Vaka 33: Kaval Kemiği (Tibia) Yerleşimli Kondrosarkom
- Gösterim: 211
ChatGPT:
Detaylı Hasta Bilgileri ve Tedavi Süreci
Hasta Bilgileri
-
Genç erkek hasta
-
Tibia ön yüzde ağrı ve aktiviteyle artan hassasiyet şikayeti ile başvurdu
-
Radyolojik incelemelerde tibia yerleşimli Grade I kondrosarkom düşünüldü
-
Kapalı iğne biyopsisi sonucu tanı doğrulandı
Uygulanan Tedavi
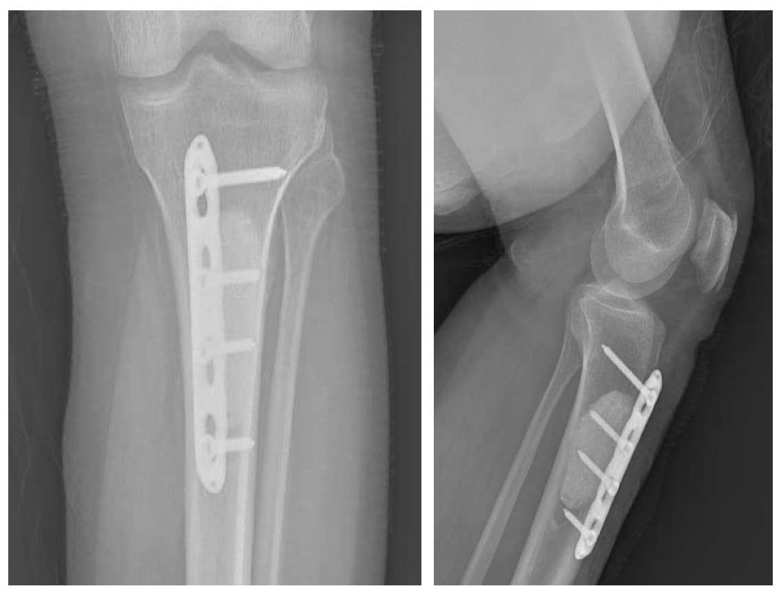
Tümör dokusu agresif küretaj ile temizlendi, oluşan boşluk kemik çimentosu (sement) ile dolduruldu ve stabilite için fiksasyon uygulandı.
Sonuç
Cerrahi işlem sorunsuz tamamlandı. Kemik stabilitesi sağlandı ve hasta kontrollü yük verme protokolü ile takibe alındı.
Görsel Açıklamaları
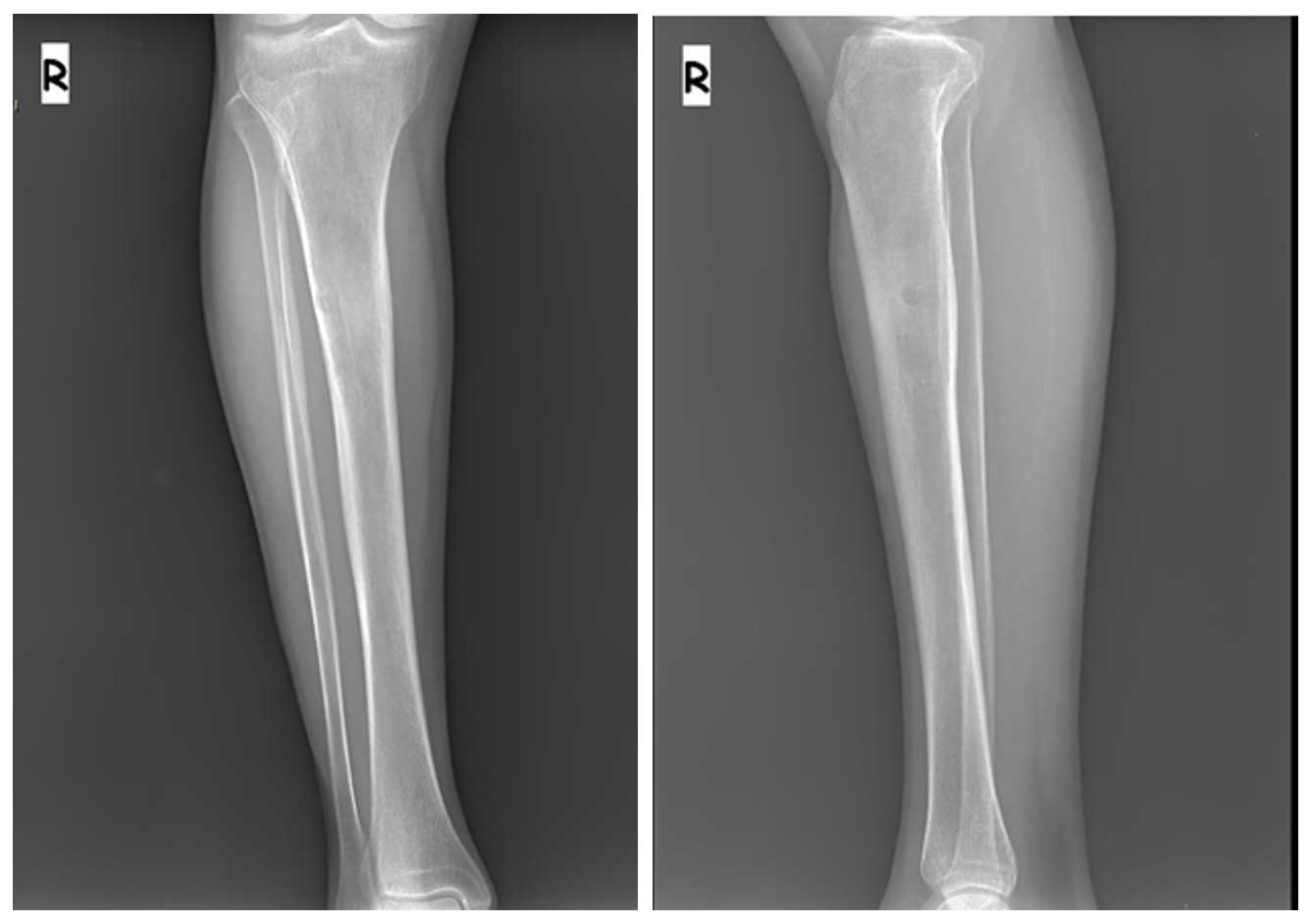
Ameliyat Öncesi: Röntgende proksimal tibiada litik sklerotik kitle görünmekte. 
Ameliyat Öncesi: Tomografide kortekste incelme ve kıkırdak dokusu, MR’da tümörün düzensiz sınırları görülmekte.
Ameliyat Sonrası: Röntgende temizlenen tümör yerine uygulanan kemik çimentosu ve plak ile fiksasyon görülmekte.


