Vaka 34: Kaval Kemiği (Tibia) Yerleşimli Kondrosarkom
- Gösterim: 232
ChatGPT:
Detaylı Hasta Bilgileri ve Tedavi Süreci
Hasta Bilgileri
-
Genç kadın hasta
-
Tibia ön yüzde ağrı ve yürüme sırasında artan hassasiyet şikayeti ile başvurdu
-
Radyolojik incelemelerde tibia yerleşimli Grade-I kondrosarkom saptandı
-
Kapalı iğne biyopsisi sonucu tanı doğrulandı
Uygulanan Tedavi
Tümör dokusu agresif küretaj ile temizlendi. Oluşan boşluk kemik çimentosu (sement) ile dolduruldu ve stabilite için fiksasyon uygulandı.
Sonuç
Ameliyat sorunsuz tamamlandı. Hasta güvenli bir şekilde mobilize edildi ve düzenli kontrollerle takip altına alındı.
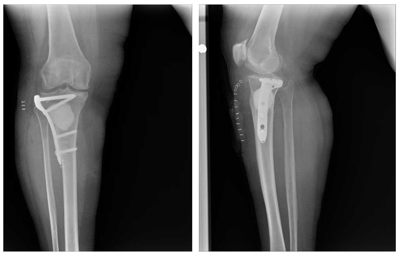
Görsel Açıklamaları
Ameliyat Öncesi: Röntgende proksimal tibia lateralde düzensiz sınırlı sklerotik kitle görülmekte. 
Ameliyat Öncesi: MR’da heterojen kitle çevresinde ödem ve korteks harabiyeti görülmekte.
Ameliyat Öncesi: Tomografide kıkırdak içerik ve kortekste düzensizlik görülmekte.

Ameliyat Sonrası: Röntgende çıkarılan tümör dokusu yerine doldurulan kemik çimentosu ve anatomik plak ile fiksasyon görülmekte.


