Vaka 09: Sağ İliak Kanat Yerleşimli Ewing Sarkom
- Gösterim: 97
ChatGPT:
Detaylı Hasta Bilgileri ve Tedavi Süreci
Hasta Bilgileri
- 12 yaş erkek hasta.
- Sağ leğen kemiği üzerinde ağrı ve şişliğe bağlı yürüme güçlüğü şikayeti ile başvurdu.
- İliak kanat yerleşimli kitle saptanması üzerine yapılan iğne biyopsisinde Ewing sarkom tanısı konuldu.
- Taramalarında metastaz saptanmadı.
Uygulanan Tedavi
- Neoadjuvan kemoterapi sonrası internal hemipelvektomi ve fibula ile lumbopelvik fiksasyon kullanılarak rekonstrüksiyon işlemi uygulandı.
Sonuç
- Cerrahi sonrası hasta takip programına alındı.
Görsel Açıklamaları
Ameliyat Öncesi: Röntgende sağ iliak kanatda düzensizlik, tomografide kemik harabiyeti ve periost reaksiyonu görülmekte.
Ameliyat Öncesi: MR’da sağ iliak kanatta yumuşak doku kitlesinin eşlik ettiği tümör dokusu görülmekte.
Ameliyat Esnası: Rezeksiyon sonrası nörovasküler yapıların korunduğu, fibula ve rod/vida ile rekonstrüksiyon uygulanımı görülmekte.

Ameliyat Esnası: Rezeksiyon dokusunun klinik ve skopi görüntüsü.

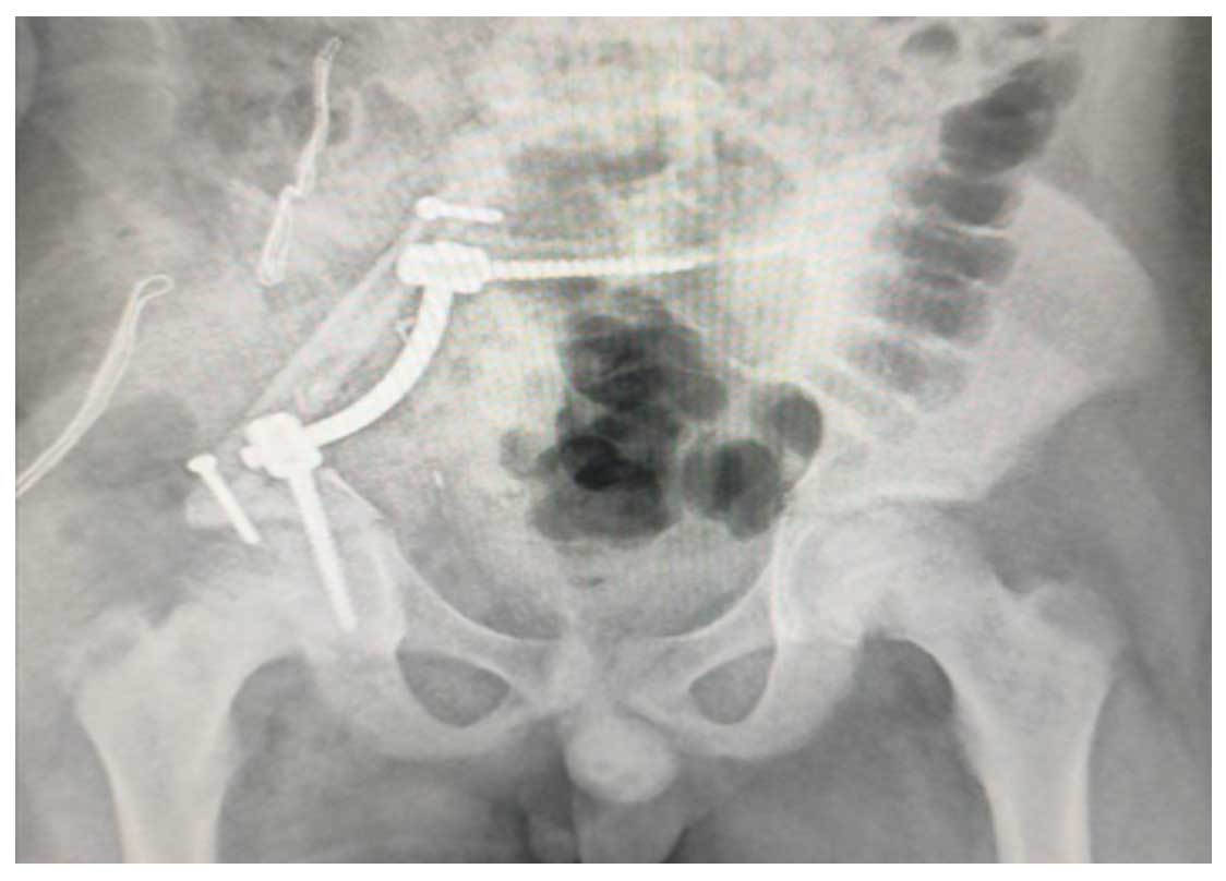
Ameliyat Sonrası: İnternal hemipelvektomi sonrası fibula ve rod/vida ile lumbopelvik fiksasyon uygulanımı görülmekte.


