Vaka 33: Distal Femur Yerleşimli Osteosarkom
- Gösterim: 248
Genç erkek hastamızda distal femurda gelişen osteosarkom tanısı sonrasında uygulanan cerrahi tedaviyle tümör tamamen çıkarılmış ve modüler tümör protezi kullanılarak diz fonksiyonları korunmuştur.
Hasta Bilgileri:
Genç erkek hasta, diz çevresinde ağrı ve hareket kısıtlılığı şikayetiyle başvurdu. Yapılan radyolojik incelemelerde distal femur yerleşimli osteosarkom saptandı.
Tedavi:
Hastaya kemoterapi süreci tamamlandıktan sonra geniş rezeksiyon gerçekleştirildi. Tümörlü kemik dokusu çıkarılarak eksize edilen alan modüler tümör protezi ile yeniden yapılandırıldı. Bu yöntem sayesinde hastanın diz stabilitesi korunurken fonksiyonel hareket kabiliyeti de devam ettirildi.
Sonuç:
Ameliyat sonrası iyileşme dönemi sorunsuz geçmiş, hastanın yürüme fonksiyonu korunmuştur. Hasta, düzenli onkolojik takip ve fizik tedavi programına yönlendirilmiştir.
Görsel Açıklamaları
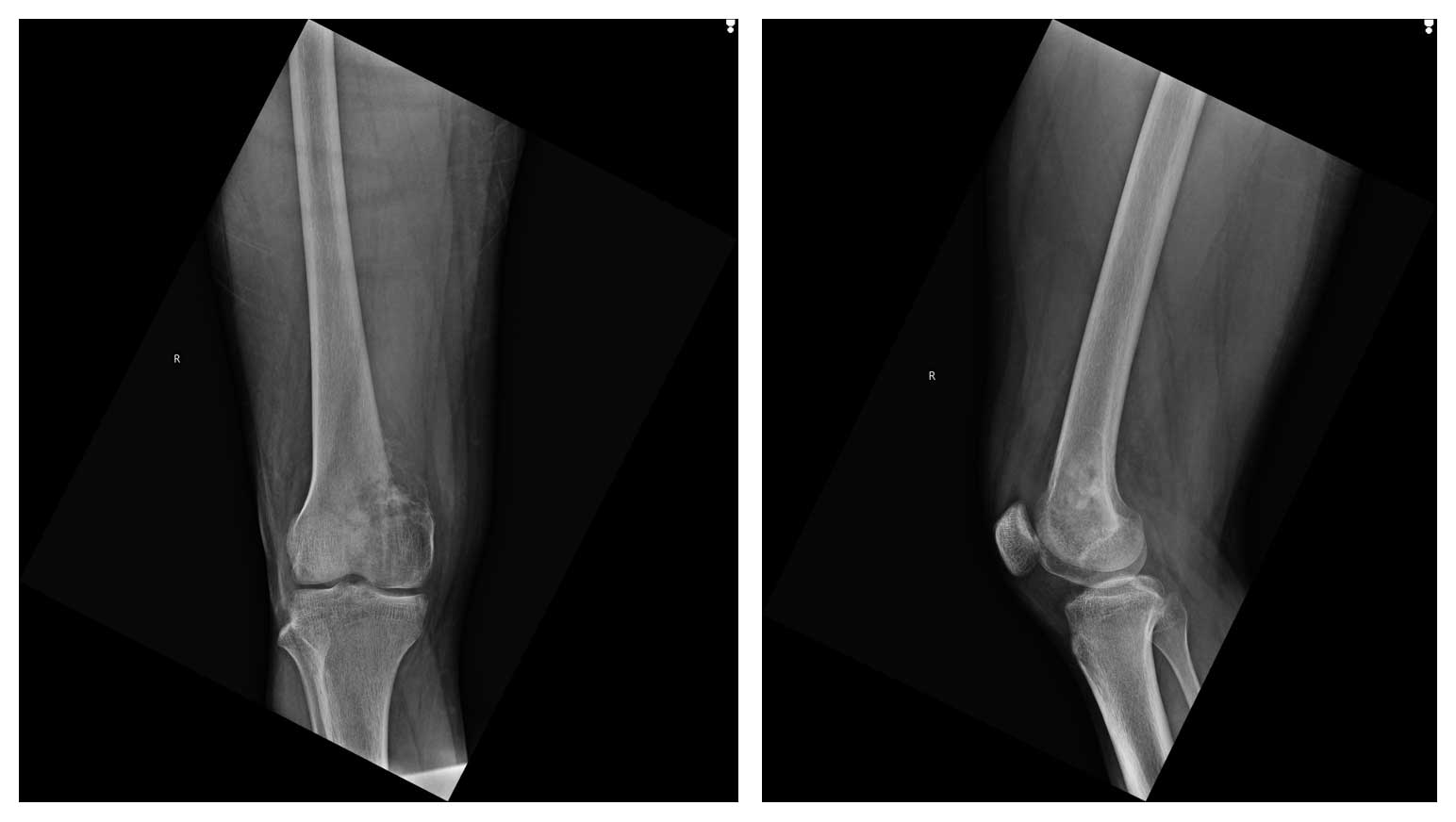
Ameliyat Öncesi: Röntgende distal femur medialde düzensizlik ve harabiyet görülmekte.

Ameliyat Öncesi: Tomografide kemik yıkımı daha ayrıntılı görülmekte.
Ameliyat Öncesi: MR’da yumuşak doku komponenti ve çevreleyen ödem görülmekte.

Ameliyat Esnası: Çıkarılan tümör dokusunun klinik ve skopi görüntüsü.

Ameliyat Esnası: İnsizyon hattı ve tümör çıkarıldıktan sonra uygulanan modüler protez görülmekte.

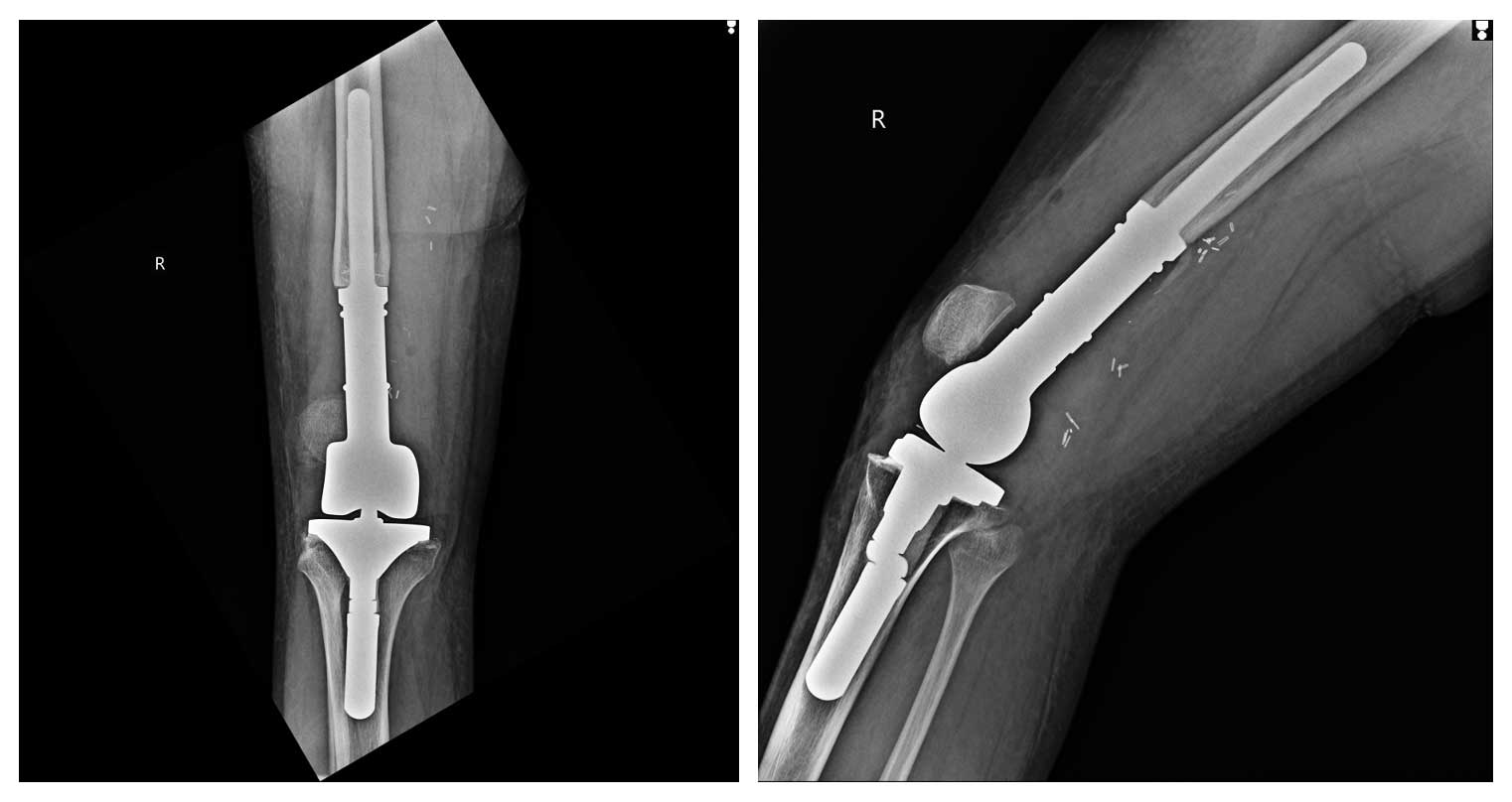
Ameliyat Sonrası: Röntgende tümör çıkarıldıktan sonra uygulanan modüler protez görülmekte.


