Vaka 16: Ayak Bileği (Distal Tibia) Yerleşimli Ewing Sarkom
- Gösterim: 148
ChatGPT:
Detaylı Hasta Bilgileri ve Tedavi Süreci
Hasta Bilgileri
- Genç kadın hasta.
- Distal tibia yerleşimli Ewing sarkom tanısı mevcut.
- Kemoterapi tedavisini takiben cerrahi planlandı.
Uygulanan Tedavi
- Kemoterapi sonrası geniş rezeksiyon gerçekleştirildi.
- Defekt alanı geri kazanılmış kemik kullanılarak dolduruldu ve ayak bileği artrodezi uygulandı.
Sonuç
- Cerrahi işlem planlandığı şekilde tamamlandı ve hasta ameliyat sonrası yakın takip programına alındı.
Görsel Açıklamaları
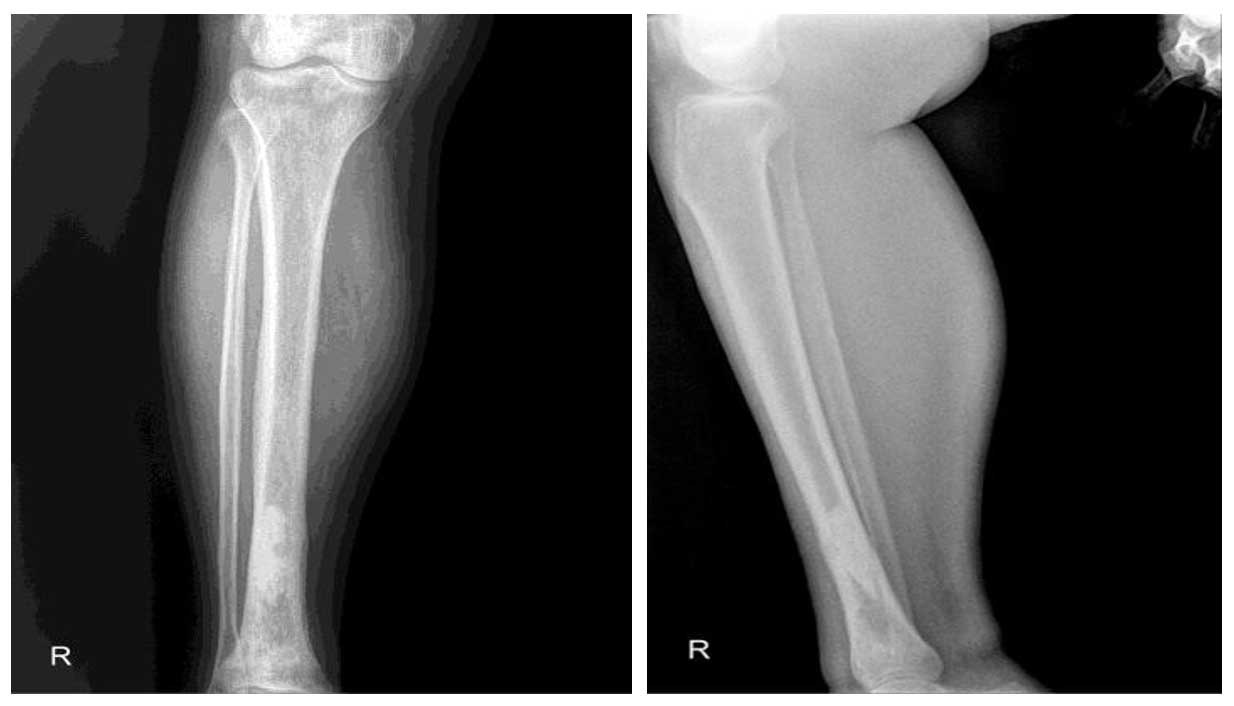
Ameliyat Öncesi: Röntgende distal tibiada düzensizlik görülmekte.
Ameliyat Öncesi: MR’da distal tibia çevresinde çepeçevre saran heterojen yumuşak doku komponenti görülmekte.
Ameliyat Esnası: Geri kazanılan kemiğin yerine yerleştirildikten sonra plak ile fiksasyonu ve yaranın kapatılması görülmekte.

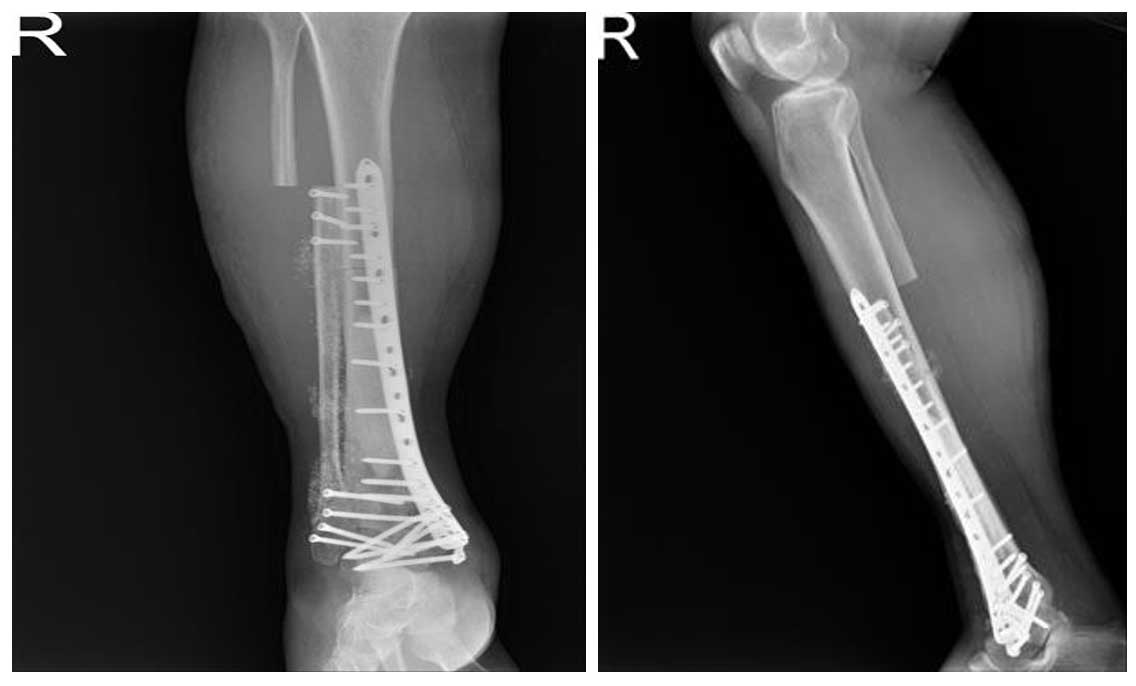
Ameliyat Sonrası: Röntgende ayak bileği artrodezi ile birlikte fibulanın fiksasyonu görülmekte.


