Vaka 52: Tiroid Kanseri Sağ Tibia ve Proksimal Femur Metastazına Bağlı Kırık Riski ve Nüks
- Gösterim: 185
ChatGPT:
Detaylı Hasta Bilgileri ve Tedavi Süreci
Hasta Bilgileri:
-
66 yaş erkek hasta
-
Tiroid kanseri nedeniyle ameliyat ve medikal tedavi öyküsü var
-
Daha önce sağ femur üst uç metastazı nedeniyle titanyum plak ile fiksasyon ameliyatı uygulanmış, şikayetleri tamamen geçmemiş
-
Sağ kaval kemiğinde (tibia) iki aydır mevcut ağrı zamanla artmış ve üzerine basmayı güçleştirmiş
-
Radyolojik tetkiklerinde sağ proksimal femurda implant yetmezliği ve nüks, sağ tibia metastazına bağlı kırık riski saptandı
Tanı:
-
Sağ proksimal femur: nüks/implant yetmezliği
-
Sağ tibia: metastaz nedeniyle impending (yaklaşan) patolojik kırık riski
Uygulanan Tedavi:
-
Sağ proksimal femur: rezeksiyon ve tümör protezi ile yeniden yapılandırma
-
Sağ tibia: küretaj, kapalı çivileme ve çimentolama
-
Ameliyat başarıyla tamamlandı, metastatik alan temizlendi ve kemik stabilitesi sağlandı
Sonuç:
Ameliyat sonrası hasta güvenle ayağı üzerine basarak yürütüldü ve sorunsuz taburcu edildi. İkinci haftada dikişleri alınarak radyoterapiye yönlendirildi.
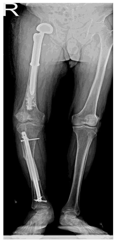
Görsel Açıklamaları
Ameliyat Öncesi: Röntgende sağ proksimal femurda materyal yetmezliği, Tomografide sağ proksimal femurda nüks, MR’da sağ tibiada iki yerde metastaz odağı görülmekte.

Ameliyat Sonrası: Röntgende sağ femur üst uca uygulanan çimentolu tümör protezi ve tibia’da çimentolama ve kapalı çivileme işlemi görülmekte.


