Vaka 11: Pelvis İçi Yerleşimli Ekstraskeletal Ewing Sarkom
- Gösterim: 141
ChatGPT:
Detaylı Hasta Bilgileri ve Tedavi Süreci
Hasta Bilgileri
- Genç erkek hasta.
- Kemoterapi tedavisini tamamlayarak cerrahi için değerlendirildi.
Uygulanan Tedavi
- Kemoterapiyi takiben lezyona yönelik geniş rezeksiyon uygulandı.
Sonuç
- Cerrahi işlem planlandığı şekilde tamamlandı.
- Hastanın takip ve sonraki tedavi süreçleri klinik protokole uygun olarak sürdürüldü.
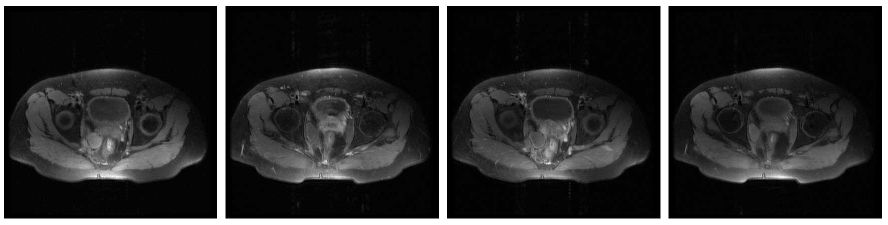
Görsel Açıklamaları
Ameliyat Öncesi: MR’da sağ hemipelvis yerleşimli düzensiz sınırlı heterojen tümör dokusu görülmekte. 
Ameliyat Esnası: İntrapelvik anatomik yapılar görülmekte.
Ameliyat Esnası: Çıkarılan tümör dokusunun klinik görüntüsü.


