırları düzensiz, heterojen büyük yumuşak doku kitlesi görülmekte

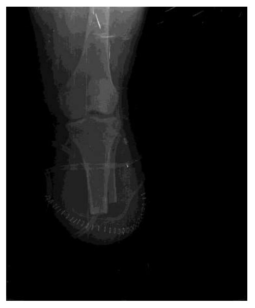
Ameliyat Sonrası: Röntgende diz altı amputasyon uygulandığı görülmekte


