Vaka 36: Ayak Bileği (Distal Tibia) Yerleşimli Kondrosarkom
- Gösterim: 158
ChatGPT:
Detaylı Hasta Bilgileri ve Tedavi Süreci
Hasta Bilgileri
-
Erişkin kadın hasta
-
Ayak bileği çevresinde birkaç aydır artan ağrı ve şişlik şikayeti mevcuttu
-
Yürüme sırasında ağrının belirgin şekilde artması nedeniyle başvurdu
-
Yapılan görüntüleme incelemelerinde distal tibia yerleşimli kondrosarkom saptandı
-
Kapalı iğne biyopsisi ile tanı doğrulandı
Uygulanan Tedavi
Tümör dokusu, çevre sağlıklı doku sınırlarıyla birlikte en blok rezeksiyon tekniğiyle çıkarıldı. Rezeksiyon sonrası bölgenin fonksiyonel desteği korunacak şekilde rekonstrüksiyon planlandı.
Sonuç
Ameliyat başarılı şekilde tamamlandı. Hasta ameliyat sonrası dönemde sorunsuz takip edildi ve kontrollü yük verme ile mobilize edildi.
Görsel Açıklamaları
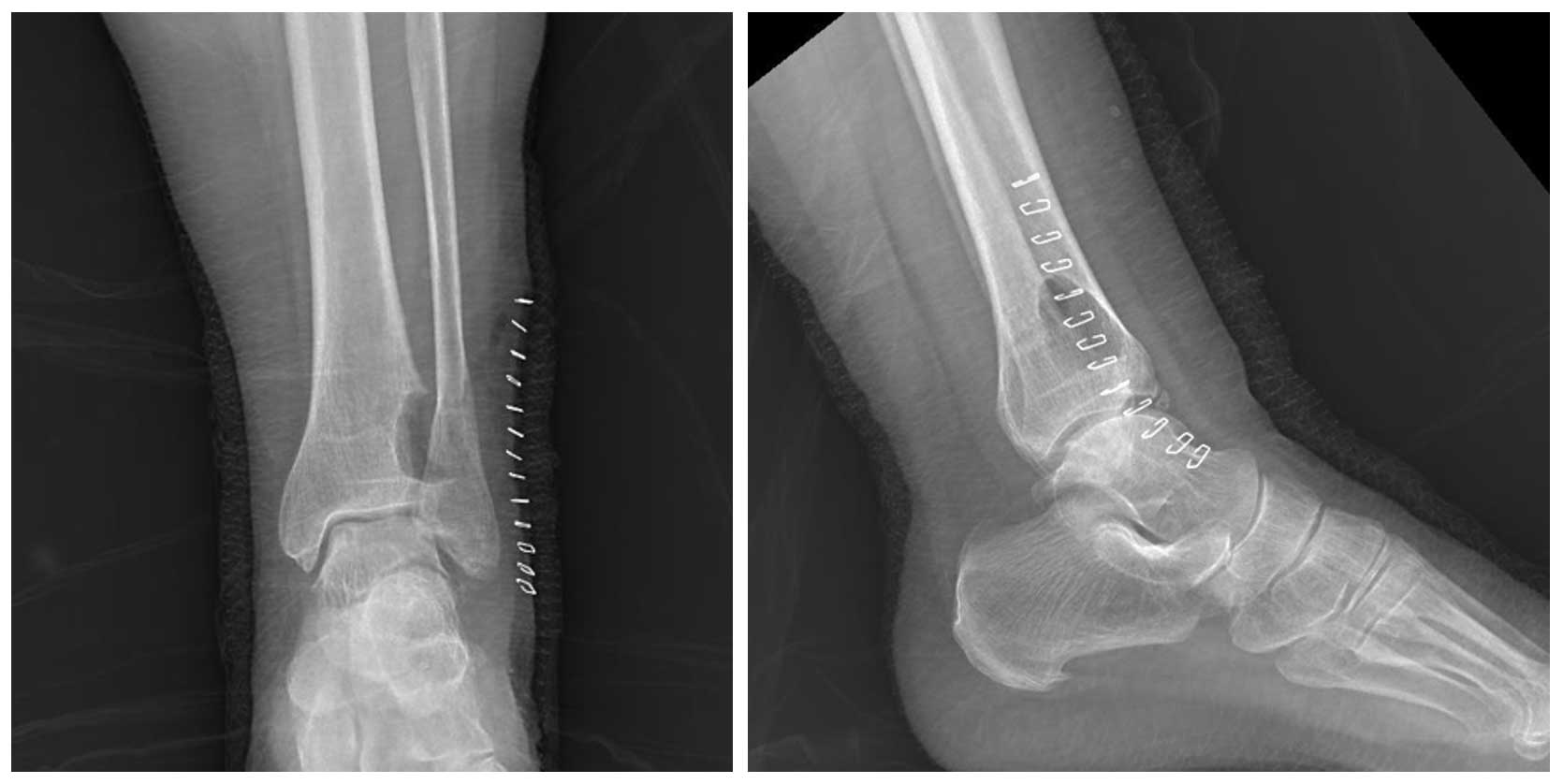
Ameliyat Öncesi: Röntgende distal tibia anterolateralde düzensiz sınırlı kitle görülmekte.

Ameliyat Öncesi: MR’da aynı lokasyonda kemikte destrüksiyona neden olan düzensiz sınırlı heterojen kitle görülmekte.
Ameliyat Esnası: İnsizyon hattı ve kitlenin ortaya konulması görülmekte.

Ameliyat Sonrası: Röntgende kitle çıkarıldıktan sonra oluşan boşluk görülmekte.


