Vaka 17: Ayak Bileği (Distal Fibula) Yerleşimli Ewing Sarkom
- Gösterim: 127
ChatGPT:
Detaylı Hasta Bilgileri ve Tedavi Süreci
Hasta Bilgileri
- Genç erkek hasta.
- Distal fibula yerleşimli Ewing sarkom tanısı mevcut.
- Kemoterapi tedavisi sonrası cerrahi planlandı.
Uygulanan Tedavi
- Kemoterapiyi takiben geniş rezeksiyon yapıldı.
- Ardından ayak bileği artrodezi uygulandı.
Sonuç
- Cerrahi işlem tamamlandı ve hasta ameliyat sonrası izlem programına alındı.
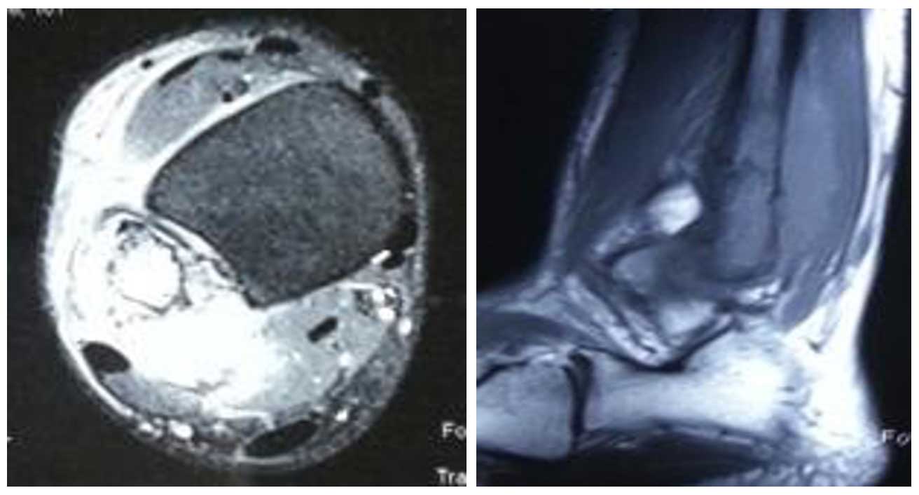
Görsel Açıklamaları
Ameliyat Öncesi: Röntgende distal fibula lateralde periost reaksiyonu ve klinik olarak aynı bölgede şişlik görülmekte.
Ameliyat Öncesi: MR’da aynı lokalizasyonda çevreleyen yumuşak doku kitlesi ve ödem görülmekte.
Ameliyat Sonrası: Röntgende distal fibula rezeksiyonu sonrası ayak bileği artrodez uygulanımı görülmekte.


