Vaka 45: Böbrek (Renal Hücreli) Kanseri Diz (Distal Femur) Metastazına Bağlı Patolojik Kırık
- Gösterim: 182
ChatGPT:
Detaylı Hasta Bilgileri ve Tedavi Süreci
Hasta Bilgileri:
-
77 yaş kadın hasta
-
Sağ dizde yaklaşık 3 aydır devam eden ağrı, son 1 haftada yürümede belirgin güçlük oluşturmuş
-
8 yıl önce renal hücreli kanser (RCC) nedeniyle nefrektomi hikayesi mevcut
-
Taramalarda ek metastaz odağı saptanmadı
-
Yapılan iğne biyopsisi ile böbrek kanseri metastazı teyit edildi
Uygulanan Tedavi:
-
Metastatik tutulumun distal femur eklem yüzeyini bozması ve kırığa neden olması nedeniyle tümörlü kemiğin çıkarılması (rezeksiyon) yapıldı.
-
Ardından bölge tümör protezi ile yeniden yapılandırıldı.
-
İşlem eklem hareketini ve yük taşımayı güvenli şekilde geri kazandırmayı hedefleyen ileri düzey bir rekonstrüksiyon yöntemidir.
Sonuç:
-
Ameliyat sırasında veya sonrasında herhangi bir komplikasyon gelişmedi.
-
Hasta ameliyat sonrası süreçte sorunsuz şekilde mobilize edilerek yürütüldü.
-
Kontrol sonrası önerilerle birlikte sağlıklı şekilde taburcu edildi.
Görsel Açıklamaları

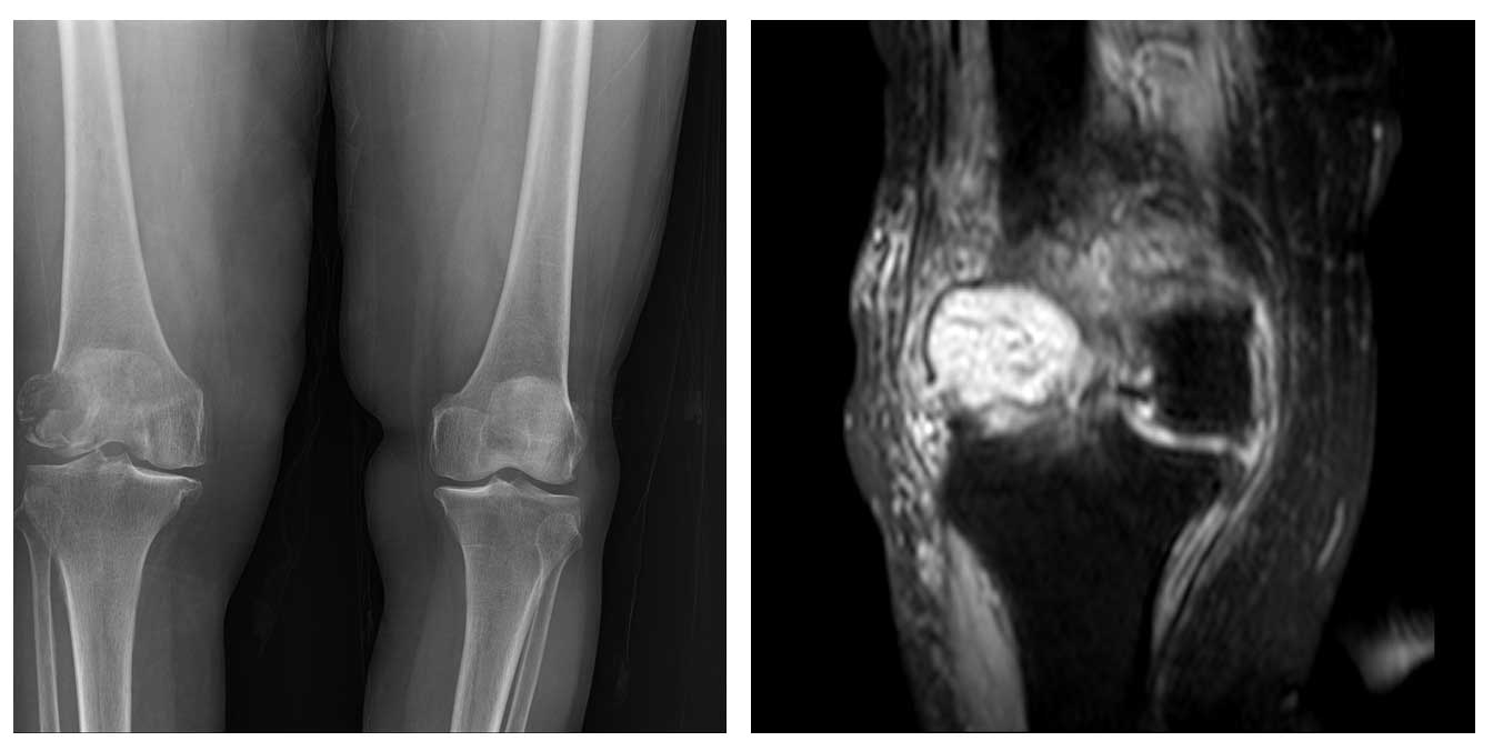
Ameliyat Öncesi: Röntgende sağ distal femur lateralde litik lezyon ve kırık, MR’da tümör dokusu ve yaygın ödem görülmekte.

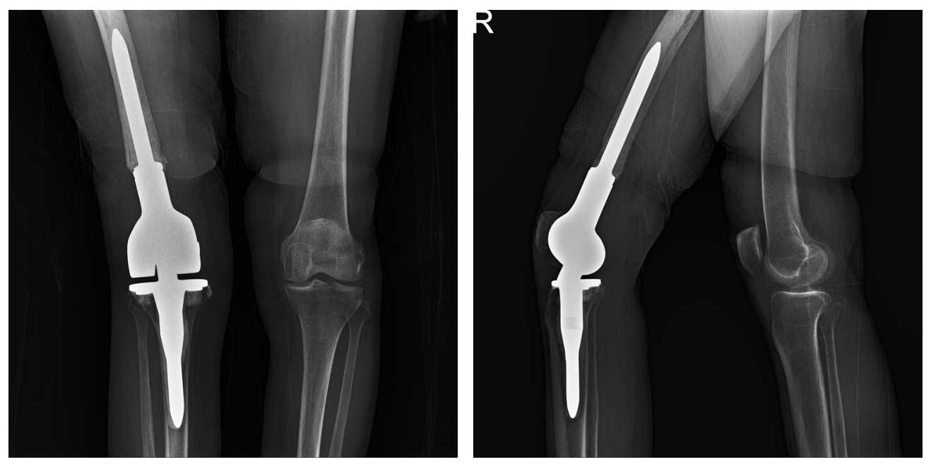
Ameliyat Sonrası: Röntgende rezeksiyon sonrası uygulanmış distal femur tümör protezi görülmekte.

