Vaka 39: Ayak Yumuşak Doku Yerleşimli Kondrosarkom
- Gösterim: 214
ChatGPT:
Detaylı Hasta Bilgileri ve Tedavi Süreci
Hasta Bilgileri
-
Erişkin erkek hasta
-
Ayak tabanında kitle, lokal ağrı ve basma sırasında hassasiyet şikayeti ile başvurdu
-
Yapılan MR ve diğer radyolojik incelemelerde yumuşak doku kaynaklı kondrosarkom ile uyumlu lezyon saptandı
-
Tanı kapalı iğne biyopsisi ile doğrulandı
Uygulanan Tedavi
Tümörün ayak yumuşak dokularında ve kemiklere yakın bölgede ilerlemiş olması nedeniyle:
-
Geniş rezeksiyon kapsamında ray amputasyon uygulandı
-
Ardından yumuşak doku rekonstrüksiyonu yapılarak fonksiyonel uyum sağlandı
Sonuç
Ameliyat esnasında ve sonrasında komplikasyon gelişmeyen hasta kontrollü yük verme protokolüyle mobilize edildi ve yakın takip programına alındı.
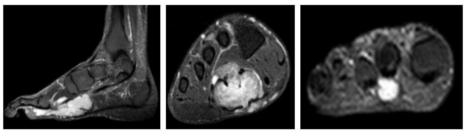
Görsel Açıklamaları
Ameliyat Öncesi: MR’da ayak tabanında yerleşmiş, kemik dokuyu invaze eden düzensiz sınırlı tümör dokusu görülmekte.

Ameliyat Esnası: Çıkarılan tümör dokusunun klinik ve skopi görüntüsü.

Ameliyat Sonrası: Ray amputasyon sonrası tarsometatarsal fiksasyon uygulanımı ve yaranın kapatılması görülmekte.


