Vaka 13: Kalça Yerleşimli Ekstraskeletal Ewing Sarkom
- Gösterim: 127
ChatGPT:
Detaylı Hasta Bilgileri ve Tedavi Süreci
Hasta Bilgileri
- Genç kadın hasta.
- Kalça yerleşimli, iskelet dışı (ekstraskeletal) Ewing sarkom tanısı mevcut.
Uygulanan Tedavi
- Kemoterapiyi takiben geniş rezeksiyon gerçekleştirildi.
- Cerrahi sonrası TFL kas flebi ile rekonstrüksiyon uygulandı.
Sonuç
- Cerrahi işlem planlandığı şekilde tamamlandı.
- Hasta, ameliyat sonrası dönemde uygun takip programına alındı.
Görsel Açıklamaları
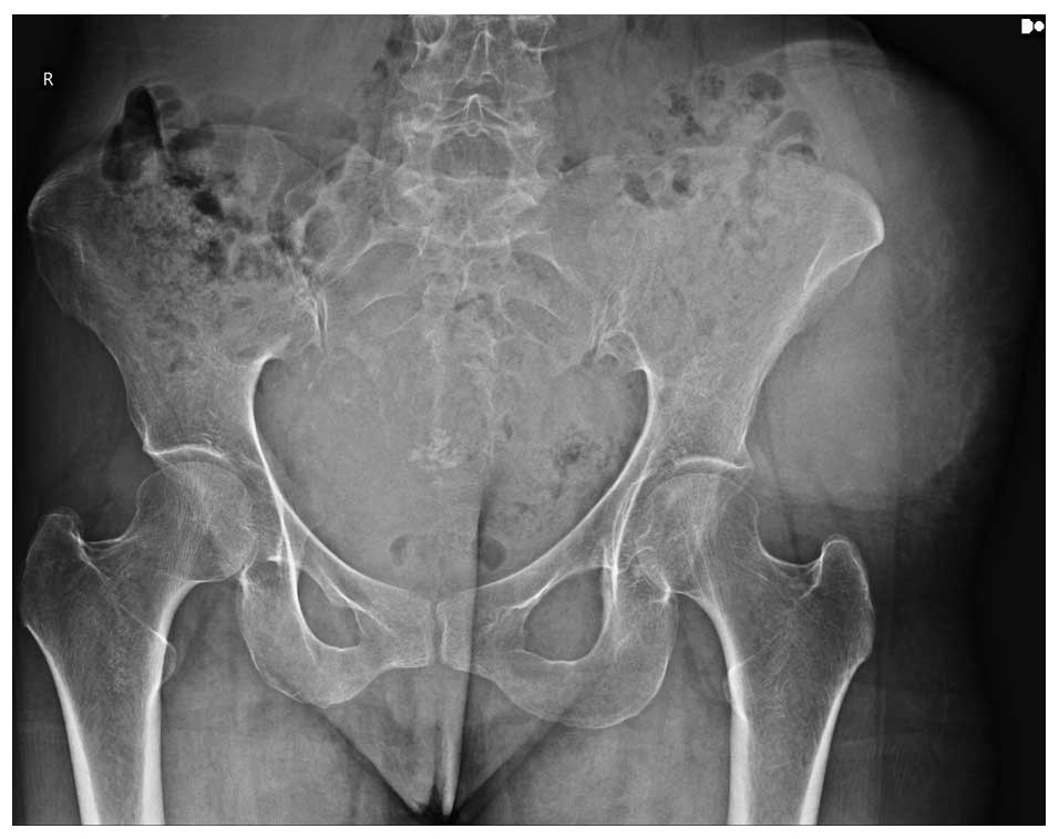
Ameliyat Öncesi: Röntgende yumuşak doku gölgesi görülmekte.
Ameliyat Öncesi: MR’da sağ gluteal bölgede düzensiz sınırlı heterojen büyük boyutlu tümör dokusu görülmekte.
Ameliyat Öncesi: PET-CT’de artmış yoğun aktivite görülmekte.

Ameliyat Esnası: İnsizyon hattının belirlenmesi ve tümör eksizyonu sonrası oluşan boşluk görülmekte.

Ameliyat Esnası: Çıkarılan tümörün klinik görüntüsü.

Ameliyat Esnası: Uygulanan TFL flep görülmekte.


