Vaka 26: Rahim (Endometrium) Kanseri (Leiomyosarkom) Bel Omurgası (L4) Metastazı Nüksü
- Gösterim: 222
 
67 yaşındaki kadın hastamız, rahim kanseri sonrası gelişen omurga metastazı nedeniyle tekrar bel ve bacak ağrısı ile başvurdu. Yapılan incelemelerde tümör nüksü, kırık ve vidalarda gevşeme saptandı. Hastaya tümörlü ve kırık kemiklerin çıkarılması sonrası bölge kemik çimentosu ve yeni vidalarla güçlendirildi.
Detaylı Hasta Bilgileri ve Tedavi Süreci
Hasta Bilgileri:
- 
67 yaş, kadın
 - 
Rahim kanseri nedeniyle daha önce ameliyat olmuş ve aktif tedavi görmekteydi.
 - 
L4 omurga bölgesine metastaz nedeniyle daha önce ameliyat geçirmişti.
 
Başvuru Şikayetleri:
- 
Tekrarlayan bel ve sol bacak ağrısı
 - 
Yürüme güçlüğü
 
Tanı ve Bulgular:
- 
Yapılan muayene ve görüntülemelerde mevcut vidalarda gevşeme, tümör nüksü ve omurga kırığı saptandı.
 
Uygulanan Tedavi:
- 
Mevcut implantlar çıkarıldı.
 - 
Tümörlü ve kırık kemik parçaları temizlendi.
 - 
Oluşan boşluk kemik çimentosu ile dolduruldu.
 - 
Bölge, yeni vidalama yöntemiyle tekrar güçlendirildi.
 
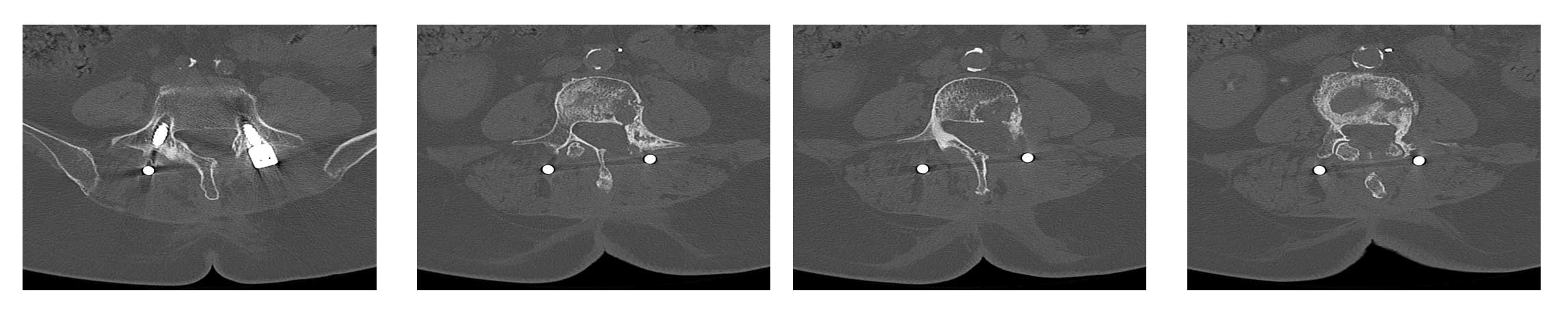
Görsel Açıklamaları
Ameliyat Öncesi: Röntgende L4 vertebrada yeniklik, bir alt ve üst vertebrada vidalama görülmekte
 
Ameliyat Öncesi: Tomografide vidalarda gevşeme ve omurgada kırığın eşlik ettiği harabiyet görülmekte.
Ameliyat Öncesi: MR’da ek olarak tümör nüksü görülmekte.
 
Ameliyat sonrası: Röntgende L4 omurgaya uygulanan çimentolama ve yeniden vidalama işlemi ile güçlendirme görülmekte.



