Vaka 42: Bacak (Fibula+Tibia) Yerleşimli Osteosarkom
- Gösterim: 364
Fibuladan kaynaklanıp tibiayı da invaze eden osteosarkom tanısı alan kız çocuğu hastamızda, kemoterapi sonrası gerçekleştirilen geniş rezeksiyon ve tümör protezi ile bacağın fonksiyonel yapısının korunması hedeflenmiştir.
Hasta Bilgileri:
Kız çocuğu hasta, fibula kökenli ve tibia kemiğine yayılım gösteren osteosarkom tanısıyla kemoterapi tedavisini tamamladıktan sonra cerrahi rekonstrüksiyon amacıyla kliniğimize başvurdu.
Tedavi:
Hastaya kemoterapi sonrası geniş rezeksiyon uygulandı. Tümörlü alan çıkarıldıktan sonra proksimal tibia tümör protezi ile rekonstrüksiyon gerçekleştirildi. Yumuşak doku bütünlüğü ve dolaşımın korunması için gastroknemius ve soleus kas flepleri kullanılarak cerrahi alan yeniden yapılandırıldı.
Sonuç:
Ameliyat sonrası süreç sorunsuz ilerlemiş, hastanın bacak fonksiyonları ve eklem hareket açıklığı korunmuştur. Hasta, yara iyileşmesini takiben onkolojik takip ve rehabilitasyon sürecine alınmıştır.
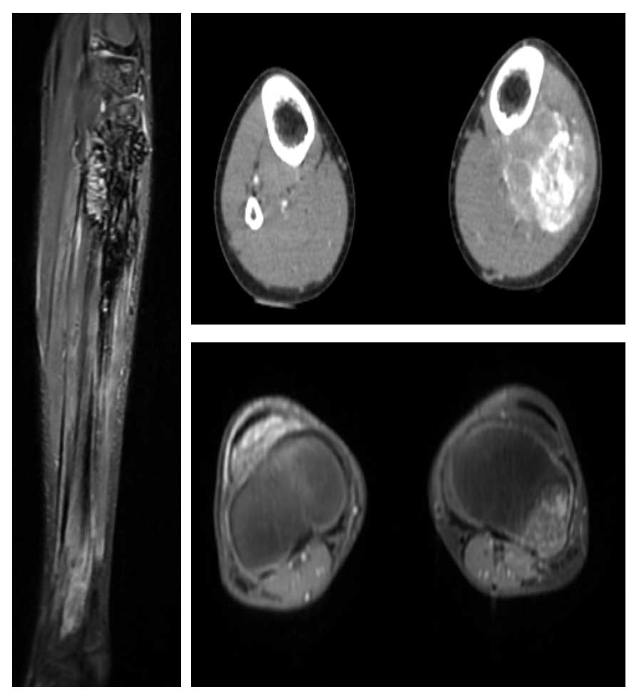
Görsel Açıklamaları
Ameliyat Öncesi: Röntgende fibulanın tamamına yakınında yıkıma neden olan, BT anjiografide yoğun damarlanmanın eşlik ettiği kitle.

Ameliyat Öncesi: MR ve Tomografide fibulada harabiyet, yumuşak dokuya uzanım gösteren düzensiz sınırlı kitle, çevreleyen ödem ve tibiada invazyon görülmekte.
Ameliyat Esnası: İnsizyon hattı, patellar tendonun uygulanan proteze dikilmesi ve kas (gastroknemus ve soleus) flebi ile örtüm görülmekte.

Ameliyat Esnası: Çıkarılan tümör dokusunun klinik ve skopi görüntüsü.


