Vaka 08: Sol İliak Kanat Yerleşimli Ewing Sarkom
- Gösterim: 118
ChatGPT:
Detaylı Hasta Bilgileri ve Tedavi Süreci
Hasta Bilgileri
- 28 yaş kadın hasta.
- Sol iliak kanat yerleşimli Ewing sarkom nedeniyle neoadjuvan kemoterapisini alan hasta cerrahi amacıyla başvurdu.
- Taramalarında metastaz saptanmadı.
Uygulanan Tedavi
- Hastaya internal hemipelvektomi sonrası fibula ve rod/vida ile rekonstrüksiyon işlemi uygulandı.
Sonuç
- Hasta ameliyat sonrası süreçte takip altına alındı.
Görsel Açıklamaları
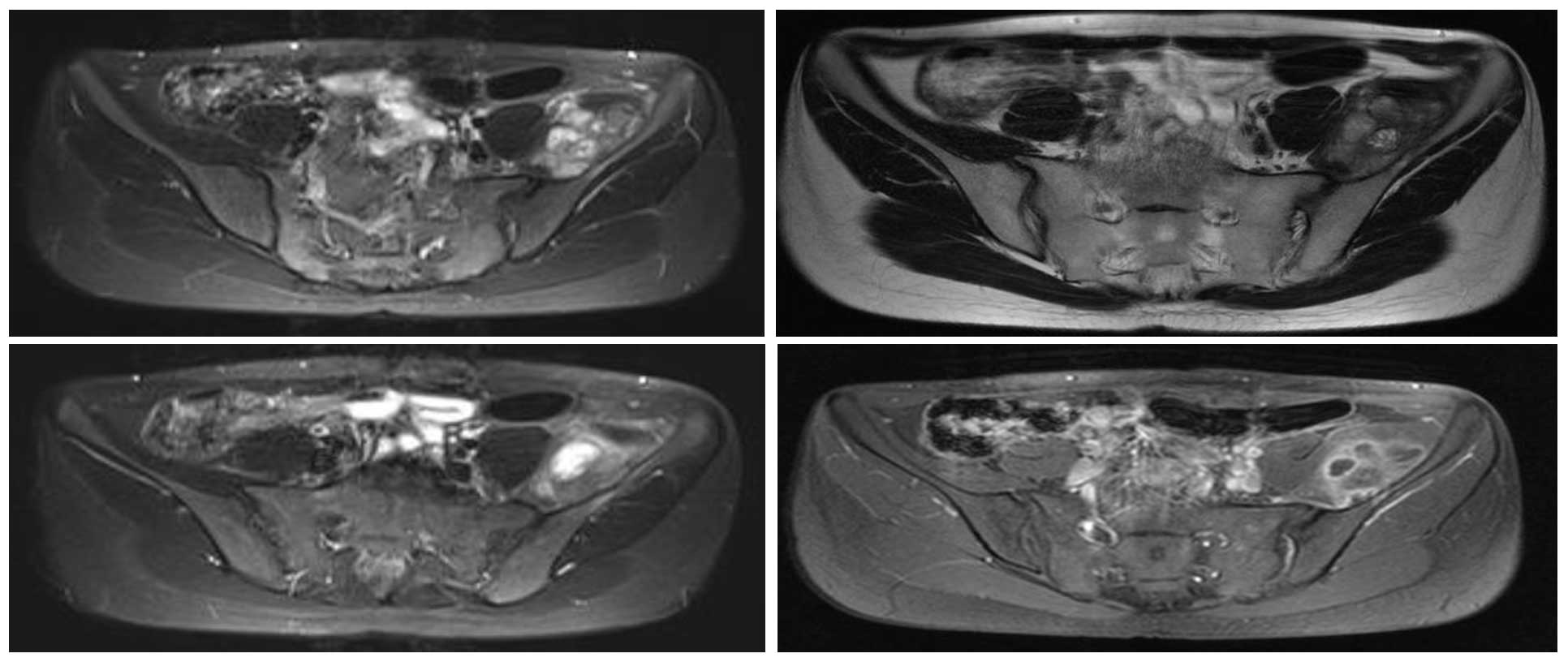
Ameliyat Öncesi: MR’da sol iliak kanat medialde düzensiz sınırlı, heterojen, periost reaksiyonunun eşlik ettiği tümör dokusu görülmekte.
Ameliyat Esnası: Çıkarılan tümör dokusunun klinik ve skopi görüntüsü.
Ameliyat Esnası ve Sonrası: İnternal hemipelvektomi sonrası fibula ve rod/vida ile rekonstrüksiyon işleminin klinik ve direk grafi görüntüsü.


